Sức khoẻ 360

Người đàn ông 52 tuổi bị áp xe gan do nuốt phải xương

Bệnh nhân bị áp xe gan do nuốt xương phải nhập viện trong tình trạng đau bụng kéo dài, kèm nhiều bệnh lý nền phức tạp.

Người đàn ông tên N.T.H (58 tuổi, ngụ phường Bảy Hiền, TP HCM), nhập viện trong tình trạng đau bụng kéo dài, kèm nhiều bệnh lý nền phức tạp.

Khoảng một tháng trước khi vào viện, bệnh nhân thường xuyên bị đau bụng quanh rốn kèm nôn 2–3 lần/ngày và tự ý dùng thuốc giảm đau nhưng không cải thiện. Khi vào Bệnh viện Thống Nhất, ông H được ghi nhận có tiền sử tăng huyết áp, đái tháo đường, béo phì và xuất hiện nhiễm trùng ổ bụng.

Sau phẫu thuật, sức khỏe bệnh nhân đã cải thiện rõ, chức năng gan – thận dần ổn định. Ảnh: BVCC/Nguồn SKĐS

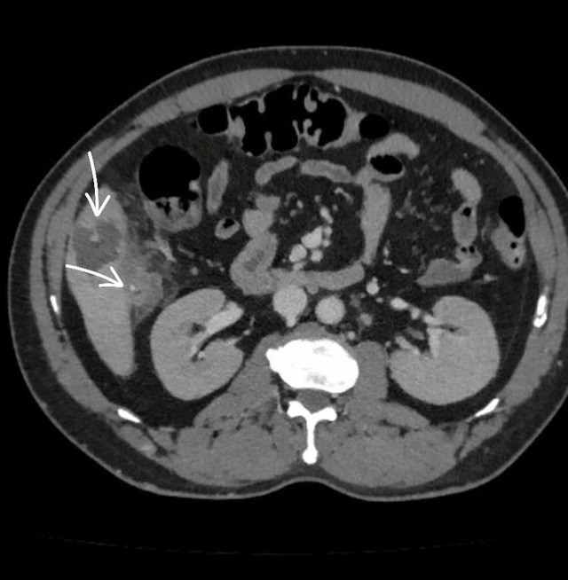
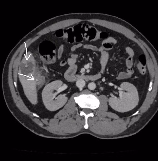
Kết quả chẩn đoán hình ảnh (CT scan) cho thấy một mảnh xương nhỏ xuyên qua thành đại tràng tại góc gan, găm vào nhu mô gan hạ phân thùy V, tạo ổ áp xe kích thước 56x36mm, kèm viêm dày thành đại tràng vùng góc gan. Đây là nguyên nhân chính gây ra ổ nhiễm trùng nguy hiểm. Bệnh nhân nhanh chóng được các bác sĩ phẫu thuật nội soi, lấy dị vật và xử lý ổ áp xe thành công. Sau phẫu thuật, bệnh nhân đáp ứng với điều trị, tình trạng dần ổn định và được chuyển sang Khoa Ngoại Tiêu hóa để tiếp tục điều trị.

Bệnh nhân bị áp xe gan do bị mảnh xương nhỏ đâm phải. Ảnh: BVCC/Nguồn SKĐS.

Các bác sĩ khuyến cáo trong ăn uống cần đặc biệt lưu ý, tránh để xương - nhất là xương cá - lọt vào đường tiêu hóa, vì có thể gây biến chứng nặng nề, thậm chí nguy hiểm tính mạng. Bên cạnh đó, khi có triệu chứng đau bụng kéo dài, người bệnh cần đến bệnh viện thăm khám sớm, không nên tự ý dùng thuốc tại nhà để tránh nhập viện muộn, khiến việc điều trị khó khăn và nguy cơ biến chứng tăng cao.

back to top