Quá trình niềng răng có thể xem là một dấu mốc cho sự thay đổi diện mạo nụ cười của bạn. Để có bộ răng đẹp, không thể bỏ qua chăm sóc răng miệng sau niềng răng.
Nhiều người khi niềng răng mắc phải những sai lầm đáng tiếc, không chỉ gây ảnh hưởng đến kết quả mà còn tiềm ẩn nguy cơ tổn hại đến sức khỏe răng miệng.
Nhiều loại dị vật có thể đi vào đường tiêu hóa (GI) một cách vô tình hoặc cố ý. Nhiều dị vật tự đi qua ống tiêu hóa, nhưng một số bị dừng lại, gây nên các triệu chứng và đôi khi gây các biến chứng.
Khi sử dụng niềng răng, thức ăn dễ mắc kẹt ở dây, mắc cài, kẽ răng hơn. Đặc biệt, cần tránh những loại thực phẩm sau để đảm bảo niềng răng không làm tổn thương răng lợi.
Niềng răng cần kiêng gì không phải là điều bất kỳ ai cũng đều nắm rõ. Để chắc chắn quá trình chỉnh nha có thể diễn ra suôn sẻ và thành công, đây chính là vấn đề hàng đầu mà người niềng răng cần phải để tâm đến.
Ngày hội tư vấn Invisalign - Ứng dụng phương pháp niềng răng trong suốt cho người lớn và niềng răng trẻ em độ tuổi thay răng do Elite Dental - Trung tâm Nha khoa Thẩm mỹ và Chỉnh nha 75 Huỳnh Tịnh Của, phường Võ Thị Sáu, quận 3, TPHCM tổ chức ngày 22/5.
(khoahocdoisong.vn) - Sau khi niềng răng, việc ăn uống cần thận trọng hơn. Ăn xong nên lấy bàn chải nhỏ làm sạch các kẽ răng, trong quá trình làm sạch hoặc quá trình nhai, nếu mắc cài bị bung hay tuột thì không nên tự tháo gỡ, mà lấy bông hoặc sáp nha khoa đặt vào, ngăn ngừa tổn thương vùng miệng sau đó đến phòng nha để bác sĩ chỉnh sửa và kéo lại cho cân đối.
(khoahocdoisong.vn) - Càng niềng răng thì càng phải giữ vệ sinh răng miệng. Tuần đầu tiên sau niềng răng nên ăn những loại thực phẩm mềm như cháo, súp, sữa để tránh gây tổn thương, lệch hay đứt niềng răng.
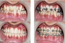
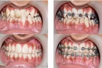
Niềng răng (hay còn gọi là nẹp răng) là phương pháp khắc phục tình trạng răng thưa, hô, móm, lệch lạc. Tuy nhiên, niềng răng thế nào cho đúng và ở độ tuổi nào là thích hợp…