Sức khoẻ 360

Lấy tăm ngậm xuyên vào gan cho người bệnh 65 tuổi

Dị vật sau khi nuốt vào có thể đã xuyên qua thành ống tiêu hóa, di chuyển âm thầm vào nhu mô gan, gây nhiễm trùng khu trú và hình thành ổ áp xe.

Bệnh viện Chợ Rẫy điều trị nhiều trường hợp dị vật xuyên qua ống tiêu hóa gây áp xe tại các cơ quan trong ổ bụng, trong đó có gan.

Ngày 4/2/2026, sau thời gian điều trị vì dị vật tăm xỉa răng rơi vào gan, sức khỏe của bệnh nhân N.V.T, 65 tuổi ngụ TP HCM đã ổn định và được xuất viện.

ngam-tam-5.jpg
Hình ảnh dị vật tăm trong gan bệnh nhân - Ảnh BVCC

Trước đó, bệnh nhân đến bệnh viện khám vì sốt kéo dài không rõ nguyên nhân, đau vùng thượng vị và hạ sườn phải. Bác sĩ CKII Mã Phước Nguyên – Phó Trưởng khoa Nội Tiêu hóa, Bệnh viện Chợ Rẫy cho biết, theo người nhà bệnh nhân thì các triệu chứng này đã xuất hiện khoảng 1 tháng trước đó.

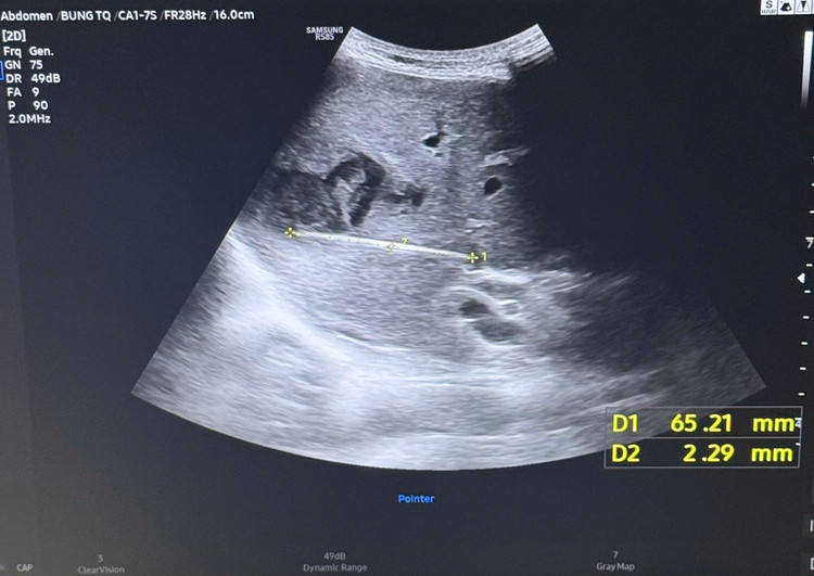
Bệnh nhân từng thăm khám và điều trị tại nhiều cơ sở y tế nhưng chưa xác định được nguyên nhân. Qua khám lâm sàng và tiến hành siêu âm bụng, các bác sĩ ghi nhận hình ảnh ổ áp xe gan, tuy nhiên, điểm bất thường là ổ áp xe nằm khá sâu, biểu hiện không điển hình. Vì vậy, bệnh nhân được chỉ định nhập viện để làm thêm các cận lâm sàng chuyên sâu.

ngam-tam-6.jpg
ngam-tam-4.jpg
Hình ảnh dị vật trên phim chụp - Ảnh BVCC

Khi tiến hành siêu âm kỹ hơn, ê-kíp phát hiện một dị vật cản quang xuyên trong nhu mô gan, chiều dài ước tính khoảng 6-7cm. Ngay sau đó, bệnh nhân được chỉ định chụp cắt lớp vi tính (CT scan) ổ bụng.

