1 tuần tình cờ phát hiện 3 người ung thư thận
Mới đây, các bác sĩ Bệnh viện đa khoa tỉnh Quảng Ninh vừa thực hiện thành công ca nội soi cắt thận bán phần, giúp bệnh nhân thoát khỏi căn bệnh ung thư thận nguy hiểm. Bệnh nhân là H.T.P (59 tuổi) ở phường Hồng Hải, TP Hạ Long vô tình phát hiện khối u thận trái sau đợt khám tăng huyết áp định kỳ.
![]() |
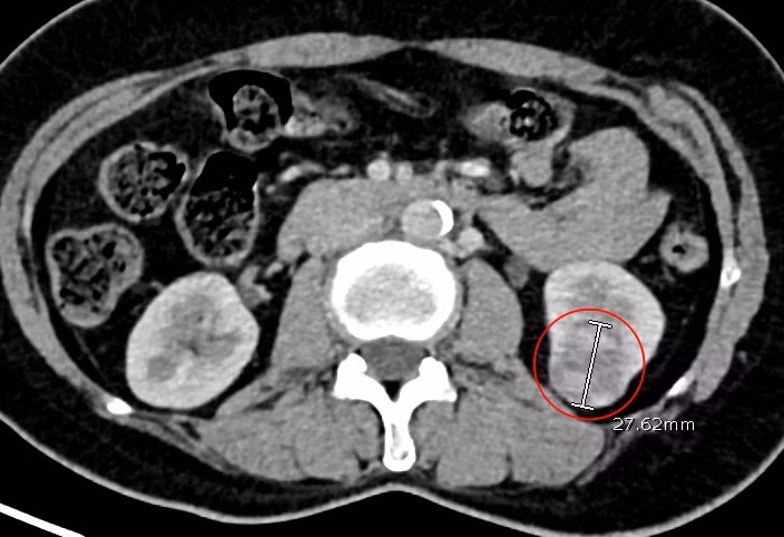
| Hình ảnh khối u thận ác tính của bệnh nhân Ph. qua phim chụp cắt lớp vi tính - Ảnh BVCC |
Kết quả siêu âm phát hiện u thận trái kích thước gần 30 mm, được chỉ định chụp cắt lớp vi tính xác định bản chất u. Hội chẩn đánh giá đây là ung thư tế bào thận trái, giai đoạn sớm còn khu trú trong thận, chưa xâm lấn di căn, vì vậy các bác sĩ chỉ định phẫu thuật nội soi cắt thận bán phần, giúp người bệnh thoát khỏi căn bệnh hiểm nghèo.
![]() |
| Kíp mổ khoa Ngoại thực hiện phẫu thuật nội soi cắt thận bán phần điều trị cho bệnh nhân ung thư thận. - Ảnh BVCC |
Kíp mổ khoa Ngoại phối hợp khoa Gây mê hồi sức thực hiện. Phẫu thuật viên tiến hành rạch các đường nhỏ vùng thắt lưng trái, bộc lộ thận, niệu quản trái kiểm tra có khối u kích thước gần 3cm.
Kíp mổ khéo léo phẫu tích bộc lộ cuống mạch thận trái và kẹp mạch bằng dụng cụ chuyên dụng, sau đó tiếp tục nội soi cắt bán phần thận trái chứa u kèm toàn bộ tổ chức mỡ quanh u.
Sau 2 tiếng phẫu thuật, ca mổ diễn ra thành công, bệnh nhân mất ít máu do quá trình bóc tách tỉ mỉ, bảo tồn thận trái tối đa cho người bệnh.
![]() |
| Phần thận chứa khối u và tổ chức mỡ xung quanh được nội soi lấy ra thành công - Ảnh BVCC |
Kết quả giải phẫu bệnh sau mổ với diện cắt và tổ chức mỡ quanh u không có tế bào ung thư, chẩn đoán xác định là ung thư biểu mô tế bào sáng. Với vết mổ nhỏ ít xâm lấn, sức khoẻ bệnh nhân tiến triển tích cực, xuất viện sau 1 tuần điều trị.
Phấn khởi trên giường bệnh, bà P. chia sẻ: “ Bị bệnh ung thư nguy hiểm nhưng tôi thấy phẫu thuật nhẹ nhàng, không đau nhiều, vết thương lành nhanh. Bác sĩ trẻ nhưng chuyên môn tốt, tư vấn tận tình, điều dưỡng chăm sóc chu đáo, cẩn thận. Bản thân cảm thấy mình thực sự đúng đắn khi điều trị tại đây”.
