Cứu sống người phụ nữ nuốt tăm tre xuyên thủng đại tràng
Bệnh nhân 66 tuổi được phẫu thuật thành công lấy tăm tre nhọn gây thủng đại tràng, cảnh báo nguy hiểm của thói quen ngậm tăm hàng ngày.
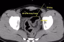
Viêm phúc mạc là một bệnh lý rất nặng trong ngoại khoa, nếu không xử trí kịp thời, tỷ lệ tử vong có thể lên tới 60 - 70%.