Sức khoẻ 360

Một bệnh nhân được chẩn đoán mắc u nang giáp móng hiếm gặp

Bệnh nhân 56 tuổi mắc u nang giáp móng, dị tật hiếm gặp, được phát hiện sớm nhờ các kỹ thuật cận lâm sàng tại một phòng khám.

Ngày 11/9, Phòng khám Đa khoa Medlatec Gò Vấp tiếp nhận bệnh nhân N.B. (56 tuổi, Tây Ninh) đến khám vì đau họng, ho nhiều, sổ mũi kéo dài. Trước đó, bệnh nhân từng điều trị viêm phổi nhưng không cải thiện.

Tại Phòng khám Đa khoa Medlatec Gò Vấp, bệnh nhân được chỉ định thực hiện các kỹ thuật cận lâm sàng cần thiết phục vụ chẩn đoán bao gồm: Siêu âm tuyến giáp, chụp cắt lớp vi tính phổi liều thấp.

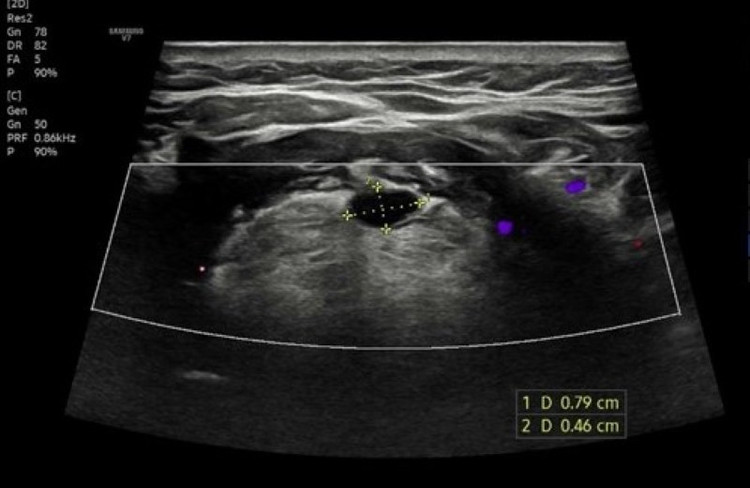
Hình ảnh siêu âm của bệnh nhân phát hiện bất thường.

Đáng chú ý, kết quả siêu âm tuyến giáp ghi nhận hình ảnh dạng nang ít cản âm - dấu hiệu quan trọng giúp loại trừ khả năng tuyến giáp lạc chỗ dạng đặc. Chính phát hiện này đã góp phần định hướng chẩn đoán chính xác, làm rõ tình trạng dị tật bẩm sinh hiếm gặp ở bệnh nhân. Chẩn đoán xác định, bệnh nhân mắc bệnh nang ống giáp lưỡi, được bác sĩ tư vấn hướng điều trị phù hợp.

Sau quá trình chẩn đoán, nhờ năng lực chuyên môn của đội ngũ y bác sĩ cùng hệ thống trang thiết bị hiện đại, bệnh nhân được chẩn đoán mắc u nang giáp móng - một dị tật bẩm sinh hiếm gặp chỉ chiếm 7% dân số.

U nang giáp móng nếu không được điều trị sớm có nguy cơ gây ra nhiều biến chứng nguy hiểm

Theo BSCKI Bùi Thị Cẩm Bình - chuyên khoa Nội, nang ống giáp lưỡi (còn gọi u nang giáp móng) hình thành do bất thường trong quá trình phát triển phôi thai của tuyến giáp, chiếm khoảng 7% dân số và có thể gặp ở mọi lứa tuổi.

Tuy bệnh thường lành tính và tiến triển chậm, nhưng nang giáp lưỡi vẫn có khả năng gây biến chứng không mong muốn như:

  • Nhiễm trùng gây triệu chứng sưng đỏ, nóng, sờ vào thấy đau, thậm chí là hình thành áp xe mủ; Dịch mủ xâm nhập qua vùng cổ họng hoặc qua da; Vùng cổ bị biến dạng; Ung thư nang giáp lưỡi; Bệnh lý có nguy cơ tái phát ngay cả khi đã phẫu thuật.
  • Việc chẩn đoán sớm, chính xác không chỉ giúp tiết kiệm thời gian, chi phí điều trị mà còn giảm thiểu tối đa nguy cơ biến chứng, đảm bảo chất lượng cuộc sống cho người bệnh.
  • Vì vậy, bác sĩ khuyến cáo, người dân nếu nhận thấy bất kỳ bất thường nào ở vùng cổ như xuất hiện khối u, sưng to bất thường, khó nuốt, đau họng kéo dài… người bệnh cần đến ngay các cơ sở y tế uy tín để được thăm khám. Thực hiện các kỹ thuật cận lâm sàng sớm sẽ giúp bác sĩ phân biệt được nang giáp lưỡi với các bệnh lý khác như viêm hạch, nang tuyến giáp hay thậm chí ung thư tuyến giáp.
back to top