Sức khoẻ 360

Nuốt xương gà gây thủng ruột, bé gái 13 tuổi cần phẫu thuật khẩn cấp

Bé gái 13 tuổi nuốt xương gà, dẫn đến thủng ruột và viêm phúc mạc. Các bác sĩ nhấn mạnh tầm quan trọng của phòng tránh dị vật tiêu hóa ở trẻ em.

Các bác sĩ Bệnh viện Nhi đồng 2 vừa phẫu thuật cấp cứu lấy rất nhiều dị vật xương gà trong ruột non bé gái, trong đó, một mảnh xương đã đâm thủng ruột gây tình trạng cấp cứu viêm phúc mạc.

Bệnh nhi 13 tuổi, ở Lâm Đồng nhập viện trong tình trạng đau bụng dữ dội vùng bụng phải, kèm nôn ói suốt bốn ngày. Gia đình cho biết trẻ có thói quen ăn nhanh, không nhai kỹ, đặc biệt luôn xem ti vi, điện thoại khi ăn. Cách nhập viện một tuần bệnh nhi có ăn thịt gà nhưng không có gì đáng lưu ý như hóc xương, lúc ăn bé có xem điện thoại như mọi khi.

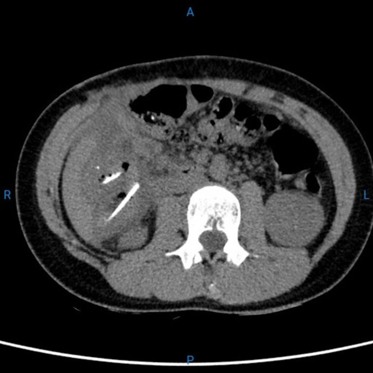
Hình CT scan bụng cho thấy những hình ảnh sáng của xương vùng hông bên phải. Ảnh BV

Khai thác lịch sử tiền căn, bệnh nhi từng bị thủng ruột do nuốt tăm tre vô ý khoảng 1 năm trước.

Kết quả chụp CT-scan bụng khẩn cho thấy nhiều dị vật nằm rải rác trong ổ bụng và lòng ruột non. Trẻ được các bác sĩ chuyển mổ khẩn ngay trong đêm.

BS.CKI Nguyễn Hiền, Khoa Ngoại Tổng hợp Bệnh viện Nhi đồng 2, trưởng ê-kíp phẫu thuật, cho biết trong quá trình phẫu thuật bác sĩ ghi nhận một dị vật kích thước khoảng 3 x 45 mm, sắc nhọn, đã đâm thủng ruột non, gây rò dịch tiêu hoá vào ổ bụng dẫn đến viêm phúc mạc.

Kiểm tra các đoạn ruột còn lại, bác sĩ phát hiện thêm sáu dị vật tương tự nằm rải rác trong lòng ruột non. Ê-kíp phải tiến hành mở ruột lấy toàn bộ dị vật và xử trí làm sạch ổ bụng. Sau phẫu thuật, bệnh nhi được theo dõi sát tại khoa Ngoại. Sau hậu phẫu 7 ngày, trẻ hồi phục tốt, được khám tư vấn tâm lý trước khi xuất viện.

Hình dị vật là các mảnh xương gà được bác sĩ lấy ra thành công. Ảnh BV

PGS.TS.BS Phạm Ngọc Thạch, Phó giám đốc Bệnh viện Nhi đồng 2 cho biết bệnh viện thường xuyên tiếp nhận các trường hợp trẻ nuốt phải dị vật như nam châm, tăm tre, kim loại nhọn, hạt nở, pin cúc áo… đặc biệt khi trẻ em ăn uống không tập trung, chơi đùa hoặc xem điện thoại, tivi cũng dễ gây những tai nạn không mong muốn như hóc xương như xương gà vịt, xương gà, xương cá.

Dị vật đường tiêu hóa là một cấp cứu rất thường gặp ở trẻ em. Hàng năm, bệnh viện Nhi đồng 2 tiếp nhận khoảng hơn 200 trẻ nhập viện vì dị vật tiêu hóa. Trong số đó, có khoảng 30 % các bệnh nhân cần nội soi cấp cứu, và 10% cần phẫu thuật vì các biến chứng như thủng, tắc ruột.

Để dự phòng dị vật tiêu hóa, phụ huynh lưu ý khi cho trẻ ăn cần lọc kỹ xương, ăn chậm, nhai kỹ, không cười đùa trong lúc ăn để tránh hóc xương, tránh thói quen vừa ăn vừa đùa giỡn, nói cười và xem điện thoại.

Dị vật mắc kẹt trong thực quản có thể gây ra những biến chứng rất nặng nề như thủng thực quản gây viêm toàn bộ trung thất hay dò khí thực quản nguy hiểm tính mạng.

Nếu phát hiện sớm khi dị vật còn trong dạ dày, bác sĩ có thể can thiệp bằng nội soi tiêu hóa trên, ít xâm lấn. Nếu phát hiện muộn, dị vật đi xuống ruột gây tắc hoặc thủng ruột, phải phẫu thuật, nguy cơ biến chứng cao và có thể đe dọa tính mạng. Trẻ sau phẫu thuật có thể đối mặt với nguy cơ dính ruột hoặc tắc ruột tái phát về sau.

Các bác sĩ khuyến nghị:

Chọn thực phẩm phù hợp lứa tuổi, lọc bỏ xương nhỏ, sắc nhọn.

Dặn trẻ ăn chậm, nhai kỹ, tập trung khi ăn; tránh đùa giỡn hay vừa ăn vừa xem tivi hoặc điện thoại.

Khi nghi ngờ trẻ nuốt dị vật, cần đưa trẻ đến bệnh viện ngay; Không tự gây nôn ép trẻ ăn hoặc uống: Điều này có thể gây tắc nghẽn hoặc làm dị vật di chuyển. Ví dụ nuốt cơm hoặc uống nước.

Không chờ đợi lâu: Nếu nghi ngờ dị vật bị kẹt, hãy đưa trẻ đến bệnh viện ngay, vì thời gian trì hoãn có thể làm tăng nguy cơ nhiễm trùng hoặc biến chứng. Nếu trẻ luôn thích nuốt dị vật, cần được kiểm tra, thăm khám và tư vấn tâm lý.

back to top