Ngày 24/12, tại phòng khám khoa Tai Mũi Họng BV Nhi Đồng 1 (TP HCM) tiếp nhận bệnh nhân nam, sinh năm 2008 tại tỉnh Phú Yên đến khám vì lý do ho kéo dài đã chữa trị nhiều nơi không khỏi.
Khoảng 7-8 năm trước, cậu bé lấy kèn từ chiếc giày trẻ em ra thổi. Bất ngờ bạn đến vỗ vào lưng và làm cậu bé sặc kèn nhưng không bị khó thở, tím tái, đi khám và chụp X-quang kiểm tra không thấy bất thường, bác sĩ cho rằng dị vật sẽ theo đường tiêu hóa ra ngoài nên không can thiệp gì.
Suốt 7-8 năm nay, bé vẫn thở bình thường, không khó thở hoặc viêm phổi, lâu lâu bị ho và mua thuốc về uống tự hết.
Cách nay hơn 1 tháng, bé bỗng nhiên ho nhiều hơn và người nhà đưa bé đến khám tại nhiều bệnh viện chuyên khoa tại TP HCM, chụp Xquang, CT ngực, thậm chí điều trị lao nhưng tình trạng vẫn không cải thiện, bé ho nhiều, XQ phổi không giảm.
Thời gian sau bé về quê khám tại BV chuyên lao và bệnh phổi Bình Định, tại đây chụp CT Scan phổi lại nghi dị vật đường thở nên người nhà xin chuyển BV Nhi Đồng 1 nội soi đường thở.
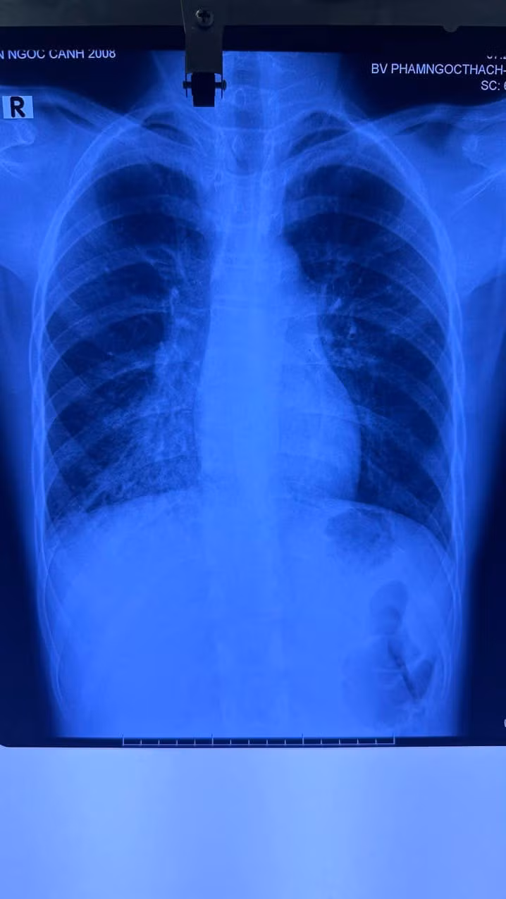
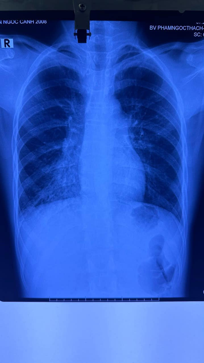
![]() |
| Một số hình ảnh phim Xquang, CT ngực, hình qua nội soi đường thở và dị vật gắp được |
Ngày 25/12, ekip phẫu thuật của khoa Tai Mũi Họng BV Nhi đồng 1 đã sẵn sàng cho ca dị vật khó và hy hữu này, vì đây là 1 trường hợp dị vật nằm trong phổi quá lâu và rất sâu ở phế quản hạ phân thùy phổi bên phải.
Khi nội soi vào đường thở để xác định vị trí của dị vật, phẫu thuật viên gặp khó khăn trong việc tiếp cận dị vật do dụng cụ nội soi không đủ độ dài để xuống sâu phế quản hạ phân thùy phôi, đồng thời mô hạt mọc rất nhiều tạo thành 1 khối mô chắc che dị vật.
![]() |
Ngoài ra, máu chảy nhiều vào lòng đường thở gây không ít khó khăn cho việc quan sát của phẫu thuật viên cũng như cho việc gây mê bé. Ekip phẫu thuật trải qua hơn 90 phút vừa phải cầm máu, vừa ổn định gây mê, đảm bảo đường thở cho bệnh nhân rất nhiều lần để tiếp tục tìm cách tiếp cận dị vật qua nội soi.
Sau nhiều nỗ lực soi, ekip đã thấy được dị vật, nhưng một lần nữa vị trí dị vật là 1 thử thách cho phẫu thuật viên. Các Bác sĩ đã sử dụng kỹ thuật “4 hands”, tức 2 Bác sĩ sẽ phụ nhau cùng soi và gắp cùng lúc. Sau lần đầu thất bại, đã thành công trong lần thứ 2 lấy được dị vật ra khỏi đường thở nội soi lại đường thở khá ổn định, không còn chảy máu.
Hậu phẫu đến nay bé có thể ăn uống, sinh hoạt bình thường trở lại.
TS.BS Phú Quốc Việt (Phó Trưởng khoa Tai Mũi Họng, Bệnh viện Nhi Đồng 1)

