Mới đây, Bệnh viện Trẻ em Hải Phòng thông tin về ca cấp cứu thành công cho bệnh nhi 11 tuổi hóc dị vật đường tiêu hóa bằng phương pháp nội soi gây mê.
Cụ thể, bệnh nhi 11 tuổi (Lê Chân, Hải Phòng),trong quá trình uống nước đã nuốt hàm duy trì tháo lắp có cấu tạo gồm miếng nhựa và dây kim loại để cố định răng sau niềng bị rơi ra.
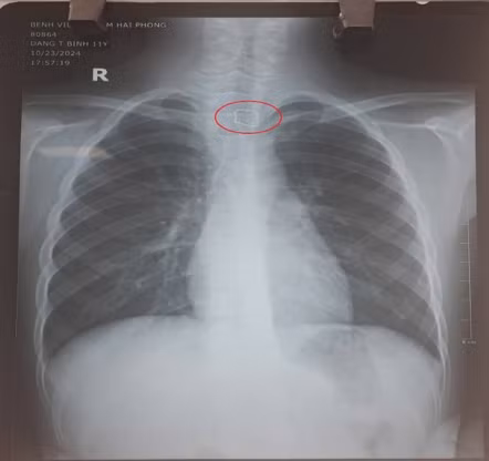
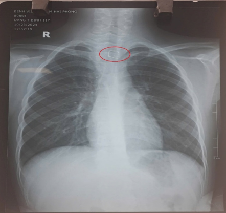
![]() |
| Hình ảnh XQ dị vật trong đường tiêu hoá. Ảnh BVCC |
Theo lời kể của gia đình, sau nuốt cháu rất khó chịu, đau nhiều vùng cổ, buồn nôn và đau tức ngực.
Qua kết quả cận lâm sàng, các bác sĩ phát hiện một vật cản quang, được xác định là dây kim loại nằm tại vị trí thực quản đoạn cổ. Ngay sau đó, bệnh nhi được gây mê và nội soi khẩn cấp, gắp chiếc hàm duy trì kích thước gần 3 cm ra khỏi đoạn 1/3 trên của thực quản một cách an toàn. Sau quá trình nội soi, sức khỏe của cháu bé đã ổn định.
![]() |
| Hình ảnh dị vật là hàm duy trì đã được bác sĩ xử trí kịp thời. Ảnh BVCC |
Các bác sĩ khuyến cáo việc nuốt phải các vật liệu và dụng cụ trong quá trình chỉnh nha là một trong những sự cố hiện nay không quá hiếm gặp, đặc biệt các trẻ em và người già. Việc nuốt phải dị vật này gây hậu quả rất nghiêm trọng như: tổn thương niêm mạc hầu họng và đường tiêu hoá, suy hô hấp, xuất huyết tiêu hoá.
Vì vậy trong quá trình chỉnh nha khoa cần được thăm khám định kỳ và tái khám lại ngay khi thấy dấu hiệu bất thường để tránh các sự cố gây nguy hiểm đến tính mạng. Khi phát hiện trẻ nuốt dị vật cần nhanh chóng đưa trẻ tới cơ sở y tế để được xử trí kịp thời.

