Cấp cứu nhiều lần vẫn không bỏ được hút thuốc lá
Tại Bệnh viện đa khoa tỉnh Phú Thọ, từ đầu năm đến nay cũng đã tiếp nhận rất nhiều người bệnh mắc các bệnh lý về hô hấp có yếu tố liên quan đến thuốc lá và khói thuốc lá.
![]() |
| Hình ảnh minh họa phổi của người không hút thuốc (trái) và của người hút thuốc (phải) |
Mới đây nhất là trường hợp người bệnh Đ.V.L., 74 tuổi ở Phù Ninh, Phú Thọ nhập viện cấp cứu tại Khoa Nội hô hấp – Tiêu hóa trong tình trạng ho, khó thở. Các bác sĩ tại khoa đã tiến hành cấp cứu kịp thời và chỉ định chụp cắt lớp vi tính cũng như các cận lâm sàng cần thiết để đánh giá lại tình trạng sức khỏe của người bệnh.
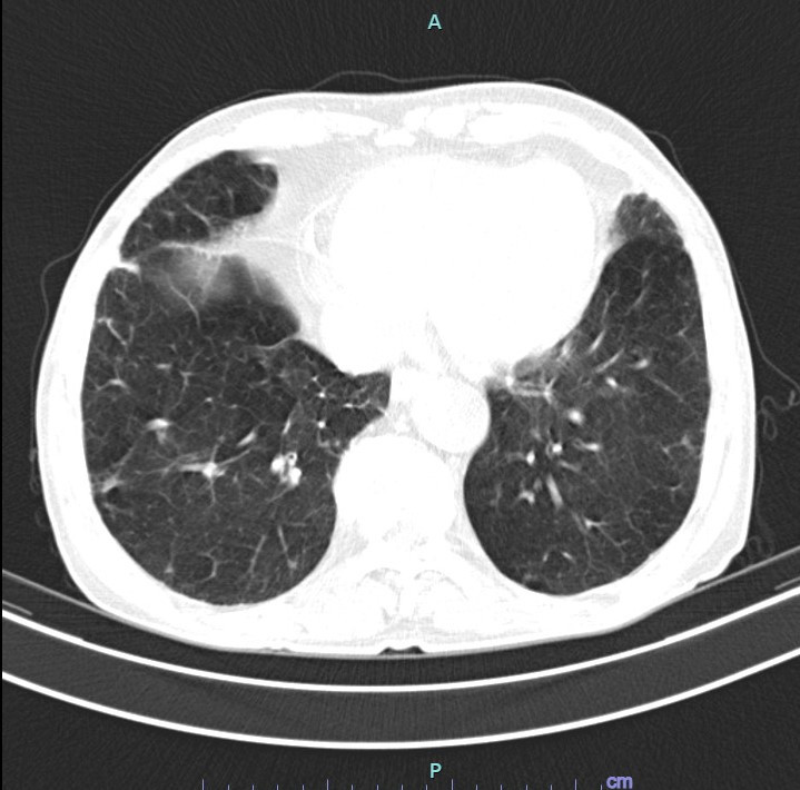
![]() |
| Hình ảnh kết quả chụp cắt lớp vi tính của người bệnh Đào Văn Lập - Ảnh BVCC |
Kết quả chụp cắt lớp vi tính lồng ngực cho thấy phổi ứ khí phế nang, giãn phế nang. Chẩn đoán đợt cấp bệnh phổi tắc nghẽn mãn tính COPD trên nền người bệnh tăng huyết áp và xơ vữa mạch máu. Đáng nói là, người bệnh có tiền sử hút thuốc lá, thuốc lào lâu năm và đã phải nhập viện cấp cứu rất nhiều lần nhưng đến nay người bệnh vẫn không thể cai được thuốc lá.
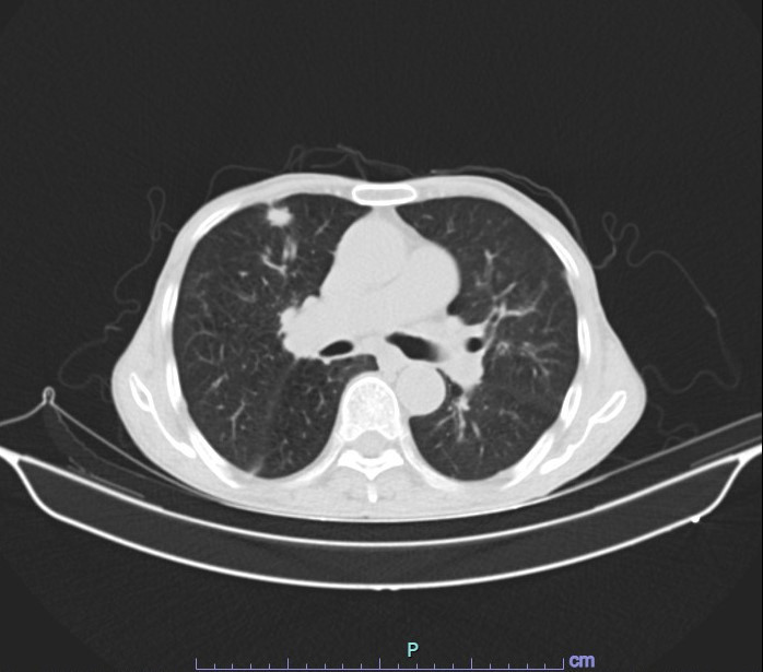
Tương tự, người bệnh Đ.Đ.N, 86 tuổi ở Việt Trì, Phú Thọ cũng nhập viện cấp cứu trong tình trạng sốt, đau tức ngực, khó thở, cơ thể gầy gò, suy kiệt. Hình ảnh chụp cắt lớp vi tính lồng ngực có tổn thương nốt thùy trên phổi phải. Qua thăm khám và kết quả cận lâm sàng, bác sĩ chẩn đoán bệnh phổi tắc nghẽn mãn tính, theo dõi tổn thương u phổi.
