Sức khoẻ 360

Học theo phim ảnh, trẻ nhét thanh sắt hơn nửa mét vào hậu môn

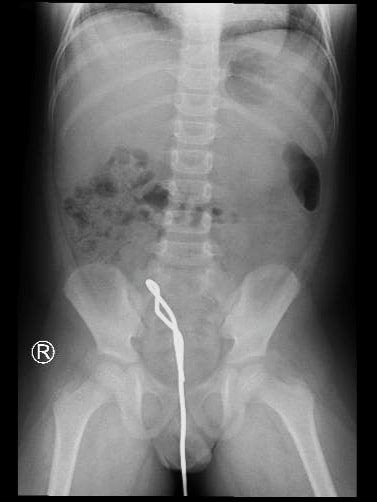
Bé trai 6 tuổi (Cần Giuộc, Long An) tiền căn thích nhét đồ vào hậu môn. Cách nhập viện 2 giờ, em vào nhà vệ sinh nhét thanh sắt thông cống vào hậu môn nhưng không rút ra được.

BS Nguyễn Thị Cẩm Xuyên và ekip bác sĩ của Bệnh viện Nhi đồng Thành phố đã khẩn trương nội soi ổ bụng thám sát thấy đoạn ruột sigma bị bầm máu, chưa thấy thủng ruột. Thăm hậu môn thấy cái cạnh sắt ghim chặt vào thành sau trực tràng.

nhet-cay-thong-cong.jpg
Cách nhập viện 2 giờ, em vào nhà vệ sinh nhét thanh sắt thông cống vào hậu môn nhưng không rút ra được.

Kết hợp ngả bụng và hậu môn lấy thanh sắt ra ngoài theo ngả hậu môn. Sau mổ, bệnh nhi đang được ổn định sức khoẻ, thăm khám tâm lý, đang nhịn ăn theo dõi tiếp diễn tiến chảy máu hoặc thủng xước đường ruột.

Theo lời kể từ phụ huynh, em có thói quen bắt chước phim ảnh, còn tập cho em trai 1,5 tuổi tập nhét đồ theo mình nữa.

BSCKI Nguyễn Cát Phương Vũ, Bệnh viện Nhi đồng Thành phố, khuyến cáo thêm, trong lúc chơi đùa một mình, trẻ nhỏ thường tò mò tự khám phá bản thân bằng cách nhét dị vật (là những hạt, đồ chơi...) vào tai - mũi - họng, kể cả “chỗ kín” của mình.

hinh-anh-di-vat-dam-vao-hau-mon.jpg
Cạnh sắt của cây thông cống ghim chặt vào thành sau trực tràng.
cay-thong-cong.jpg
Cây thông cống đã được lấy ra khỏi hậu môn của cậu bé 6 tuổi

Đây là một vấn đề nghiêm trọng mà các bậc cha mẹ cần lưu ý. Một dị vật trong bất kì nơi nào của bé có thể gây nhiễm trùng và tổn thương lâu dài, thậm chí thủng loét bỏng nếu sắc nhọn, chứa hoá chất..

Phụ huynh nên rà soát xem tất cả đồ chơi trong nhà có phù hợp với lứa tuổi của bé hay không, luôn luôn phải quan sát cẩn thận trong lúc bé chơi đùa, kiểm soát hành vi và văn hoá phẩm, thiết bị học tập giải trí mà con trẻ tiếp cận khám phá.

Cách tốt nhất là phụ huynh nên dạy bé nhận thức được việc nhét đồ vật vào bất kì lỗ cơ thể là việc xấu, và ngăn chặn, đưa con thăm khám tâm lý sớm nếu thấy có dấu hiệu bất thường.

back to top