Sức khoẻ 360

Đau ngực trái, thanh niên 20 tuổi nguy kịch vì tràn mủ, tràn khí màng phổi

Trường hợp bệnh nhân nam 20 tuổi này là hồi chuông cảnh báo cho việc chủ quan trước các dấu hiệu đau ngực, khó thở.

Bệnh viện Đa khoa khu vực miền núi phía Bắc Quảng Nam vừa tiếp nhận một trường hợp viêm phổi màng phổi biến chứng tràn mủ, tràn khí màng phổi cực kỳ nguy hiểm ở bệnh nhân rất trẻ tuổi.

Bệnh nhân nam (20 tuổi) nhập viện trong tình trạng đau ngực trái kèm khó thở đã kéo dài 1 tuần. Qua thăm khám lâm sàng, bệnh nhân có biểu hiện vẻ mặt nhiễm trùng , SpO2 94%, mạch nhanh 130 lần/phút, huyết áp thấp 90/60 mmHg.

mang-phoi-1.jpg
mang-phoi-3.jpg
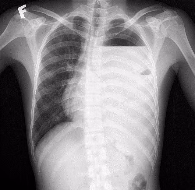
Hình ảnh phổi tổn thương trên phim chụp - Ảnh BVCC

Kết quả xét nghiệm máu cho thấy tình trạng nhiễm trùng nặng với chỉ số bạch cầu (WBC) lên tới 64.8 G/L, chỉ số CRP cao 263.6 mg/dL. Với hệ thống chẩn đoán hình ảnh hiện đại, các bác sĩ ghi nhận: Đông đặc nhu mô thùy dưới phổi trái, tràn dịch màng phổi trái lượng nhiều, tràn khí màng phổi trái, phổi trái bị xẹp thụ động, đẩy lệch trung thất sang phải.

Các bác sĩ khoa Ngoại Tổng hợp đã nhanh chóng đưa ra chẩn đoán: "Viêm phổi màng phổi trái biến chứng tràn mủ màng phổi" và chỉ định can thiệp ngoại khoa cấp cứu.

Ê–kíp phẫu thuật đã tiến hành đặt dẫn lưu màng phổi trái cho bệnh nhân. Ngay lập tức, hơn 1 lít dịch mủ đục, hôi (hậu quả của quá trình nhiễm trùng nặng) đã được giải phóng ra khỏi khoang màng phổi. Sau đó, các bác sĩ tiếp tục tiến hành súc rửa màng phổi bằng nước muối sinh lý để làm sạch ổ nhiễm trùng.

mang-phoi.jpg
Trao đổi với bệnh nhân sau giai đoạn nguy kịch - Ảnh BVCC

Nhờ sự can thiệp kịp thời và chính xác của Ê- kíp bác sĩ khoa Ngoại Tổng hợp, tình trạng hậu phẫu của bệnh nhân hiện đã tạm ổn định, các chỉ số sinh tồn dần trở về mức an toàn, bệnh nhân thở dễ hơn và tiếp tục được theo dõi điều trị tích cực.

mang-phoi-2.jpg
Tổn thương phổi trên phim chụp - Ảnh BVCC

“Trường hợp bệnh nhân nam 20 tuổi này là hồi chuông cảnh báo cho việc chủ quan trước các dấu hiệu đau ngực, khó thở.

Viêm phổi nếu không được điều trị đúng cách và kịp thời có thể nhanh chóng gây biến chứng tràn mủ màng phổi – một tình trạng nhiễm trùng cực kỳ nặng nề, có thể gây sốc nhiễm khuẩn và tử vong.

Bệnh viện khuyến cáo người dân khi có các triệu chứng bất thường về hô hấp cần đến ngay cơ sở y tế để được thăm khám, tránh những biến chứng đáng tiếc”, các bác sĩ Bệnh viện Đa khoa khu vực miền núi phía Bắc Quảng Nam khuyên.

back to top