Đời sống 247

Loãng xương nặng ở phụ nữ sau mãn kinh

Bệnh nhân 64 tuổi với loãng xương nặng, nguy cơ gãy xương cao, cần đánh giá định kỳ để phòng tránh các biến chứng nguy hiểm.

Đau lưng âm ỉ, đi khám phát hiện xẹp nhiều đốt sống do loãng xương nặng

Bệnh nhân L.T.N.L. (64 tuổi, sinh sống tại Hà Nội) đến Bệnh viện Đa khoa Medlatec khám vì tình trạng đau cột sống lưng và cột sống thắt lưng trên nền bệnh loãng xương đã được chẩn đoán từ 6 năm trước. Bệnh nhân đang điều trị loãng xương đều đặn bằng thuốc uống hàng tuần, kết hợp bổ sung canxi và vitamin D.

Khoảng 1 tuần trước khi vào viện, bệnh nhân xuất hiện đau vùng lưng và thắt lưng, cơn đau tăng rõ khi ngồi lâu hoặc thay đổi tư thế, chưa sử dụng thuốc điều trị giảm đau trước đó. Ngoài ra, bệnh nhân còn có tiền sử mắc rối loạn chuyển hóa lipid, tiền đái tháo đường, tăng men gan GGT và thiếu máu hồng cầu nhỏ nhược sắc.

Khám lâm sàng, bác sĩ ghi nhận, chiều cao bệnh nhân đã giảm khoảng 4 cm so với trước đây, cột sống gù, ấn đau rõ tại các vị trí D7–D8 và L3–L5, kèm co cứng nhẹ các cơ cạnh sống. Các nghiệm pháp thần kinh âm tính, không ghi nhận dấu hiệu chèn ép rễ thần kinh.

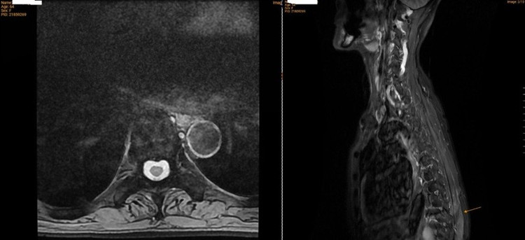
Kết quả chụp cộng hưởng từ (MRI) cột sống cho thấy, bệnh nhân có xẹp mới đốt sống L2 trên nền nhiều đốt sống xẹp mạn tính trước đó (T8, T10, T11, L4, L5), kèm theo tình trạng thoái hóa cột sống, phình và thoát vị đĩa đệm, cũng như viêm phần mềm vùng cột sống lưng – thắt lưng.

Kết quả chụp MRI của bệnh nhân ghi nhận nhiều đốt sống bị xẹp

Đo mật độ xương ghi nhận, mức độ loãng xương rất nặng, với T-score tại đốt sống L1–L4 là –3,4; cổ xương đùi phải –3,4 và cổ xương đùi trái –3,8.

Dựa trên lâm sàng và các kết quả cận lâm sàng, bệnh nhân được chẩn đoán mắc loãng xương nặng nguy cơ gãy xương rất cao, kèm theo thoái hóa cột sống và đĩa đệm. Bệnh nhân được chỉ định nhập viện để điều trị thuốc chống loãng xương mới Denosumab - một thuốc có hiệu quả bảo vệ xương nhanh và mạnh, giúp tăng mật độ xương nhanh chóng, kết hợp thuốc điều trị đợt đau cột sống cấp tính.

Sau 7 ngày điều trị, tình trạng đau cột sống cải thiện rõ rệt, giảm đau khoảng 90%. Bệnh nhân được ra viện và tiếp tục điều trị theo đơn ngoại trú. Tại thời điểm tái khám hiện tại, bệnh nhân không còn đau cột sống, không ghi nhận dấu hiệu hạ canxi máu.

Loãng xương ở phụ nữ sau mãn kinh nguy hiểm thế nào?

Theo ThS.BSCKII Trịnh Thị Nga – Chuyên khoa Cơ xương khớp, Bệnh viện Đa khoa Medlatec, loãng xương là tình trạng xương bị giảm khối lượng hoặc chất lượng hoặc cả hai, khiến xương trở nên yếu, dễ gãy, ngay cả khi chỉ có chấn thương rất nhẹ.

Ở phụ nữ sau mãn kinh, loãng xương xảy ra chủ yếu do suy giảm estrogen – hormone có vai trò quan trọng trong việc bảo vệ và duy trì độ chắc khỏe của xương. Khi estrogen giảm, quá trình hủy xương diễn ra nhanh hơn tạo xương, khiến mật độ xương giảm dần theo thời gian mà người bệnh khó nhận biết.

Sau mãn kinh, phụ nữ có thể mất từ 1–3%, thậm chí 2-4% khối lượng xương mỗi năm, đặc biệt trong 5-10 năm đầu. Ngoài yếu tố nội tiết, nguy cơ loãng xương còn tăng cao nếu người phụ nữ có các yếu tố sau: Tuổi cao; mãn kinh sớm hoặc cắt buồng trứng; thể trạng gầy, chỉ số BMI thấp; ít vận động; chế độ ăn thiếu canxi và vitamin D; hút thuốc lá, uống rượu; có bệnh lý mạn tính như đái tháo đường, bệnh tuyến giáp, viêm khớp dạng thấp; dùng corticoid kéo dài.

Điều đáng lo ngại là loãng xương thường không gây đau hay triệu chứng rõ rệt, cho đến khi xảy ra gãy xương. Gãy xương do loãng xương có thể xảy ra trong các tình huống rất nhẹ như: trượt chân, té ngã khi sinh hoạt; mang vật nặng; cúi người, xoay người đột ngột; thậm chí ho mạnh hoặc hắt hơi…

Những vị trí gãy xương thường gặp nhất gồm: cột sống (gây đau lưng mạn tính, gù lưng, giảm chiều cao); cổ xương đùi (nguy cơ tàn phế và tử vong cao); cổ tay; cánh tay. Đặc biệt, người đã từng gãy xương sẽ có nguy cơ gãy lại cao hơn nhiều lần, nhất là trong 1–2 năm đầu sau lần gãy đầu tiên.

Loãng xương ở phụ nữ tiền mãn kinh là tình trạng nhiều chị em gặp phải. Ảnh minh họa

ThS.BSCKII Trịnh Thị Nga khuyến cáo, phụ nữ từ 50 tuổi trở lên, đặc biệt sau mãn kinh nên được đánh giá nguy cơ loãng xương. Đo mật độ xương định kỳ giúp phát hiện sớm loãng xương ngay cả khi chưa có triệu chứng, điều này giúp giảm đáng kể nguy cơ gãy xương, tàn phế và suy giảm chất lượng sống.

back to top