Phù mặt cẩn thận phình động mạch chủ ngực

Bệnh viện E TƯ vừa phát hiện 1 ca không triệu chứng có khối giả phình khổng lồ > 10cm. May mắn bệnh nhân đã được phẫu thuật kịp thời.

Bệnh nhân nam 51 tuổi (Hà Nội) không có tiền sử bệnh lý đặc biệt, vào viện vì phù mặt và chi trên (các triệu chứng của hội chứng chèn ép tĩnh mạch chủ trên), bệnh nhân đau tức ngực không đáng kể.

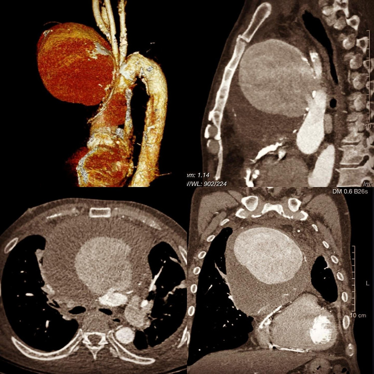
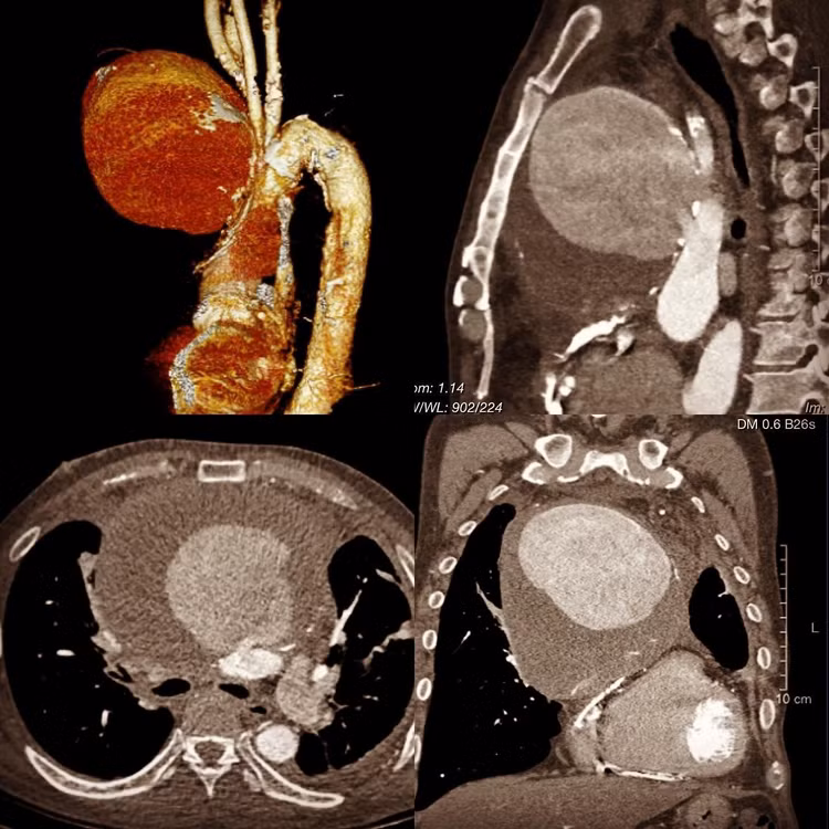
Kết quả chụp CT có tiêm thuốc cản quang: Trung thất trước trên có khối giả phình mạch khổng lồ kích thước 100x127x123mm. Khối phình chèn ép làm hẹp động mạch phổi phải đoạn nằm giữa động mạch chủ lên và cột sống (đường kính chỗ hẹp ~7mm), chèn ép tĩnh mạch cửa trên sang phải và ra sau. Tĩnh mạch vô danh bị chèn ép ra sau.

Bệnh nhân được kết luận: Khối giả phình động mạch chủ ngực khổng lồ và được phẫu thuật dẫn lưu ổ giả phình. Sau mổ, diễn biến tốt.

Bệnh lý động mạch chủ cấp tính bao gồm: Phình, bóc tách động mạch chủ, tụ máu trong thành và loét xuyên thành động mạch chủ - không bao gồm vỡ động mạch chủ. Chẩn đoán kịp thời các tình trạng này là điều cần thiết giúp điều trị chính xác . Bởi vì những tình trạng này thường có các triệu chứng giống nhau, cụ thể là đau ngực và đau bụng. Do vậy chẩn đoán hình ảnh là chìa khóa giúp chẩn đoán chính xác và nhanh chóng.

phinh-dong-mach-chu-nguc-khong-lo.jpg
Chỉ phù mặt người đàn ông “thoát chết” vì phình động mạch chủ “khổng lồ”

Vì nguy cơ vỡ có liên quan chặt chẽ đến kích thước của túi phình, các hướng dẫn hiện hành khuyến cáo can thiệp phẫu thuật khi đường kính của túi phình vượt quá 5,5cm. Tỷ lệ vỡ hàng năm đối với các túi phình có đường kính lớn hơn 6cm là 14%.

Xơ vữa động mạch là một trong những nguyên nhân phổ biến nhất của chứng phình động mạch chủ. Một khi được chẩn đoán, can thiệp phẫu thuật nhanh chóng là lựa chọn điều trị.

Tốc độ phát triển trung bình của phình động mạch ngực là 0,1–0,2 cm/năm . Phình động mạch khổng lồ có thể có nhiều dạng biểu hiện khác nhau. Các biến chứng đáng sợ nhất bao gồm bóc tách và vỡ. Rò rỉ từ ổ phình có thể biểu hiện với các đặc điểm điển hình của bóc tách cấp tính với chèn ép màng ngoài tim hoặc kèm theo đau và xẹp phổi.

Nguy cơ vỡ phụ thuộc vào kích thước và tốc độ phát triển của túi phình. Tuy nhiên, phình động mạch chủ ngực khổng lồ không có triệu chứng là cực kỳ hiếm. Chỉ có hai báo cáo trường hợp trong y văn về chứng phình động mạch chủ khổng lồ chưa vỡ.

Các bệnh nhân trẻ tuổi có phình động mạch chủ khổng lồ luôn có đột biến gene cơ bản. Chụp động mạch chủ được khuyến cáo cho người thân cấp độ một của bệnh nhân bị phình động mạch chủ ngực hoặc bóc tách để xác định những người mắc bệnh không triệu chứng.

BS Nguyễn Thị Hằng (Khoa Chẩn đoán hình ảnh, Bệnh viện E T.Ư)
Phát biểu của Tổng Bí thư Tô Lâm tại Hội nghị quán triệt các Nghị quyết 79 và 80 của Bộ Chính trị

Phát biểu của Tổng Bí thư Tô Lâm tại Hội nghị quán triệt các Nghị quyết 79 và 80 của Bộ Chính trị

Báo Tri thức và Cuộc sống trân trọng giới thiệu toàn văn phát biểu của Tổng Bí thư Tô Lâm tại Hội nghị toàn quốc nghiên cứu, học tập, quán triệt và triển khai thực hiện Nghị quyết số 79 - NQ/TW về phát triển kinh tế Nhà nước và Nghị quyết số 80 - NQ/TW về phát triển văn hóa Việt Nam của Bộ Chính trị.
back to top