Việc lựa chọn thuốc chống say xe phù hợp và an toàn cho trẻ là điều quan trọng để đảm bảo sức khỏe, sự thoải mái trong suốt hành trình đi du lịch cùng gia đình.
Đồ ăn đường phố từ lâu đã trở thành một phần không thể thiếu trong cuộc sống hằng ngày. Tuy nhiên, phía sau hương vị đậm đà và giá rẻ là những mối nguy hại không phải ai cũng nhận ra.
U nang buồng trứng xoắn là một bệnh lý có thể gặp phải ở phụ nữ trong độ tuổi sinh sản. Bệnh có thể dẫn đến nhiều biến chứng nguy hiểm, bao gồm cả nguy cơ mất buồng trứng và ảnh hưởng đến khả năng sinh sản.
Thay vì mua ngay thuốc tây để điều trị, hãy cân nhắc dùng một số thành phần tự nhiên trong gian bếp có thể giải quyết nhiều vấn đề sức khỏe phổ biến như đau họng, các vấn đề về tiêu hóa,…
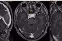
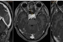
Phình động mạch não rất nguy hiểm, dễ xảy ra nhiều biến chứng như: những cơn đau đầu đột ngột, dữ dội; cảm giác buồn nôn và nôn; gáy cứng; hôn mê hoặc suy giảm ý thức; nặng nhất là tử vong.
Ngộ độc thực phẩm rất dễ xảy ra, nhất là vào những dịp lễ, Tết. Do đó, việc thực hiện các biện pháp phòng tránh ngộ độc thực phẩm là vô cùng cần thiết.
Thủng tạng rỗng nếu không được chẩn đoán sớm và xử trí kịp thời sẽ biến chứng đe dọa tính mạng bệnh nhân, đây là tình trạng cấp cứu hết sức nguy hiểm vì ổ bụng bị nhiễm khuẩn do phân gây viêm phúc mạc toàn thể.
Nếu thủng dạ dày không được cấp cứu kịp thời thì có thể gây ra nhiều biến chứng nguy hiểm như tắc ruột, nhiễm trùng máu, suy đa tạng hay rối loạn tri giác.
Thời điểm giao mùa là điều kiện “lý tưởng” cho các bệnh truyền nhiễm tiềm ẩn có nguy cơ bùng phát, mà nổi cộm nhất là viêm màng não. Bệnh có triệu chứng “âm thầm”, diễn tiến nặng và biến chứng cực kỳ nguy hiểm.
Tuyệt đối không tự tiêm thuốc dù là thuốc bổ nếu chưa có chỉ định của bác sĩ. Đặc biệt, khi tiêm vào tĩnh mạch phải đến các cơ sở y tế có đủ điều kiện bởi khi tiêm vào tĩnh mạch dễ gây phản ứng dẫn tới tử vong.
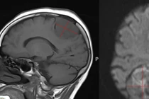
Đa số đau đầu là lành tính và có thể tự khỏi, tuy nhiên nếu bị đau đầu thường xuyên, bệnh nhân cần đến cơ sở y tế khám, làm các cận lâm sàng cần thiết để phát hiện sớm các nguyên nhân thực thể.
Thói quen ăn uống thiếu chất, thiếu lành mạnh, thiếu cân bằng sẽ dễ dẫn đến việc dung nạp dinh dưỡng đơn lẻ, khiến cơ thể thiếu một loại dinh dưỡng nào đó, từ đó khiến cơ thể xuất hiện nhiều triệu chứng khác nhau.
Mặc dù củ ấu tàu đã được cảnh báo về độc tính nguy hiểm khi chế biến, sử dụng sai cách, nhưng nhiều người dân vẫn còn chủ quan dẫn đến ngộ độc khi sử dụng loại củ này.