Trong tuần qua, khoa Ngoại – Bệnh viện Đa khoa tỉnh tiếp nhận điều trị 3 trường hợp ung thư thận. Trong đó có trường hợp của bệnh nhân P. được phát hiện bệnh ở giai đoạn sớm, nhờ đó có thể điều trị bằng phương pháp phẫu thuật cắt thận bán phần.
Khác với mổ mở truyền thống gây đau đớn, mất nhiều máu, phẫu thuật nội soi sử dụng các dụng cụ chuyên dụng qua các đường rạch nhỏ trên cơ thể, bác sĩ thực hiện các thao tác cắt, khâu nối phức tạp với độ chính xác cao, đảm bảo điều trị triệt căn ung thư, hạn chế tổn thương mô, bảo tồn tối đa phần thận lành, giảm thiểu biến chứng nguy hiểm, giúp người bệnh ít đau đớn, hồi phục nhanh chóng.
![]() |
| Bác sĩ CKI Trần Trung Hội thăm khám lại cho người bệnh trước khi xuất viện - Ảnh BVCC |
Siêu âm ổ bụng ít tốn kém có thể phát hiện ra bệnh
Bác sĩ CKI Trần Trung Hội, khoa Ngoại, Bệnh viện Đa khoa tỉnh Quảng Ninh, cho biết: “Phẫu thuật nội soi cắt thận bán phần trong điều trị ung thư thận là một trong kỹ thuật khó trong chuyên ngành phẫu thuật ngoại tiết niệu.
Quá trình phẫu thuật, kíp mổ đã chủ động phẫu tích thắt các mạch lớn nuôi u để hạn chế tối đa nguy cơ mất máu và tai biến trong mổ, đồng thời nỗ lực phẫu tích tỉ mỉ đảm bảo lấy trọn vẹn khối u ra ngoài nhưng vẫn bảo tồn tối đa thận trái cho người bệnh.
Việc cắt một phần thận chứa u để giữ tối đa phần thận lành cho người bệnh có ý nghĩa rất lớn, đảm bảo chức năng thận, giúp bệnh nhân duy trì một cuộc sống chất lượng về sau.
Đây là phương pháp tiên tiến trong điều trị ung thư thận, đặc biệt ở giai đoạn sớm khi khối u còn khu trú, có khả năng triệt căn ung thư, người bệnh sẽ khỏi lâu dài và mang lại chất lượng cuộc sống sau mổ tốt hơn.
Trường hợp của bệnh nhân P. là minh chứng điển hình. Nhờ việc chủ động thăm khám và kiểm tra sức khỏe định kỳ, mà người bệnh được phát hiện ung thư ở giai đoạn sớm, vì vậy chúng tôi có thể ứng dụng hiệu quả kỹ thuật mới này cho người bệnh”.
Bác sĩ Hội nhấn mạnh, ung thư thận thường phát triển âm thầm, khó nhận biết ở giai đoạn đầu. Hầu hết các trường hợp ung thư thận đều được phát hiện tình cờ khi bệnh nhân kiểm tra sức khỏe tổng quát.
Số còn lại chỉ được phát hiện khi bệnh đã đến giai đoạn tiến triển, bắt đầu có triệu chứng như: đau nhiều vùng thắt lưng kèm thường xuyên tiểu ra máu hoặc sờ thấy khối u vùng bụng. Khi đó việc can thiệp điều trị khó khăn, tiên lượng khỏi bệnh kém.
Vì vậy, bác sĩ khuyến cáo người dân nên kiểm tra sức khỏe định kỳ và siêu âm ổ bụng là kỹ thuật đơn giản, ít tốn kém có thể giúp phát hiện u thận giai đoạn sớm, từ đó giúp việc điều trị hiệu quả, chất lượng cuộc sống tốt hơn. Khi có những triệu chứng bất thường về hệ tiết niệu, người dân cần đến khám, kiểm tra tại các cơ sở y tế chuyên khoa để được chẩn đoán và xử trí kịp thời.
Bệnh viện Đa khoa tỉnh Quảng Ninh là một trong số ít đơn vị trên địa bàn triển khai thường quy phẫu thuật nội soi cắt thận bán phần trong điều trị ung thư thận.
Phương pháp phẫu thuật ít xâm lấn này góp phần tối ưu hóa hiệu quả trong điều trị, tạo bước đột phá trong điều trị ung thư hệ tiết niệu, qua đó giúp người dân không may mắc phải căn bệnh hiểm nghèo được điều trị bằng kỹ thuật hiện đại ngay tại tuyến tỉnh, không phải lên tuyến trung ương, giúp giảm chi phí, mang đến cơ hội sống tốt hơn cho người bệnh.



