Người dân không nên tự cho ong đốt hoặc đắp lá chữa ung thư tại nhà. Cách chữa trị truyền miệng này không giúp khối u tan biến mà còn đe dọa tính mạng.
Ung thư tuyến tiền liệt là một trong những loại ung thư phổ biến nhất ở nam giới. Tuy nhiên, nhiều người vẫn còn mơ hồ về quy trình, thời gian cần thiết để có được chẩn đoán chính xác, khiến bệnh trầm trọng hơn.
Mỗi giai đoạn ung thư dạ dày có đặc điểm về tính chất u, tình trạng di căn hạch và mức độ lan rộng khác nhau. Triệu chứng của ung thư dạ dày giai đoạn sớm thường mờ nhạt, một số trường hợp hoàn toàn không có triệu chứng.
Ung thư tuyến giáp thường không có triệu chứng rõ ràng và chỉ được phát hiện tình cờ qua siêu âm. Một số dấu hiệu có thể gặp bao gồm sờ thấy khối u ở cổ, khó nuốt, khó thở, đau khi nuốt, khàn giọng, sụt cân...
U nguyên bào nuôi là một bệnh lý ác tính của tế bào lá nuôi, gây ra nhiều biến chứng nguy hiểm như băng huyết, nhiễm trùng, suy kiệt, thậm chí diễn tiến thành ung thư nguyên bào nuôi và di căn đến phổi, não, gan....
Ung thư dương vật là một bệnh lý tuy không phổ biến nhưng lại gây ảnh hưởng lớn đến chất lượng cuộc sống của nam giới. Bệnh không chỉ gây ra những khó khăn về sức khỏe mà còn tác động không nhỏ đến tâm lý và tinh thần.
Khi ung thư được phát hiện ở giai đoạn đầu thường vẫn còn khu trú tại vị trí khởi phát, chưa lan sang các hạch bạch huyết hoặc các cơ quan xa. Điều này mang lại cơ hội cho bệnh nhân trong việc kiểm soát, điều trị căn bệnh này.
Bệnh viện Bãi Cháy (Quảng Ninh) đã phẫu thuật thành công cho trẻ 12 tuổi mắc ung thư tuyến giáp di căn hạch cổ. Đây là trường hợp bệnh nhân ung thư tuyến giáp trẻ tuổi nhất từng được phẫu thuật điều trị tại bệnh viện.
Ung thư vú là tình trạng bệnh lý do tế bào tuyến vú phát triển không kiểm soát được, tạo ra các khối u ác tính, có khả năng xâm lấn xung quanh và di căn xa.
Ung thư cổ tử cung tái phát trung tâm có thể gây nên nhiều biến chứng nghiêm trọng ảnh hưởng đến sức khỏe thể chất, tinh thần và chất lượng cuộc sống của người bệnh.
Ung thư tuyến giáp có tốc độ phát triển rất chậm với thời gian nhân đôi trên 1 năm, tiến triển tự nhiên thậm chí diễn ra trong nhiều thập kỉ. Ung thư tuyến giáp thường có khả năng điều trị cao khi được phát hiện sớm.
Sau khi cắt tuyến giáp bệnh nhân vẫn cần theo dõi phòng ngừa tái phát bên chưa cắt hoặc hạch. Cần biết cách theo dõi ung thư tuyến giáp và sau cắt 1 thùy tuyến giáp cho đúng.
Tuy là bệnh hiếm gặp nhưng khi mắc ung thư tuyến mồ hôi lại rất nguy hiểm, có khả năng xâm lấn ra mô xung quanh và di căn nhiều nơi. Bệnh khó chẩn đoán, điều trị và dễ tái phát.
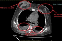
Tổn thương ác tính hay gặp nhất di căn tới vú ở phụ nữ là từ vú bên kia theo đường bạch huyết. Ở nam giới thường là di căn theo đường máu của ung thư tuyến tiền liệt.
Ung thư tái phát có thể là một cú sốc lớn đối với người bệnh và người thân của họ. Điều trị sẽ khó khăn hơn và tất cả những cảm xúc tiêu cực có thể quay trở lại, thậm chí trầm trọng hơn. Vậy phải giải quyết thế nào?
Dù bị ung thư ở giai đoạn muộn, thậm chí đã di căn nhưng người bệnh cũng không nên quá lo lắng, hoảng sợ. Hiện nay có nhiều loại thuốc mới, nhiều phương pháp điều trị mới, giúp cho việc điều trị các bệnh lý ung thư hiệu quả hơn.
Móng tay bị đổi màu đen và đau nhẹ, bệnh nhân đi khám được kết luận ung thư tế bào hắc tố. Đây là loại ung thư da ác tính nhất, tiến triển nhanh, di căn xa. Bệnh nếu được phát hiện sớm có thể điều trị khỏi.