Người nhà người bệnh chia sẻ, ông N. có thói quen hút thuốc lá, thuốc lào, uống rượu lâu năm và thường xuyên phải nhập viện cấp cứu do khó thở. Dù đã được bác sĩ và người nhà động viên bỏ thuốc rất nhiều lần nhưng người bệnh vẫn chưa bỏ được thói quen hút thuốc.
![]() |
| Hình ảnh kết quả chụp cắt lớp vi tính của người bệnh Đào Đình Ngưng - Ảnh BVCC |
ThS. BS. Lê Thị Hồng Nhung – Phó Trưởng khoa Nội hô hấp – Tiêu hóa, BVĐK tỉnh Phú Thọ chia sẻ: Trên đây chỉ là hai trong số rất nhiều người bệnh đến với Khoa Nội hô hấp – Tiêu hóa trong tình trạng mắc các bệnh lý hô hấp có liên quan đến thuốc lá. Điều đáng buồn là mặc dù tình hình sức khỏe rất yếu nhưng nhiều người vẫn không thể bỏ được thuốc lá, thuốc lào, dẫn tới ảnh hưởng xấu đến kết quả điều trị.
Tại sao người hút thuốc lá thường có nguy cơ cao mắc các bệnh hô hấp?
Trả lời câu hỏi, tại sao hút thuốc lá dễ mắc các bệnh được hô hấp, ThS. BS. Lê Thị Hồng Nhung giải thích: Khi chúng ta hút thuốc vào, không khí đi vào đường hô hấp trên qua mũi và miệng, nơi không khí không được lọc, sưởi ấm và làm ấm. Không khí hít vào sẽ đi qua khí quản để vào phổi. Khi khói thuốc đi vào đường miệng, người hút đã vô tình bỏ qua cơ chế bảo vệ thứ nhất là quá trình lọc ở mũi.
Những người hút thuốc thường bài tiết nhiều đờm hơn người không hút thuốc và khả năng đưa đờm ra khỏi đường hô hấp kém hơn. Lý do hệ thống luân chuyển ở người hút thuốc bị liệt, thậm chí bị phá hủy.
Khói thuốc làm thay đổi cấu trúc các tuyến tiết nhầy. Đôi khi tuyến tiết nhầy bị tắt làm giảm khả năng bài tiết đờm. Hậu quả là bị nhiễm các chất độc hại, cản trở sự lưu thông trao đổi khí.
![]() |
| Những thành phần độc hại trong khói thuốc lá - Ảnh BVCC |
Hút thuốc cũng gây ra hiện tượng tăng tính đáp ứng đường thở. Do ảnh hưởng của các chất độc hại trong khói thuốc, đường thở dễ bị co thắt. Khi điều này xảy ra thì luồng khí hít vào và thở ra đều bị cản trở ở người hút thuốc, do đó hình thành các tiếng ran rít, ran ngáy và có thể bị khó thở.
Người hút thuốc ở tuổi càng trẻ thì càng sớm nhiễm các bệnh liên quan đến đường hô hấp, so với những người bắt đầu hút ở tuổi muộn hơn. Không chỉ người trực tiếp hút thuốc mà những người phơi nhiễm khói thuốc (hút thuốc gián tiếp) cũng có thể chịu ảnh hưởng và gặp phải những nguy cơ tương tự người hút thuốc.
Cách giảm thiểu tác hại của thuốc lá
ThS. BS. Lê Thị Hồng Nhung khuyến cáo cách tốt nhất để giảm tác hại của thuốc lá là cai thuốc. Tuy nhiên, trên thực tế quá trình cai thuốc thường kéo dài và nhiều trường hợp không thể bỏ thuốc thành công. Người hút thuốc có thể sử dụng các sản phẩm miếng dán nicotin, kẹo ngậm nicotin, xịt nicotin qua đường miệng như một giải pháp giúp giảm dần lượng nicotin để giúp người hút cai dần thuốc lá.
Những người đang tìm giải pháp cai thuốc lá hoặc giảm thiểu tác hại có thể tìm đến bác sĩ để có tư vấn phù hợp. Các bác sĩ có thể đưa ra giải pháp giảm thèm thuốc lá và giảm tác động đến sức khỏe trong quá trình cai.



