Hành trình giành sự sống cho người bệnh ung thư gan 'tiên lượng 9 tháng'
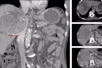
Đây còn là lời cảnh báo rõ ràng về sự nguy hiểm của việc lơ là theo dõi các bệnh lý gan mạn tính.
Đây còn là lời cảnh báo rõ ràng về sự nguy hiểm của việc lơ là theo dõi các bệnh lý gan mạn tính.