Không nên chủ quan với triệu chứng đau nửa đầu
Theo thông tin từ Bệnh viện Đa khoa Medlatec, bà N.T.T 65 tuổi, (Gia Lâm, Hà Nội) đến bệnh viện thăm khám với triệu chứng đau nửa đầu trái, kèm theo có rối loạn giấc ngủ.
Qua thăm khám lâm sàng, bệnh nhân tỉnh táo và không có các dấu hiệu bất thường. Với triệu chứng đau nửa đầu, bác sĩ khoa thần kinh nghi ngờ bệnh nhân mắc phình mạch máu não hoặc dị dạng mạch máu não… Vì vậy, bác sĩ đã chỉ định bệnh nhân chụp cộng hưởng từ não để chẩn đoán chính xác hơn.
![]() |
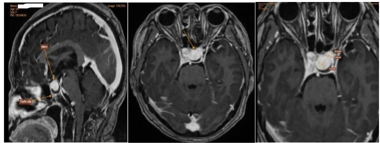
| Nữ bệnh nhân T. có một túi phình kích thước lớn ở động mạch não. Ảnh BVCC |
Kết quả chụp cộng hưởng từ cho thấy, có hình ảnh túi phình lớn ở động mạch não, đoạn xoang hang động mạch cảnh trong trái, chiều cao 16mm, ngang thân 11mm, cổ rộng 7mm. Từ đó, bác sĩ chẩn đoán, bà T. mắc bệnh lý phình động mạch não, rất may túi phình chưa vỡ nhưng cần được can thiệp.
Sự nguy hiểm của bệnh phình động mạch não
Theo ThS.BS Lê Quỳnh Sơn - Chuyên khoa Chẩn đoán hình ảnh, Phòng khám Đa khoa Medlatec Cầu Giấy, phình động mạch não là tình trạng phình to của mạch máu ở động mạch não gây chèn ép các bộ phận xung quanh hoặc dẫn đến vỡ động mạch máu não.
Căn bệnh này rất nguy hiểm, dễ xảy ra nhiều biến chứng như: những cơn đau đầu đột ngột, dữ dội; cảm giác buồn nôn và nôn; gáy cứng; hôn mê hoặc suy giảm ý thức; nặng nhất là đột tử.
Phân loại hình thể phình động mạch não gồm: hình túi, hình thoi và phình bóc tách, nhưng hay gặp nhất là phình động mạch não hình túi chiếm 85%.
Hiện tại, ngành y vẫn chưa tìm ra nguyên nhân chính xác gây ra bệnh phình động mạch não. Những đối tượng có nguy cơ cao mắc phải bệnh lý nguy hiểm này có thể kể đến như:
Các trường hợp mắc phải các bệnh về gen di truyền bao gồm: bệnh về mô liên kết, hội chứng Moyamoya, bệnh thận đa nang, cường Aldosteron; người bị bệnh tăng huyết áp, người thường xuyên hút thuốc lá, Nữ giới bị thiếu hụt estrogen, nhất là những trường hợp chị em trong độ tuổi sau mãn kinh, Bệnh nhân bị hẹp eo động mạch chủ.
