Ngày 22/6, Bệnh viện Ung Bướu Hà Nội cho biết, bệnh viện vừa thực hiện thành công ca phẫu thuật cho một bệnh nhân mang khối u trung thất lớn, đẩy xẹp phổi trái. Đáng nói, khối ung thư chỉ được phát hiện khi bệnh nhân đi mổ ruột thừa nên kích thước đã khá lớn, phẫu thuật khó khăn hơn.
Đó là trường hợp bệnh nhân V.T.T sinh năm 1965 trú tại Đống Đa, Hà Nội. Trước đó, bệnh nhân sức khỏe hoàn toàn bình thường, không có dấu hiệu mệt mỏi, đau đớn hay khó chịu.
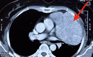
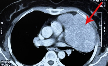
Khi chuyển đến Bệnh viện Ung Bướu Hà Nội, qua các xét nghiệm chụp chiếu, các bác sĩ xác định khối u kích thước 11x10cm đã chèn ép gây xẹp gần như toàn bộ phổi trái, dính vào màng phổi, màng tim và dịch màng phổi tương đối dày.
![]() |
| Mổ ruột thừa phát hiện u trung thất lớn đẩy xẹp phổi |
TS.BS. Phan Lê Thắng, trưởng khoa Ngoại Theo yêu cầu, bệnh viện Ung bướu Hà Nội cho biết, khối u của bệnh nhân có kích thước lớn, nhiều mạch nuôi, gây tăng sinh mạch máu, dính các tạng xung quanh khiến quá trình phẫu thuật gặp nhiều khó khăn trong việc cầm máu và cắt u.
Nếu không được phát hiện kịp thời, u phát triển xâm lấn cả hai phổi gây khó thở, suy hô hấp thì việc phẫu thuật sẽ càng khó khăn hơn.
Thêm nữa, các ca mổ lồng ngực có đặc thù đường mổ hẹp, chỉ có thể rạch một khoang nhỏ giữa khe hai xương sườn để đưa dụng cụ phẫu thuật vào cắt u và cầm máu.
Do đó, phẫu thuật viên cần có kinh nghiệm và tay nghề chuyên môn cao để có thể thực hiện các thao tác một cách chính xác, tránh gây mất máu ồ ạt đe dọa đến tính mạng người bệnh.
Sau hai giờ phẫu thuật, toàn bộ khối u đã được lấy ra. Với kinh nghiệm dày dặn của ê kíp phẫu thuật, ca mổ diễn ra thuận lợi, bệnh nhân không cần truyền thêm máu, sau ba ngày bệnh nhân đã được rút ống dẫn lưu, sức khỏe ổn định.
Kết quả giải phẫu bệnh cho thấy khối u là loại u tuyến ức tuýp AB. U tuyến ức là căn bệnh hiếm gặp hơn so với các bệnh ung thư khác và hầu như không biểu hiện triệu chứng khi ở giai đoạn sớm, tuy nhiên khi mắc căn bệnh này nếu được thăm khám và điều trị kịp thời thì cơ hội sống rất cao.
Do đó bác sĩ khuyến cáo người dân nên khám sức khỏe định kỳ để kịp thời phát hiện những bất thường trong cơ thể, nhất là với một số loại bệnh âm thầm phát triển chỉ có dấu hiệu khi bệnh đã ở giai đoạn muộn.
