Sức khoẻ 360

Không có triệu chứng, phát hiện u trung thất “khổng lồ”

U trung thất chỉ chiếm khoảng 1-3% các khối u lồng ngực nhưng có thể gây nhiều biến chứng nguy hiểm đến tính mạng nếu không được phát hiện và xử trí kịp thời.

Ngày 12/6, Bệnh viện Bãi Cháy cho biết, các bác sĩ Khoa Ung bướu 2 đã phẫu thuật thuật thành công loại bỏ khối u trung thất kích thước “khổng lồ” không có triệu chứng cho chàng trai 36 tuổi.

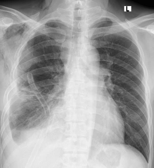
Bệnh nhân Nguyễn V T (36 tuổi, ở TP Hạ Long, tỉnh Quảng Ninh) không có triệu chứng đau ngực, khó thở chỉ tức nặng ngực khi vận động. Khám sức khỏe tại Bệnh viện Bãi Cháy, kết quả chụp CTscanner lồng ngực của bệnh nhân phát hiện khối u có cấu trúc hỗn hợp gồm mô đặc, mỡ, vôi hóa, kích thước 12,3cm x 18,3cm x 25,2cm nằm ở trung thất trước bên phải, đè ép vào nhu mô phổi phải, tĩnh mạch chủ trên.

u-tt-kl.jpg
TS.BS Nguyễn Văn Hiệp, BSCKI Nguyễn Hữu Ứng - Khoa Ung bướu 2, Bệnh viện Bãi Cháy thăm khám cho bệnh nhân sau phẫu thuật - Ảnh BVCC

Các bác sĩ đã hội chẩn chuyên khoa kết luận chẩn đoán u trung thất trước phải và chỉ định phẫu thuật điều trị.

Dưới sự hướng dẫn trực tiếp của PGS.BS Phạm Hữu Lư, Bệnh viện Việt Đức, ê-kíp của bác sĩ CKI Nguyễn Hữu Ứng, Khoa Ung bướu 2, Bệnh viện Bãi Cháy đã thực hiện phẫu thuật bóc tách khối u trung thất cho người bệnh. Quá trình phẫu thuật có sự phối hợp chặt chẽ giữa các bác sĩ phẫu thuật ngoại lồng ngực và gây mê hồi sức.

Phẫu thuật viên đã tạo đường vào từ khoang liên sườn phải, tiếp cận khối u. Quan sát thấy khối u trung thất kích thước lớn 20cm x 25 cm kéo dài từ đỉnh phổi xuống bờ sườn, mật độ chắc, dính vào mặt trung thất, 1 phần dính nhu mô phổi nhiều mạch máu nuôi xuất phát từ trung thất.

u-trung-that-kl.jpg
Khối u trung thất khổng lồ trên phim chụp - Ảnh BVCC

Các bác sĩ đã tiến hành bóc tách tỉ mỉ, kẹp và cắt các mạch máu nuôi u, lấy trọn vẹn tổ chức u ra ngoài. Ca phẫu thuật diễn ra thành công, an toàn, kết quả giải phẫu bệnh khối u quái lành tính. Sau phẫu thuật 5 ngày được chăm sóc hồi sức tích cực, bệnh nhân phục hồi sức khỏe tốt.

Theo BSCKI Nguyễn Hữu Ứng, đây là ca phẫu thuật khó với nhiều thử thách do khối u lớn gần 20x25cm, nằm sâu, kích thước lớn chiếm không gian quan sát và phẫu tích khối u, đồng thời u được nuôi dưỡng bởi các mạch máu lớn và nằm sát, đè ép các cơ quan trọng yếu của cơ thể người như tim, phổi, động mạch, tĩnh mạch, cơ hoành…

Vì vậy quá trình phẫu thuật đòi hỏi sự phối hợp hiệu quả giữa các chuyên khoa phẫu thuật ung bướu, ngoại lồng ngực, gây mê, hồi sức tích cực; Phẫu thuật viên phải thao tác phẫu tích chuẩn xác, khéo léo để loại bỏ triệt để khối u một cách an toàn, kiểm soát các nguy cơ biến chứng mất máu, tổn thương các cơ quan như phổi, động mạch chủ, tĩnh mạch chủ…

u-trung-kl.jpg
Khối u trung thất được phẫu thuật cắt thành công - Ảnh BVCC

Không phải ung thư cũng nguy hiểm tính mạng

Trung thất là một phần trung tâm của ngực, bên trong có các cơ quan như tuyến ức, mạch máu lớn, dây thần kinh, thực quản đoạn ngực, tim và màng ngoài tim,...

Khối u trung thất nằm trong lồng ngực, xuất hiện tại khu vực trước hoặc sau trung thất và chiếm đến khoảng 90% các bệnh lý thuộc trung thất. U trung thất có thể là lành tính hoặc ác tính, chủ yếu được tạo ra từ các tế bào mầm hoặc tế bào tăng sinh trưởng trong mô tuyến ức, mô thần kinh, mô bạch huyết.

U trung thất thường tiến triển một cách âm thầm, lặng lẽ nên khó phát hiện sớm bệnh cho đến khi người bệnh xuất hiện các triệu chứng như: đau ngực, khó thở, khò khè, thở rít hoặc khó nuốt do u chèn ép thực quản, mệt mỏi, sụt cân, bội nhiễm đường hô hấp…

Nếu không được phát hiện, phẫu thuật loại bỏ kịp thời khối u có thể chèn ép, xâm lấn vào các cơ quan chủ chốt như tim, phổi, mạch máu lớn… làm cản trở quá trình tuần hoàn, hô hấp. Nếu là khối u ác tính, nguy cơ di căn đến màng tim hoặc phổi đe dọa tính mạng của người bệnh là rất cao.

u-trung-1.jpg
Bệnh nhân hồi phục sức khỏe tốt sau phẫu thuật - Ảnh BVCC

Bệnh lý u trung thất có thể được điều trị bằng các phương pháp phẫu thuật nội soi hoặc phẫu thuật mở lồng ngực tùy thuộc vào vị trí, kích thước của khối u.

Để có thể phẫu thuật xử trí thành công khối u kích thước lớn trong lồng ngực đòi hỏi đội ngũ phẫu thuật viên có nền tảng kỹ năng, tay nghề thuần thục cùng sự phối hợp tốt của các chuyên khoa: Ung bướu, Chẩn đoán hình ảnh, Giải phẫu bệnh, Gây mê, Phẫu thuật Lồng ngực, Hồi sức sau mổ…

Người dân nên kiểm tra sức khỏe định kỳ để phát hiện sớm và có phương án điều trị kịp thời, hiệu quả, tránh biến chứng nghiêm trọng.

back to top