Vừa qua, các bác sĩ Bệnh viện Đa khoa Hùng Vương đã thực hiện can thiệp cấp cứu nút mạch cầm máu dưới hệ thống DSA kịp thời cứu sống nam bệnh nhân 56 tuổi đa chấn thương, vỡ lách độ IV sau tai nạn giao thông.
Sau tai nạn bệnh nhân được gia đình đưa vào Phòng khám Đa khoa Hùng Vương Chân Mộng (Phú thọ) cấp cứu. Các bác sĩ tại phòng khám đã nhanh chóng thăm khám lâm sàng và thực cận lâm sàng cần thiết. Kết quả chụp CT bụng, CT ngực cho thấy: Hình ảnh vỡ lách độ IV, ít dịch quanh lách, hình ảnh gãy xương sườn 9,10 bên trái…
![]() |
| Hình ảnh vỡ lách trên phim chụp - Ảnh BVCC |
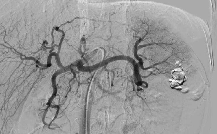
Trước nguy cơ bệnh nhân có thể tử vong do shock mất máu, kíp trực cấp cứu tại phòng khám đã nhanh chóng hội chẩn toàn hệ thống, bệnh nhân được chuyển ngay về Bệnh viện Đa khoa Hùng Vương thực hiện can thiệp nút động mạch lách - Chụp và nút động mạch điều trị cầm máu các tạng số hóa xóa nền:
Nút tắc ổ chảy máu và cuống mạch mang, động mạch lách tổn thương bằng keo sinh học và Lipiodol/Vỡ lách độ IV có chảy máu hoạt động, tràn máu ổ bụng - đa chấn thương ngực bụng, gãy xương sườn trái.
Với hệ thống máy chụp mạch máu số hóa xóa nền (DSA), kíp can thiệp do Thạc sĩ, bác sĩ Trần Văn Kiên cùng ekip đã tiến hành can thiệp nút mạch cầm máu thành công cho bệnh nhân. Ca nút mạch diễn ra trong khoảng 15 phút, sau can thiệp bệnh nhân ổn định, không cần truyền máu.
Hiện tại, sau gần 5 ngày can thiệp sức khỏe bệnh nhân đã tiến triển tốt, mạch, huyết áp ổn định, được ra viện và theo dõi tình trạng sức khỏe tại nhà.
![]() |
| Thăm khám cho bệnh nhân sau can thiệp - Ảnh BVCC |
Theo Thạc sĩ, bác sĩ Trần Văn Kiên, Phó Trưởng khoa Chẩn đoán hình ảnh chia sẻ: lách là tạng đặc dễ vỡ nhất khi bị chấn thương và tiến triển nhanh dẫn đến sốc mất máu nguy cơ tử vong cao, nút mạch cầm máu là thủ thuật xâm lấn tối thiểu giúp cầm máu nhanh, bảo tồn được lá lách trong trường hợp vỡ lách độ IV/V huyết động ổn định.
Vì vậy, sau các va đập, té ngã... người bệnh nên được đưa vào bệnh viện hoặc các cơ sở y tế gần nhất càng sớm càng tốt để được thăm khám và điều trị kịp thời, tránh các trường hợp chủ quan có thể gây tử vong cho bệnh nhân do mất máu nhiều.

