Sức khoẻ 360

Lấy vòng tránh thai cho thai phụ mang thai 12 tuần

Các bác sĩ bệnh viện Sản nhi Nghệ An vừa tiến hành lấy vòng tránh thai thành công cho thai phụ mang thai 12 tuần. Thai phụ đi khám vì đau bụng dưới bất ngờ phát hiện mang thai 12 tuần trong khi đang đặt vòng.

Chị N.T.L., 35 tuổi, trú tại huyện Nghi Lộc đã có 3 con, đều đẻ thường. Chị L. đặt vòng tránh thai 1 năm trước tại phòng khám tư, sau đó chị không tái khám định kỳ. Một tuần trở lại đây, chị L. thấy thường xuyên đau bụng dưới nên đã đến khám tại BV Sản Nhi Nghệ An.

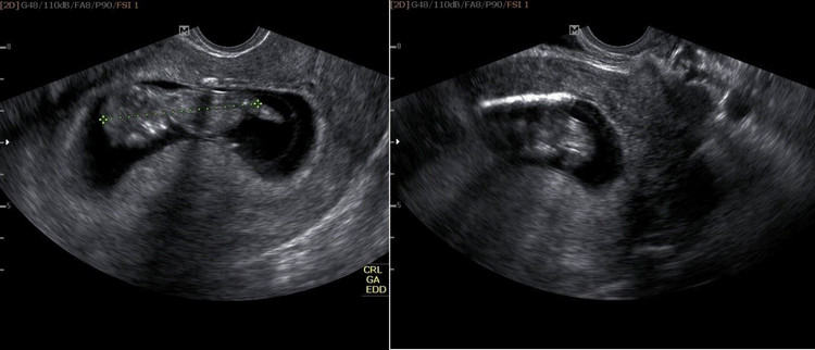
Các bác sĩ phát hiện chị đang có thai tương đương 12 tuần. Hình ảnh siêu âm cho thấy, nằm sát buồng ối là hình ảnh vòng tránh thai, ngay đoạn eo tử cung, nguy cơ gây sẩy thai rất cao.

vong-tranh-thai-1.jpg
Hình ảnh vòng tránh thai nằm sát buồng ối của thai nhi

Do nguyện vọng của thai phụ và gia đình, các bác sĩ đã lấy vòng tránh thai ra mà không gây tổn hại tới thai nhi. Sau đó một ngày, chị L. được siêu âm tại Trung tâm chẩn đoán trước sinh và sơ sinh. 

BSCKI. Nguyễn Thị Phương Lâm – trưởng khoa KHHGĐ cho biết, trong vòng hơn một năm, khoa KHHGĐ – BV Sản Nhi Nghệ An đã tiếp nhận gần chục trường hợp có thai ngoài ý muốn, dù đã đặt dụng cụ tử cung tránh thai trước đó. Nguyên nhân việc đặt vòng mà vẫn có thai có thể do: kích thước của tử cung và kích cỡ vòng tránh thai không phù hợp, vòng bị rơi ra mà không biết, vòng bị tuột... Đáng tiếc là có những trường hợp phát hiện muộn, khi tuổi thai đã lớn, vào viện khi dụng cụ tử cung đã gây vỡ màng ối, nhiễm trùng tử cung, thai non tháng nên không thể giữ thai thêm.

Dùng biện pháp ngừa thai nào cũng đều có tỷ lệ tác dụng phụ và tai biến nhất định, do đó chị em nên chọn cơ sở y tế có uy tín và thăm khám định kỳ theo lịch hẹn của bác sĩ để kịp thời phát hiện sớm các bất thường hay tai biến có thể xảy ra.

back to top