Vòng tránh thai được nhiều chị em phụ nữ lựa chọn nhờ hiệu quả tránh thai cao, chi phí hợp lý, thời hạn sử dụng lâu dài và có thể tháo ra bất cứ lúc nào.
Vòng tránh thai có niên hạn sử dụng là 5 năm. Vì thế sau 5 năm chị em phải tháo vòng đặt lại. Trong thời gian đặt vòng phải thường xuyên kiểm tra định kỳ để tránh viêm nhiễm và vòng tránh thai lạc chỗ gây nguy hiểm.
Bé trai nặng 3,8 kg chào đời tại Bệnh viện Phụ Sản Hà Nội cùng với chiếc vòng tránh thai trong tử cung của người mẹ. Đủ các kiểu biến chứng nguy hiểm khi phụ nữ "quên" lấy vòng tránh thai nên chị em cần chú ý.
Rất nhiều biến chứng có thể xảy ra do vòng tránh thai. Khi vòng tránh thai lạc có thể gây tắc ruột, hoại tử ruột, nhiễm khuẩn tiết niệu...nên cần chú ý.
Chỉ trong 1 tuần, bệnh viện sản Nhi Nghệ An đã phẫu thuật thuật hai trường hợp vòng tránh thai đâm xuyên thành tử cung vào thành đại tràng Sigma. Đây là một biến chứng nguy hiểm tính mạng chị em cần chú ý phát hiện sớm.
Người phụ nữ 60 tuổi ở Hà Nội đến bệnh viện tuyến huyện để tháo vòng tránh thai sau 20 năm nhưng thất bại. Sau đó, người này lên tuyến trên và được các bác sĩ đã lấy ra được chiếc vòng nằm bọc trong khối u xơ tử cung.
Các bác sĩ bệnh viện Sản nhi Nghệ An vừa tiến hành lấy vòng tránh thai thành công cho thai phụ mang thai 12 tuần. Thai phụ đi khám vì đau bụng dưới bất ngờ phát hiện mang thai 12 tuần trong khi đang đặt vòng.
(khoahocdoisong.vn) - Những phụ nữ có đặt vòng tránh thai không nên làm việc nặng nhọc, phải di chuyển liên tục. Đặc biệt, không nên chơi các môn thể thao như chạy bộ, bóng đá, bóng chuyền…
(khoahocdoisong.vn) - Vòng tránh thai thế hệ mới chứa nội tiết (IUS) ngoài tác dụng tránh thai, nó còn được sử dụng như là phương pháp điều trị duy trì đối với những trường hợp rong kinh rong huyết, cường kinh, bảo vệ nội mạc...
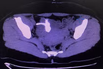
(khoahocdoisong.vn) - Bệnh nhân N.T.N. (60 tuổi, Hà Nội) bị đau bụng nhiều hạ sườn trái, đại tiện táo và co thắt khoảng 4 ngày trước khi vào viện. Bệnh nhân đến Bệnh viện T.Ư Quân dội 108 thăm khám, chụp X-quang và được các bác sĩ phát hiện dị vật hình chữ T nằm trong lòng đại tràng, xuyên thủng đại tràng.
(khoahocdoisong.vn) - Vòng tránh thai có niên hạn sử dụng là 5 năm. Vì thế sau 5 năm chị em phải tháo vòng đặt lại. Trong thời gian đặt vòng phải thường xuyên kiểm tra định kỳ để tránh viêm nhiễm và vòng tránh thai lạc chỗ gây nguy hiểm.