Sức khoẻ 360

Hành trình giành sự sống cho người bệnh ung thư gan 'tiên lượng 9 tháng'

Đây còn là lời cảnh báo rõ ràng về sự nguy hiểm của việc lơ là theo dõi các bệnh lý gan mạn tính.

Tại Trung tâm Phẫu thuật Gan mật - Tiêu hóa – Bệnh viện Bệnh Nhiệt đới Trung ương, các bác sĩ vừa ghi nhận một hành trình hồi sinh đặc biệt của bệnh nhân ung thư gan giai đoạn muộn.

Không chỉ là ca bệnh nặng với hàng loạt biến chứng phức tạp, đây còn là lời cảnh báo rõ ràng về sự nguy hiểm của việc lơ là theo dõi các bệnh lý gan mạn tính.

Chủ quan viêm gan B khiến ung thư nặng nề

Bệnh nhân N.V.T (trú tại Hà Nội) bắt đầu bằng những dấu hiệu mơ hồ như mệt mỏi, ăn uống kém và sút cân vào tháng 7/2023. Trước đó một tháng, dù cơ thể đã có những phản ứng bất thường, nhưng ông T. chỉ nghĩ do đi lại nhiều nên chủ quan không đi khám.

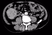
Khi kiểm tra, kết quả khối u gan đã đạt kích thước khổng lồ 10–12 cm. Tại một số cơ sở y tế, ông từng nhận được tiên lượng thời gian sống còn lại có thể không quá 9 tháng.

ung-thu-gan-2.jpg
Khối u gan kích thước khổng lồ và người bệnh được chẩn đoán ung thư gan giai đoạn muộn - Ảnh BVCC

Điều đáng nói, qua khai thác bệnh sử, ông T. đã biết mình mắc viêm gan B từ trước. Tuy nhiên, do có thời điểm virus ở thể không hoạt động, ông nảy sinh tâm lý chủ quan, nghĩ rằng bệnh đã "ổn định" nên bỏ qua việc theo dõi định kỳ. Chính sự lơ là này đã tạo điều kiện cho các tế bào ác tính âm thầm xâm chiếm cơ thể mà không hề có dấu hiệu cảnh báo rõ ràng.

Theo BSCKII Nguyễn Trường Giang, Phó Giám đốc Trung tâm Phẫu thuật Gan mật - Tiêu hóa, ngay khi tiếp nhận, đây đã là một ca bệnh rất nặng. Khối u khổng lồ chiếm gần hết nhu mô gan, chèn ép rốn gan và tĩnh mạch, gây ra tình trạng cổ chướng nhẹ và phù hai chân.

Các bác sĩ đã quyết định tiến hành cuộc đại phẫu cắt gan trung tâm kéo dài gần 8 giờ. Tuy nhiên, sau mổ, bệnh nhân xuất hiện biến chứng rò mật và hẹp tắc đường mật phân thùy sau.

ung-thu-gan.jpg
Bác sĩ thăm khám cho người bệnh - Ảnh BVCC

Ê - kíp đã nỗ lực đặt dẫn lưu đường mật qua da nhưng không thể can thiệp đặt stent xuống ống mật chủ. Đồng thời, tình trạng nhiễm trùng đường mật diễn biến nặng với vi khuẩn đa kháng thuốc kèm theo suy gan, khiến quá trình điều trị kéo dài với diễn biến vô cùng phức tạp.

Suốt 5 tháng tiếp theo là giai đoạn khó khăn nhất. Dịch mật rò rỉ liên tục khiến cơ thể suy kiệt, cân nặng của ông sụt giảm từ 57kg xuống chỉ còn 38kg. Những cơn sốt cao 39–40 độ kéo dài liên miên khiến người bệnh kiệt sức, phải điều trị bằng kháng sinh mạnh.

Trong lúc tình trạng đang rất mong manh, gia đình cho bệnh nhân sử dụng thuốc Nam không rõ nguồn gốc theo mách bảo. Hậu quả là bệnh nhân bị biến chứng xuất huyết tiêu hóa, buộc phải cấp cứu khẩn cấp, làm gián đoạn nghiêm trọng quá trình hồi phục.

Không bỏ cuộc, đến tháng 12/2023, khi thể trạng ổn định, các bác sĩ quyết định phẫu thuật lần hai để xử lý triệt để nguồn rò mật và ổ nhiễm trùng. Trong quá trình điều trị, bệnh nhân tiếp tục phát hiện thêm hai khối u tái phát – một đặc điểm thường gặp của ung thư giai đoạn muộn. Bằng sự phối hợp đa chuyên khoa giữa phẫu thuật, nút mạch và đốt u cao tần, các tổn thương dần được kiểm soát.

ung-thu-gan1.jpg

Phát hiện sớm viêm gan B có thể kiểm soát ung thư gan

Theo BSCKII Nguyễn Trường Giang, đây là một trường hợp điển hình của ung thư gan phát hiện muộn với quá trình điều trị kéo dài, nhiều biến chứng và đòi hỏi sự phối hợp chặt chẽ giữa nhiều chuyên ngành. Nếu bệnh nhân được phát hiện và theo dõi viêm gan B từ sớm và đều đặn, nguy cơ tiến triển thành ung thư gan hoàn toàn có thể được kiểm soát.

Sau gần 3 năm kiên cường chiến đấu, hiện tại tình trạng của ông T. đã ổn định, cân nặng phục hồi và các chỉ số ung thư được kiểm soát. Kết quả này là sự tổng hòa của phác đồ điều trị bài bản, sự kiên trì của người bệnh và sự đồng hành của gia đình.

ung-thu-gan-5.jpg
Bệnh nhân hiện tại đã ổn định, cân nặng lên 58 ký - Ảnh BVCC

"Viêm gan B và ung thư gan thường diễn tiến không triệu chứng. Việc tầm soát định kỳ là "chìa khóa" sống còn, người bệnh tuyệt đối không được tự ý dùng thuốc không rõ nguồn gốc, tránh để lại những hệ lụy đau lòng khi bệnh đã ở giai đoạn quá muộn", các bác sĩ Bệnh viện Bệnh Nhiệt Đới Trung ương khuyến cáo.

>>> Mời quý độc giả theo dõi video: Novaland tuyên bố thoát khủng hoảng, đặt mục tiêu doanh thu tăng gấp 3 lần trong năm 2026

back to top