U trung thất nếu không loại bỏ kịp thời khối u có thể chèn ép, xâm lấn vào các cơ quan chủ chốt như tim, phổi, mạch máu lớn. U ác tính dễ di căn đến tim, phổi.
U trung thất chỉ chiếm khoảng 1-3% các khối u lồng ngực nhưng có thể gây nhiều biến chứng nguy hiểm đến tính mạng nếu không được phát hiện và xử trí kịp thời.
U trung thất là khối u nằm ở trong lồng ngực, phát triển lặng lẽ và ít khi được phát hiện sớm. Nếu không được phát hiện, phẫu thuật loại bỏ kịp thời có thể chèn ép vào tim, phổi, mạch máu lớn….
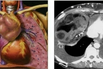
Nhờ thăm khám sức khỏe khi có triệu chứng khàn tiếng kéo dài, đau ngực và ho nhiều, bệnh nhân được phát hiện và điều trị kịp thời khối u tuyến ức ở vùng trung thất.
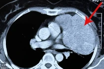
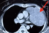
Các bác sỹ khoa Ngoại lồng ngực Bệnh viện K đã tiến hành phẫu thuật thành công, bóc tách khối u kích thước lớn trung thất sau vùng ngực bụng dính vào tĩnh mạch chủ dưới, dính một phần động mạch chủ bụng và phổi phải.
Bệnh nhân hoàn toàn khỏe mạnh, đi mổ ruột thừa phát hiện khối u trung thất lớn, phẫu thuật rất khó khăn. Đây là loại u tuyến ức không có biểu hiện ở giai đoạn sớm nên người dân cần chú ý.
(khoahocdoisong.vn) - U trung thất bắt nguồn từ những mô của nhiều lá thai, nằm lạc chỗ, phát triển chậm. Khi khối u khá to sẽ gây hiện tượng chèn ép hoặc thoái hóa ác tính.
(khoahocdoisong.vn) - Trung thất được phân chia làm 3 phần: Trung thất trước, trung thất giữa và trung thất sau. Các cơ quan của trung thất có các biểu hiện bệnh tật riêng.
(khoahocdoisong.vn) - U không chỉ chèn ép vào phổi, tim mà cả các dây thần kinh gây nhiều tai biến nguy hiểm cho tính mạng người bệnh. Phẫu thuật điều trị rất khó khăn.
(khoahocdoisong.vn) - Với sự hỗ trợ của BS Diego Gonzaler Rivas - chuyên gia hàng đầu thế giới về phẫu thuật lồng ngực, lần đầu tiên tại Việt Nam, các bác sĩ của Khoa Phẫu thuật lồng ngực, Bệnh viện Bạch Mai đã triển khai thành công kỹ thuật cắt thùy phổi nội soi một đường rạch cho 02 bệnh nhân.
(khoahocdoisong.vn) - Nhờ sự kết hợp nhiều chuyên khoa các bác sĩ Bệnh viện Bạch Mai đã cứu bệnh nhân có khối u trung thất lớn xâm lấn tim, phổi, làm tắc mạch...
Sau 1 thời gian thấy hơi tức ngực, nuốt nghẹn bệnh nhân đi khám phát hiện ở trung thất có 1 tổ chức kén và đã được các bác sĩ Bệnh viện TWQĐ 108 lấy ra thành công.
Lần đâu tiên bệnh viện Phổi TƯ đã phối hợp cùng Bệnh viện E sử dụng hệ thống máy tim phổi nhân tạo (hệ thống tim phổi ngoài cơ thể) để cắt khối u trong ngực cứu bệnh nhân bị u trung thất ở phía sau tim.
Ung thư vú thường di căn màng phổi, trung thất và hạch vú trong…Tổn thương di căn phổi thường là khối u đặc, dưới 3 cm ở vùng ngoại vi của phổi. Các di căn này thường không có triệu chứng và thường được xác định nhờ chụp Xquang.
U trung thất trước chiếm tỷ lệ cao nhất, bao gồm u tuyến hung, u tế bào mầm… 30 – 50% các trường hợp u trung thất không có biểu hiện hoặc có một số biểu hiện không đặc trưng như: Đau ngực, khó thở, ho, sốt… Khối u vùng trung thất thường gây ra hội chứng chèn ép tĩnh mạch chủ, tim, phổi, nên rất nguy hiểm cho bệnh nhân bất cứ lúc nào. Với kỹ thuật mổ nội soi tại Bệnh viện Phổi T.Ư đã mang lại thành công và may mắn cho nhiều bệnh nhân.
U tuyến ức (UTƯ) thuộc khối u vùng trung thất, gặp cả ở người lớn và trẻ em. Bệnh có biểu hiện nhược cơ toàn thân. Tiên lượng sống phụ thuộc vào việc phát hiện và điều trị sớm.