Sức khoẻ 360

Phát hiện hẹp động mạch cảnh nặng đe dọa đột quỵ ở bệnh nhân tuổi trung niên

Bệnh nhân mắc xơ vữa động mạch cảnh, hẹp 70%, tăng nguy cơ đột quỵ, cần kiểm soát chặt chẽ và điều trị phù hợp để phòng ngừa biến chứng.

Bệnh nhân L.V.V. (61 tuổi, Hà Nội) vừa đến Phòng khám Đa khoa Medlatec Tây Hồ kiểm tra sức khỏe sau đột quỵ.

Trước đó, bệnh nhân có tiền sử hai lần đột quỵ não. Lần đầu xảy ra vào năm 2023 nhưng may mắn không để lại di chứng. Lần gần nhất cách thời điểm đến Medlatec khoảng một tháng, bệnh nhân xuất hiện triệu chứng chóng mặt, đi khám tại một bệnh viện khác, được chẩn đoán nhồi máu não đa ổ vùng bán cầu não phải. Sau quá trình điều trị, tình trạng bệnh nhân ổn hơn, hết chóng mặt nên đến Medlatec để kiểm tra lại toàn diện.

Ngoài tiền sử đột quỵ, bệnh nhân còn mắc tăng huyết áp và đái tháo đường nhưng không tái khám thường xuyên, chủ yếu dùng thuốc tại nhà theo đơn cũ; đồng thời bệnh nhân còn có thói quen hút thuốc lá trong thời gian dài.

Tại Medlatec Tây Hồ, thăm khám lâm sàng, bác sĩ ghi nhận bệnh nhân có chỉ số BMI 23,05 (thừa cân), kèm theo tiếng thổi tại động mạch cảnh bên phải. Để đánh giá toàn diện tình trạng sức khỏe, bệnh nhân được chỉ định thực hiện các xét nghiệm và chẩn đoán hình ảnh cần thiết.

Kết quả cho thấy, xét nghiệm máu ghi nhận đường máu và mỡ máu tăng cao. Siêu âm tim phát hiện dày thành tim và giãn nhẹ động mạch cảnh chủ lên.

Đáng chú ý, siêu âm động mạch cảnh phát hiện xơ vữa động mạch cảnh hai bên với nhiều vị trí hẹp. Trong đó, động mạch cảnh trong bên phải bị hẹp khoảng 70% do mảng xơ vữa vôi hóa, đây là mức độ hẹp nặng, làm giảm đáng kể lượng máu lên não và tiềm ẩn nguy cơ cao gây đột quỵ. Ngoài ra, xoang cảnh phải hẹp khoảng 50%, bên trái ghi nhận các vị trí hẹp nhẹ đến trung bình.

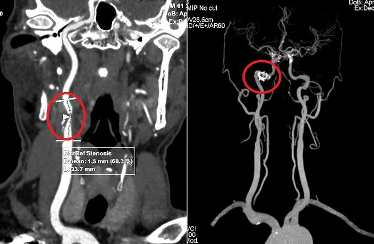
Chụp cắt lớp vi tính phát hiện mảng xơ vữa gây hẹp nặng động mạch cảnh trong bên phải. Ảnh Medlatec

Kết quả chụp cắt lớp vi tính động mạch cảnh tiếp tục khẳng định hình ảnh mảng xơ vữa hỗn hợp tại động mạch cảnh trong bên phải, gây hẹp 68% lòng mạch. Chụp MRI sọ não cho thấy còn tồn tại một số ổ nhồi máu não cũ và mới ở vùng thái dương - đỉnh phải.

Từ các kết quả thăm khám và cận lâm sàng, bác sĩ kết luận bệnh nhân bị hẹp nặng động mạch cảnh trong bên phải trên nền nhiều bệnh lý mạn tính như: nhồi máu não, tăng huyết áp, đái tháo đường, rối loạn mỡ máu và hội chứng vành mạn – đây là những yếu tố làm gia tăng nguy cơ đột quỵ tái phát nếu không được kiểm soát tốt.

Bệnh nhân được kê đơn điều trị nội khoa. Bác sĩ cũng tư vấn bệnh nhân can thiệp động mạch cảnh, đồng thời tuân thủ dùng thuốc đều đặn, tái khám định kỳ và điều chỉnh lối sống, đặc biệt là bỏ thuốc lá, giảm ăn mặn, hạn chế đồ chiên rán, tăng cường rau xanh, vận động phù hợp nhằm giảm nguy cơ biến chứng tim mạch và đột quỵ trong tương lai.

Theo bác sĩ Nguyễn Thị Thùy Linh - Chuyên khoa Nội Tim mạch, Phòng khám Đa khoa Medlatec Tây Hồ, hẹp động mạch cảnh do xơ vữa là tình trạng lòng động mạch cảnh bị thu hẹp bởi các mảng xơ vữa hình thành do quá trình rối loạn chuyển hóa kéo dài.

Động mạch cảnh là các mạch máu lớn nằm hai bên cổ, có nhiệm vụ đưa máu giàu oxy từ tim lên nuôi não. Theo thời gian, mỡ và cholesterol có thể lắng đọng trên thành động mạch, tạo thành mảng xơ vữa. Khi mảng xơ vữa dày lên, lòng mạch bị hẹp, làm máu lên não kém hơn. Ngoài ra, các mảng xơ vữa có thể nứt vỡ, hình thành cục máu đông hoặc bong ra theo dòng máu, gây tắc mạch não.

Các mảng xơ vữa trong lòng mạch là nguyên nhân dẫn đến hẹp động mạch cảnh. Ảnh minh họa

Quá trình xơ vữa động mạch cảnh thường diễn tiến chậm và âm thầm theo thời gian. Nhiều người mắc bệnh trong nhiều năm nhưng không có biểu hiện rõ ràng, đặc biệt ở giai đoạn hẹp nhẹ đến trung bình. Tuy nhiên, khi mức độ hẹp tăng lên hoặc mảng xơ vữa không ổn định, người bệnh có thể xuất hiện các triệu chứng cảnh báo như: chóng mặt, đau đầu, nhìn mờ thoáng qua, tê yếu hoặc liệt nửa người, nói khó...

Nguyên nhân chính dẫn đến hẹp động mạch cảnh là xơ vữa động mạch, trong đó các yếu tố nguy cơ thường gặp bao gồm: tuổi cao, tăng huyết áp, đái tháo đường, rối loạn mỡ máu, hút thuốc lá, thừa cân béo phì và lối sống ít vận động…

Điều trị hẹp động mạch cảnh do xơ vữa phụ thuộc vào mức độ hẹp và tình trạng lâm sàng của người bệnh. Với các trường hợp hẹp nhẹ đến trung bình, điều trị nội khoa kết hợp kiểm soát chặt chẽ huyết áp, đường huyết, mỡ máu và thay đổi lối sống đóng vai trò then chốt. Khi hẹp nặng hoặc có nguy cơ cao gây đột quỵ, người bệnh có thể được cân nhắc các biện pháp can thiệp hoặc phẫu thuật theo chỉ định của bác sĩ chuyên khoa.

Theo bác sĩ, đối với những nhóm người nguy cơ cao hoặc có bệnh nền, việc chủ động tầm soát sớm là giải pháp hiệu quả giúp giảm nguy cơ đột quỵ và bảo vệ sức khỏe não bộ, tim mạch lâu dài.

back to top