Kết quả cho thấy có một dị vật dạng que dài nằm hoàn toàn trong nhu mô gan, kèm theo ổ áp xe sâu. Trước nguy cơ biến chứng nặng nếu không điều trị kịp thời, ê-kíp khoa Nội tiêu hóa đã nhanh chóng hội chẩn cùng khoa Ngoại Gan Mật Tụy, thống nhất phương án phẫu thuật lấy dị vật, dẫn lưu ổ áp xe, kết hợp điều trị kháng sinh phù hợp.

ngam-tam-3.jpg
Hình ảnh dị vật gây ổ áp xe trong gan - Ảnh BVCC

Chia sẻ về sự phức tạp của ca bệnh này, ThS BS Trần Đình Quốc, Khoa Ngoại Gan Mật Tụy cho biết, ca phẫu thuật gặp nhiều khó khăn do ổ áp xe nằm sâu trong nhu mô gan, vị trí gần cơ hoành và các mạch máu lớn.

Ban đầu dự kiến sẽ tiến hành phẫu thuật nội soi cho bệnh nhân nhưng buộc phải chuyển phương pháp mổ để có thể tiếp cận an toàn, xử lý ổ áp xe và lấy dị vật. Thời gian phẫu thuật vì vậy cũng kéo dài gấp đôi so với các ca áp xe gan thông thường.

“Dị vật được lấy ra là một cây tăm tre xỉa răng. Điều đáng nói là cả bệnh nhân lẫn người nhà đều không nhớ rõ thời điểm người bệnh nuốt phải dị vật. Chỉ khi khai thác kỹ tiền sử sinh hoạt, mới biết bệnh nhân có thói quen thường xuyên ngậm tăm tre sau khi ăn.

Dị vật sau khi nuốt vào có thể đã xuyên qua thành ống tiêu hóa (nhiều khả năng là dạ dày hoặc tá tràng), di chuyển âm thầm vào nhu mô gan, gây nhiễm trùng khu trú và hình thành ổ áp xe. Do diễn tiến chậm và triệu chứng không điển hình, nhiều trường hợp chỉ được phát hiện khi biến chứng đã hình thành.

Hiện tại, sau phẫu thuật khoảng 6 ngày, tình trạng sức khỏe bệnh nhân diễn tiến thuận lợi, đáp ứng tốt với điều trị và xuất viện”, ThS BS Trần Đình Quốc cho biết.

ngam-tam.jpg
Bác sĩ trao đổi với bệnh nhân trước khi ra viện - Ảnh BVCC

Theo các chuyên gia, dị vật đường tiêu hóa là tình trạng không hiếm gặp. Trong thời gian qua, Bệnh viện Chợ Rẫy đã tiếp nhận và điều trị nhiều trường hợp dị vật xuyên qua ống tiêu hóa gây áp xe tại các cơ quan trong ổ bụng, trong đó có gan. Trước đây, dị vật thường gặp nhất là xương cá, tuy nhiên, gần đây ghi nhận ngày càng nhiều trường hợp do dị vật khác như tăm tre...

Đặc biệt, trường hợp dị vật nằm hoàn toàn trong nhu mô gan như ca bệnh này là tương đối hiếm.

Thông qua trường hợp này, các bác sĩ khuyến cáo người dân nên thay đổi những thói quen sinh hoạt tưởng chừng nhỏ và vô hại. Cụ thể, không ngậm tăm tre sau khi xỉa răng và cần vứt bỏ ngay sau khi sử dụng.

Bên cạnh đó, khi nghi ngờ đã nuốt dị vật, người dân cần đến ngay cơ sở y tế để được thăm khám, chẩn đoán và xử trí kịp thời.

Đặc biệt, cần đi khám sớm nếu xuất hiện các dấu hiệu bất thường như sốt kéo dài không rõ nguyên nhân, đau bụng âm ỉ, đau vùng hạ sườn phải… để tránh bệnh diễn tiến nặng và gây biến chứng nguy hiểm.

back to top