Người bệnh N.T.V (65 tuổi ), địa chỉ Chính Mỹ, Thủy Nguyên, Hải phòng, trước khi nhập viện 4 tuần có xuất hiện loét da đầu vùng chẩm kích thước gần 10×8 cm. Thấy vùng loét có xu hướng tăng dần kích thước, kèm theo chảy dịch ngày càng nhiều, người bệnh đã đến khám và nhập viện Hữu nghị Việt Tiệp.
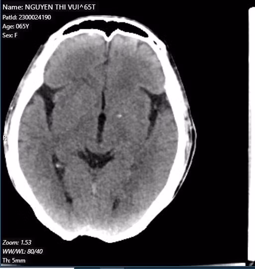
Sau khi được thực hiện các xét nghiệm cơ bản và chụp CT cho thấy ổ dịch hóa ở bao trong trái hướng đến tổn thương cũ, hình ảnh ăn mòn và khuyết xương chẩm vùng đường giữa; kết quả giải phẫu bệnh: Carcinoma vảy sừng hóa xâm nhập.
Người bệnh đã được chẩn đoán ung thư da đầu giai đoạn 3 xâm lấn hội lưu tĩnh mạch dọc. Đây là một trong những ung thư hiếm gặp, rất nguy hiểm có thể tước đi tính mạng của người bệnh tức thì nếu xảy ra biến chứng chảy máu trước và trong phẫu thuật.
![]() |
| Hình ảnh: Chụp cắt lớp vi tính sọ não của người bệnh có hình ảnh ăn mòn và khuyết xương ở xương chẩm |
Người bệnh đã được hội chẩn bởi Khoa Phẫu thuật Sọ não – Cột sống, Khoa Ngoại Ung bướu và chăm sóc giảm nhẹ, Kíp Tạo hình vi phẫu, cùng bác sĩ Khoa Gây mê hồi sức để lên kế hoạch phẫu thuật. Quá trình phẫu thuật diễn ra gồm 2 kíp:
– Kíp 1 gồm các bác sĩ Phẫu thuật sọ não – cột sống tiến hành cắt bóc u, cắt rộng vùng khối u xâm lấn, dùng khoan máy cắt toàn bộ xương chẩm do khối u xâm lấn vào màng cứng và hội lưu xoang tĩnh mạch dọc trên, lấy bỏ khối u lồi vào trong lòng xoang tĩnh mạch, gửi sinh thiết tức thì để kiểm soát khối u. Tạo hình lại ổ khuyết sọ bằng vật liệu titalum, đảm bảo che phủ hết toàn bộ vùng não bị lộ sau khi cắt bỏ xương sọ của người bệnh, lấy lại sự toàn vẹn của hộp sọ.
Bác sĩ Khoa Phẫu thuật Sọ não cột sống tạo hình lại ổ khuyết sọ của người bệnh bằng lưới titanlium |
– Kíp 2 gồm các bác sĩ Tạo hình vi phẫu làm vạt da phức hợp để tạo hình che phủ khuyết hổng ở đầu với diện tích 12x 13x 18cm bằng cách chuyển vạt da vùng gáy lưng lên che phủ vùng đầu.
Theo TS.BS Đặng Việt Sơn, Trưởng Khoa Phẫu thuật sọ não cột sống cho biết: “Trong quá trình bóc khối u nguy hiểm nhất là phần u xâm lấn hội lưu xoang tĩnh mạch dọc, nếu không tỉ mỉ, cẩn thận có thể gây chảy máu ồ ạt khó kiểm soát.
Tuy nhiên sau gần 5 giờ phẫu thuật, khối u đã được kíp lấy bỏ an toàn và tạo hình lại hộp sọ bằng Mesh – Titanium đây kĩ thuật hiện đại nhất hiện nay, bảo đảm được tính chất bảo vệ hộp sọ, phục hồi lại hình thể đầu như cũ.
Sau đó, kíp Tạo hình vi phẫu lấy vạt phức hợp vùng gáy – lưng đưa lên che phủ hộp sọ nhân tạo. Ca phẫu thuật kéo dài hơn 10 giờ đã kết thúc thành công.
