Sức khoẻ 360

Người đàn ông thủng ruột non do dị vật tăm tre

Bệnh nhân bị thủng ruột do tăm tre, nhấn mạnh nguy cơ từ thói quen ngậm tăm, cần cảnh giác và khám sớm để tránh biến chứng nặng.

Khoa Ngoại Tổng hợp – Bệnh viện 19-8 vừa tiếp nhận và phẫu thuật một trường hợp thủng ruột non do dị vật tăm tre.

Bệnh nhân nam, đau bụng hố chậu trái 2 ngày, bí trung đại tiện. Điều đáng chú ý, người bệnh có thói quen ngậm tăm sau khi ăn và cả khi đi ngủ.

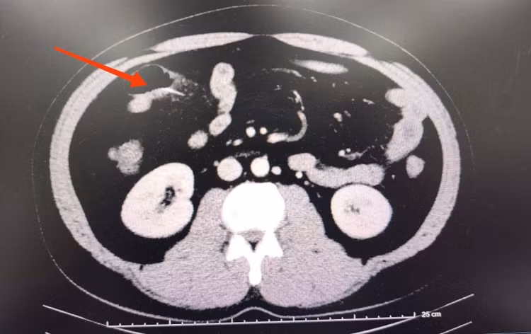
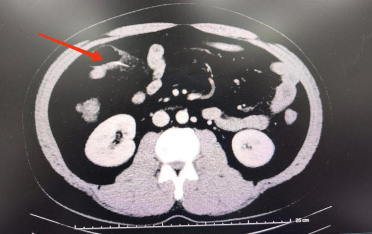
Chụp CT phát hiện một chiếc tăm tre sắc, dài khoảng 3 cm, đâm xuyên thành ruột non gây viêm dày quai ruột.

Ảnh BV

Bệnh nhân được phẫu thuật cấp cứu, lấy dị vật và khâu lỗ thủng. Nhờ can thiệp kịp thời, người bệnh hồi phục tốt và xuất viện sau 9 ngày.

BSCKII Mai Tiến Dũng, Khoa Ngoại Tổng hợp, chia sẻ: “Tăm tre nhỏ, nhọn, dễ mắc vào niêm mạc và đâm thủng đường tiêu hóa. Điểm nguy hiểm nhất là đa số bệnh nhân không nhớ mình đã nuốt, dẫn đến chậm trễ điều trị. Khi vào viện, tổn thương thường đã nặng”.

Nếu không phát hiện sớm, dị vật tăm có thể gây: Thủng ruột non/ruột già; Áp-xe ổ bụng; Viêm phúc mạc, nhiễm trùng huyết; Nguy cơ tử vong nếu điều trị muộn.

Các bác sĩ cho biết, thói quen ngậm tăm khá phổ biến ở Việt Nam và là yếu tố nguy cơ hàng đầu gây thủng ruột do dị vật. Nhiều nghiên cứu trong nước ghi nhận 70–80% bệnh nhân bị thủng ruột do tăm tre không hề biết mình đã nuốt phải.

Ảnh BV

Từ trường hợp này, bác sĩ khuyến cáo người dân tuyệt đối không ngậm tăm sau khi ăn, bỏ thói quen cầm tăm trên miệng khi làm việc hoặc lái xe... Khi nghi ngờ nuốt dị vật hoặc xuất hiện các triệu chứng như đau bụng kéo dài, sốt, buồn nôn, bí trung đại tiện, cần đến cơ sở y tế thăm khám sớm, tránh chần chừ gây hậu quả đáng tiếc.

back to top