Các bác sĩ Bệnh viện Bãi Cháy vừa thực hiện thành công phẫu thuật cắt thận trái cho một bệnh nhân mắc sỏi thận lâu năm biến chứng nặng thành ung thư thận xâm lấn nhiều cơ quan trong ổ bụng.
Mất quả thận do sỏi thận biến chứng
![]() |
| Phẫu thuật cắt thận trái cho bệnh nhân mắc sỏi thận lâu năm biến chứng nặng thành ung thư tại Bệnh viện Bãi Cháy - Ảnh BVCC |
Bệnh nhân Đỗ V P (64 tuổi, ở TP Hạ Long, Quảng Ninh) khám tại Bệnh viện Bãi Cháy do đau tức thắt lưng kéo dài, tiểu buốt, tiểu đục. Kết quả siêu âm, chụp CTscanner ổ bụng phát hiện thận trái có nhiều sỏi kích thước lớn 50x69mm ở đài bể thận, giãn bể thận, vùng rốn thận có khối u kích thước 40x44mm xâm lấn tĩnh mạch thận trái, dính vào động mạch chủ bụng và tổ chức xung quanh, nhiều hạch vùng rốn thận kích thước lớn nhất 12x16mm.
Các bác sĩ đã hội chẩn chuyên khoa ngoại, kết luận chẩn đoán sỏi thận trái, u thận trái theo dõi ung thư đường bài xuất.
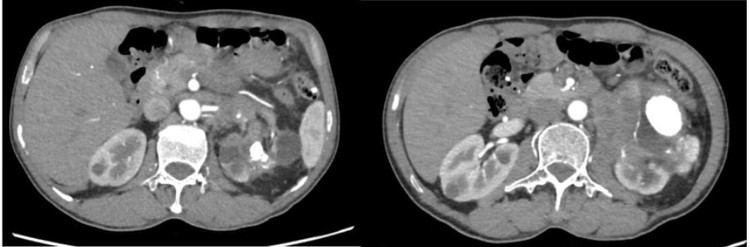
![]() |
| Hình ảnh phim chụp cắt lớp ổ bụng có sỏi thận và khối u thận của người bệnh - Ảnh BVCC |
Trước tình trạng bệnh lý phức tạp của người bệnh, ê-kíp phẫu thuật của BSCKII. Dương Xuân Hiệp – Trưởng khoa Ngoại Tổng hợp, Bệnh viện Bãi Cháy đã thực hiện phẫu thuật cắt toàn bộ thận và niệu quản trái cho bệnh nhân.
Quá trình phẫu thuật gặp nhiều khó khăn do đại tràng góc lách viêm dính, thận trái giãn to, sỏi lớn ở cực dưới thận trái, u bể thận trái xâm lấn dính vào tĩnh mạch mạc treo đại tràng, dính vào thành động mạch chủ bụng, cơ thắt lưng chậu phía sau và tổ chức xung quanh.
Phẫu thuật viên đã phải tỉ mỉ gỡ dính, phẫu tích bóc tách tổ chức thận trái ra khỏi các cơ quan lớn như động mạch chủ mà không gây tổn thương các cơ quan lân cận. Sau đó phẫu tích lấy toàn bộ thận, niệu quản trái và một phần bàng quang. Ca phẫu thuật kết thúc thành công, sau 3 ngày phẫu thuật, bệnh nhân phục hồi sức khỏe tốt, có thể đi lại nhẹ nhàng.
![]() |
| Hình ảnh khối thận trái, khối u và sỏi thận của bệnh nhân sau khi được phẫu thuật cắt bỏ - Ảnh BVCC |
“Đây là một trong những ca phẫu thuật phức tạp bởi khối u phát triển trên nền thận giãn to do sỏi lâu ngày, gây viêm dính nghiêm trọng vào các cơ quan trọng yếu như đại tràng, động mạch chủ bụng, tĩnh mạch mạc treo, cơ thắt lưng chậu.
Yêu cầu của ca mổ phải lấy toàn bộ tổn thương do ung thư một cách triệt để, bảo tồn mạch máu và mô lân cận trong quá trình phẫu tích gỡ dính, kiểm soát tốt tình trạng mất máu, các nguy cơ biến chứng, đảm bảo an toàn tính mạng cho bệnh nhân trong mổ.
Với sự phối hợp chặt chẽ của ekip phẫu thuật ngoại và gây mê hồi sức, chúng tôi đã hoàn thành ca mổ thuận lợi", ThS.BSNT Lê Bá Khánh – phẫu thuật viên Khoa Ngoại Tổng hợp, Bệnh viện Bãi Cháy cho biết.
![]() |
| ThS. BSNT Lê Bá Khánh – phẫu thuật viên Khoa Ngoại Tổng hợp, Bệnh viện Bãi Cháy thăm khám cho bệnh nhân sau phẫu thuật - Ảnh BVCC |
Nhiều biến chứng đe dọa tính mạng
Sỏi thận là bệnh lý phổ biến chiếm tới 45-50% trong các bệnh tiết niệu tại Việt Nam. Tuy nhiên, nếu không được phát hiện và điều trị sớm, sỏi thận có thể gây ra hàng loạt biến chứng nguy hiểm như nhiễm khuẩn tiết niệu tái đi tái lại, viêm đài bể thận mãn tính, ứ nước, ứ mủ thận, tắc nghẽn đường tiểu, suy thận, thậm chí dẫn đến ung thư thận…
Một số nghiên cứu y khoa nhận định rằng tình trạng viêm mạn tính, nhiễm trùng do sỏi thận kéo dài làm tổn thương lớp niêm mạc đài bể thận. Sự tổn thương có thể làm biến đổi các tế bào, hình thành các khối u ác tính và nguy cơ ung thư ở những bệnh nhân có tiền sử sỏi thận kéo dài cao hơn nhiều lần so với người bình thường.
Điều đáng lo ngại là nhiều bệnh nhân không có triệu chứng rõ ràng cho đến khi bệnh đã tiến triển nặng, gây khó khăn trong việc điều trị.
"Khám sức khỏe định kỳ để phát hiện sớm sỏi thận hoặc các bất thường tiết niệu; Uống đủ nước hàng ngày, giảm nguy cơ hình thành sỏi;
Điều trị triệt để sỏi thận ngay từ giai đoạn sớm để phòng ngừa biến chứng nguy hiểm; Chủ động thăm khám ngay khi có các triệu chứng bất thường: đau lưng, tiểu buốt, tiểu máu, sốt, mệt mỏi..." , các bác sĩ Bệnh viện Bãi Cháy khuyến cáo.



