Sức khoẻ 360

Nghiện thuốc lào 30 năm, quý ông 42 tuổi suýt mất mạng vì nhồi máu cơ tim

Hút thuốc lá, thuốc lào lâu năm, cộng thêm tăng huyết áp không điều trị, chính là nguyên nhân dẫn đến hẹp mạch vành, nhồi máu cơ tim.

Bệnh viện Đa khoa Hồng Ngọc Phúc Trường Minh cho biết, các bác sĩ khoa Tim mạch - Tim mạch can thiệp đã kịp thời cứu sống người đàn ông nhồi máu cơ tim còn rất trẻ.

Theo đó, khoảng 10 ngày trước khi nhập viện, anh N.T.H. xuất hiện tình trạng đau tức, đau thắt vùng ngực trái theo từng cơn ngắn, vài phút lại đỡ, kèm theo khó thở trong cơn. Đáng lo ngại, cơn đau xuất hiện cả khi nghỉ ngơi, đau tăng khi gắng sức.

40-tuoi-huy2-8239.jpg
Thăm khám cho bệnh nhân - Ảnh BVCC

Ban đầu, anh chỉ nghỉ ngơi tại nhà, cho đến khi cơn đau trở nên dữ dội đến mức không ngủ nổi, anh quyết định đến đi khám.

Khai thác tiền sử, được biết, anh N.T.H. có thói quen hút thuốc lá nhiều năm, từ khi còn trẻ. Sau đó, anh đã chuyển sang hút thuốc lào vì thấy bố và chú cũng hút, nghĩ rằng nó ít độc hại hơn.

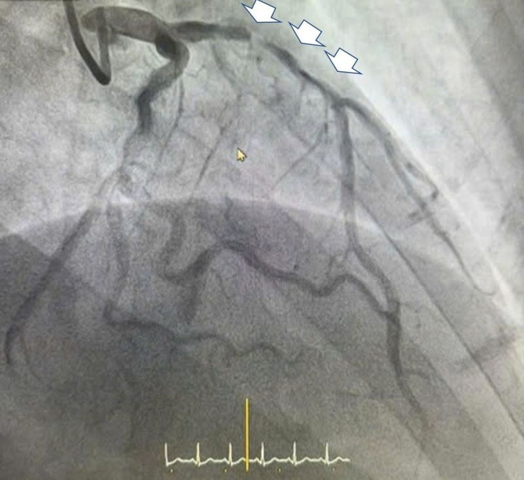
40-t-hut-8824.jpg
Tổn thương hẹp rất nặng - Ảnh BVCC

Kết quả chụp cho thấy bệnh nhân bị hẹp rất nặng động mạch liên thất trước và hẹp 80-90% động mạch vành phải, nguy cơ diễn tiến rất xấu nếu không được can thiệp kịp thời. Ngay lập tức, bệnh nhân được chỉ định đặt stent động mạch liên thất trước để tránh biến chứng nguy hiểm của nhồi máu cơ tim cấp.

BSCKII.BSNT Lê Đức Hiệp, khoa Tim mạch - Tim mạch can thiệp Bệnh viện Đa khoa Hồng Ngọc Phúc Trường Minh, cũng là người trực tiếp cùng ê kíp thực hiện ca can thiệp đặt stent cho anh H. cho biết: Động mạch liên thất trước của bệnh nhân bị hẹp rất nặng, nếu không can thiệp ngay có thể bệnh nhân sẽ đối diện với các biến cố thường gặp do nhồi máu cơ tim như suy tim nặng dẫn tới sốc tim, rối loạn nhịp thất nguy hiểm đe dọa trực tiếp đến tính mạng.

Rất nhanh chóng ê kíp đã can thiệp thành công và đặt 01 Stent có kích thước 3.5 x 38 mm, nhằm tái thông động mạch thủ phạm gây nhồi máu cơ tim cấp.

40-tuoi-huy1-9211.jpg
Sau can thiệp đặt Stent - Ảnh BVCC

Trên phim chụp chúng tôi ghi nhận còn một tổn thương hẹp nặng khác, mức độ hẹp lên tới 90% ở động mạch vành phải, tuy nhiên đánh giá tổn thương, dòng chảy và tình trạng bệnh nhân, ê kíp đã quyết định sẽ can thiệp thì hai trong thời gian nằm viện để đảm bảo an toàn cho người bệnh.

Với sự nhanh chóng nhưng rất thận trọng trong quá trình can thiệp, cả 2 lần đặt stent cho anh H. đều diễn ra thuận lợi. Kết quả chụp siêu âm trong lòng mạch IVUS cho thấy stent áp sát thành mạch, dòng chảy khơi thông tốt. Ngay sau can thiệp, bệnh nhân H không còn cảm thấy đau tức ngực như trước nữa.

40-tuoi-hut-3-2756.jpg
Sau can thiệp bệnh nhân H. không còn cảm thấy đau tức ngực như trước nữa - Ảnh BVCC

“Tôi hút thuốc lá từ năm 14 tuổi, có thời điểm hút 1 bao/ ngày, hút khoảng 10 năm thì chuyển sang thuốc lào và duy trì đến bây giờ. Tôi chưa từng nghĩ đến trường hợp mình bị nhồi máu cơ tim. Lúc nhập viện, tôi rất sợ vì thấy nhiều người không qua khỏi. Sau lần này, tôi chắc chắn từ bỏ thuốc lào và thuốc lá”, anh H. chia sẻ.

Bác sĩ Hiệp cũng cho biết thêm, hút thuốc lào lâu năm, cộng thêm tăng huyết áp không điều trị, chính là nguyên nhân dẫn đến hẹp mạch vành, nhồi máu cơ tim.

Nhiều người cho rằng hút thuốc lào ít ảnh hưởng đến sức khỏe hơn thuốc lá nhưng thực tế lượng nicotin trong thuốc lào còn cao hơn, gây tổn hại nặng nề hơn cho tim mạch.

Việc từ bỏ thói quen này là cách bảo vệ sức khỏe hiệu quả nhất, đặc biệt ở những người đang có sẵn các bệnh lý nền như tăng huyết áp, đái tháo đường.

back to top