Sau phẫu thuật, người bệnh hồi phục sức khỏe tốt, ăn uống được, vạt da sống tốt, giải phẫu bệnh và hóa mô miễn dịch khối u cho kết quả: ung thư biểu mô vảy sừng hóa xâm nhập (Carcinoma).
Sau khi làm các xét nghiệm tầm soát toàn bộ các diện cắt u không cho thấy có sự di căn của khối u, cũng như các hạch vùng đầu mặt cổ. Người bệnh được tiếp tục theo dõi bởi chuyên khoa ung bướu”.
![]() |
| Người bệnh được chăm sóc tận tình bởi các y bác sĩ Bệnh viện |
TS.BS Nguyễn Đức Thành – Trưởng Khoa Điều trị theo yêu cầu, trưởng kíp Tạo hình vi phẫu: “Đây là ca phẫu thuật khó, liên quan nhiều chuyên khoa hội chẩn, cùng phối hợp trước, trong và sau phẫu thuật để đưa ra chiến lược, phác đồ phù hợp nhất cho người bệnh.
Sự kết hợp giữa các phẫu thuật viên vi phẫu thần kinh và tạo hình thẩm mỹ trong việc cùng áp dụng kỹ thuật tạo hình lại hộp sọ bằng Mesh – Titanium và vi phẫu vạt da che phủ khuyết hổng hộp sọ cần phải nhuần nhuyễn, có nhiều kinh nghiệm để bổ trợ lẫn nhau trong khi phẫu thuật, các thao tác phải chính xác tuyệt đối, xử lý nhanh nhạy trong các tình huống khẩn cấp, cũng như sự hỗ trợ từ các trang thiết bị hiện đại và đồng bộ.
Tại Bệnh viện Hữu nghị Việt Tiệp việc phối hợp đa chuyên khoa trong điều trị đã giúp giải quyết rất nhiều trường hợp bệnh lí khó như người bệnh N.T.V, qua đó, giúp nâng cao kết quả điều trị cũng như tiết kiệm kinh phí cho người bệnh không phải chuyển lên bệnh viện tuyến trung ương.
Thành công của ca phẫu thuật này là niềm vui lớn cho người bệnh và gia đình cũng là động lực cho cán bộ nhân viên Bệnh viện tiếp tục nỗ lực hơn nữa trên con đường chinh phục những thử thách y khoa”.
Ung thư da đầu cũng nằm trong số các bệnh ung thư da. Bệnh tuy hiếm gặp nhưng cũng không thua kém các bệnh ung thư khác về mức độ nguy hiểm. Đặc biệt ung thư da đầu nếu bước sang giai đoạn di căn có thể gây ảnh hưởng đến não bộ và tỷ lệ tử vong lúc này sẽ vô cùng cao.
Bệnh biểu hiện không có gì đặc biệt với các triệu chứng như: ngứa nhẹ, biến đổi sắc tố da đầu hoặc gây loét da đầu. Các biểu hiện này thường bị bỏ qua do tóc che phủ và bản thân người bệnh ít nhìn thấy do khuất tầm nhìn.
Ung thư da đầu có 4 giai đoạn, ở giai đoạn muộn khối u sẽ xâm lấn phá hủy xương và màng não, não gây ra các biến chứng nặng nề, đặc biệt có thể tử vong do khối u xâm lấn vào các mạch máu vùng xương sọ, các xoang mạch máu của não.
Điều trị ung thư da đầu chủ yếu vẫn là phẫu thuật cắt u rộng và hóa trị liệu kèm theo sau. Vì vậy, người dân nên khám tầm soát sức khỏe định kì cũng như đến cơ sở y tế chuyên khoa ngay nếu như thấy xuất hiện những dấu hiệu kể trên tránh những biến chứng đáng tiếc xảy ra.

Bác sĩ Khoa Phẫu thuật Sọ não cột sống tạo hình lại ổ khuyết sọ của người bệnh bằng lưới titanlium