Bệnh viện Đa khoa Xuyên Á Long An cho biết, bệnh viện tiếp nhận và xử lý liên tục các ca bị thủng tạng rỗng đe dọa tính mạng. Một trong những ca gần đây là ông N.N.H, 57 tuổi, ngụ tại Long An, bị viêm phúc mạc toàn thể do thủng lớn từ tiền môn vị đến tá tràng D1 và đã được phẫu thuật cấp cứu thành công.
Thủng tạng rỗng do nhiều nguyên nhân như u ruột, dị vật, tai nạn giao thông hoặc biến chứng của loét dạ dày – tá tràng là tình trạng cấp cứu ngoại khoa nguy hiểm.
Người bệnh nhập viện trong tình trạng đau âm ỉ vùng thượng vị, ợ hơi, ợ chua và buồn nôn kéo dài suốt hai ngày. Ngay khi đến cấp cứu, tình trạng vẫn chưa thuyên giảm, các bác sĩ khẩn trương thăm khám và cho thực hiện các cận lâm sàng cần thiết.
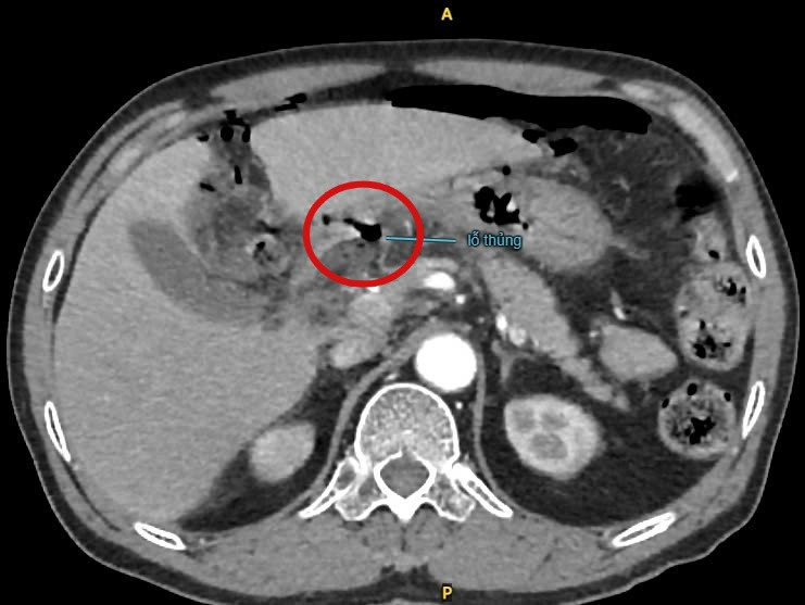
![]() |
| Hình ảnh thủng tạng rỗng trên CT 160 lát ổ bụng - Ảnh BVCC |
BS.CKII. Nguyễn Vũ An – Trưởng khoa Ngoại Tổng Quát BVĐK Xuyên Á Long An nghi ngờ đây là trường hợp thủng tạng rỗng. Để xác định chẩn đoán, bác sĩ chỉ định chụp CT-scan ổ bụng ghi nhận: viêm phúc mạc do thủng tạng rỗng mặt trước tá tràng – hang vị. Phình động mạch chủ bụng đoạn dưới rốn thận – trên góc chia đôi động mạch chậu. Sỏi thận hai bên.
Nhận định đây là trường hợp nguy hiểm, có nguy cơ tử vong cao do nhiễm trùng ổ bụng, các bác sĩ đã tiến hành hội chẩn khẩn và đưa ra phương án phẫu thuật cấp cứu để khâu lỗ thủng.
Trong quá trình phẫu thuật, thám sát thấy lỗ thủng do loét rất lớn từ tiền môn vị đến tá tràng D1 (dài, rộng) 5*3cm được mạc nối lớn bao. Do vị trí thủng phức tạp, khi khâu lại thì nguy cơ hẹp tá tràng rất cao nên các bác sĩ chọn giải pháp vừa khâu ở tá tràng vừa nối vị tràng.
Sau khi ca phẫu thuật hoàn tất, người bệnh tiếp tục được chăm sóc tích cực hồi phục thể trạng. Dưới sự theo dõi và chăm sóc tận tình của đội ngũ bác sĩ và điều dưỡng, sức khỏe của ông đã dần ổn định và được xuất viện sau đó.
![]() |
| Hình ảnh phẫu thuật - Ảnh BVCC |
Người tăng huyết áp, tiểu đường dễ bị bệnh
Theo BS.CKII. Nguyễn Vũ An, Trưởng khoa Ngoại Tổng Quát, thủng tạng rỗng là bệnh lý cấp cứu ngoại khoa nguy hiểm, đặc biệt ở người lớn tuổi hoặc những người có bệnh nền như tăng huyết áp, tiểu đường.
Tình trạng này nếu không được xử lý kịp thời có thể dẫn đến sốc nhiễm trùng, nhiễm độc nặng và tỷ lệ tử vong rất cao. Do đó, việc chẩn đoán nhanh chóng và can thiệp phẫu thuật đúng lúc đóng vai trò quyết định trong việc cứu sống bệnh nhân.
Bên cạnh kỹ thuật phẫu thuật, quá trình hồi sức và chăm sóc sau phẫu thuật cũng đóng vai trò quan trọng. Việc theo dõi sát sao các chỉ số sức khỏe và điều trị nhiễm trùng triệt để giúp bệnh nhân nhanh chóng hồi phục, hạn chế biến chứng.
![]() |
| Thăm khám cho bệnh nhân sau phẫu thuật - Ảnh BVCC |
" Bà con nên tránh dùng thuốc giảm đau hay thuốc tễ (thuốc tàu) không rõ loại trong thời gian dài, khi có các triệu chứng đau bụng bất thường, ợ hơi ợ chua, người bệnh cần phải đến cơ sở y tế thăm khám.
Thông qua chẩn đoán hình ảnh kỹ thuật cao, các bác sĩ kịp thời phát hiện những tổn thương để đưa ra phác đồ điều trị phù hợp, giúp tránh được các biến chứng nguy hiểm." - Bác sĩ An khuyến cáo


