Mất 3 người thân vì bệnh tim mạch
Ba, anh, chị đều qua đời vì bệnh tim khi tuổi đời còn trẻ, đặc biệt anh trai mất khi chỉ mới 47 tuổi. Và năm nay khi ở tuổi 45, anh N.V.T( Bình Thuận) tình cờ phát hiện mình cũng mắc một bệnh lý tim mạch có thể cướp đi tính mạng bất cứ lúc nào nếu không phát hiện sớm.
Sau gần 20 ngày chịu đựng cảm giác đau và lạnh ở lưng với bụng, anh N.V.T. đã được vợ là chị H. thuyết phục đi bệnh viện khám thử xem sao.
Vượt quãng đường hơn 200km từ Bình Thuận vào TP HCM, hai vợ chồng tìm đến Bệnh viện đa khoa Xuyên Á (TP HCM) để đăng ký khám tổng quát cho anh, vì cảm thấy sức khoẻ không ổn, mà cũng không biết là bắt nguồn từ đâu.
Khi tới bệnh viện, anh T. đã có tình trạng đau thượng vị và đau ngực trái kèm khó thở từng cơn, cơn đau tăng khi gắng sức.
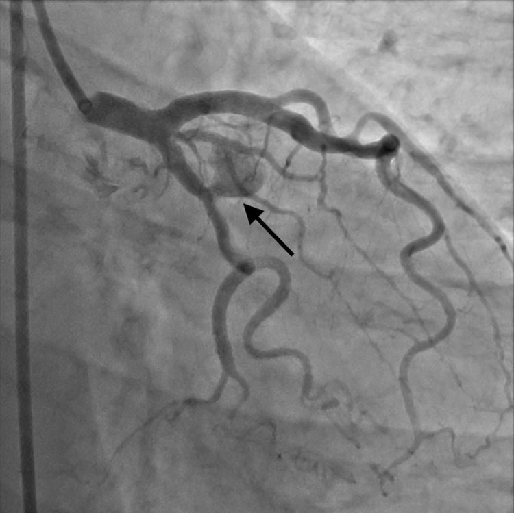
![]() |
| Túi giả phình động mạch trước can thiệp - Ảnh BVCC |
Qua thăm khám lâm sàng, khai thác bệnh sử cùng các yếu tố lối sống như thói quen hút thuốc trong nhiều năm liền, anh T. đã được chỉ định thực hiện các kiểm tra cận lâm sàng để đánh giá chức năng tim mạch.
Khi có kết quả nghi ngờ tình trạng bệnh lý động mạch vành, anh T. được chuyển về Khoa Can Thiệp Tim Mạch để điều trị nội khoa. Tuy nhiên, kết quả không đáp ứng.
Để giải quyết triệt để bệnh, các bác sĩ Khoa Can Thiệp Tim Mạch đã tiến hành hội chẩn và quyết định chụp, can thiệp động mạch vành dưới sự hỗ trợ của hệ thống chụp mạch số hoá (DSA) hiện đại.
Kết quả cho thấy bệnh nhân bị hẹp 30% nhánh chéo D1 và có túi giả phình động mạch vành với kích thước 7.6 x 11.6 mm không huyết khối tại đoạn gần nhánh động mạch mũ.
Chớ chủ quan với các triệu chứng và suy nghĩ điều trị
Theo ThS. BS. Trần Tấn Việt, Trưởng Khoa Can Thiệp Tim Mạch Bệnh viện đa khoa Xuyên Á, tình trạng có giả phình động mạch vành ở người bệnh rất dễ dẫn đến vỡ giả phình và gây tràn máu màng ngoài tim, có thể dẫn đến tử vong nhanh chóng.
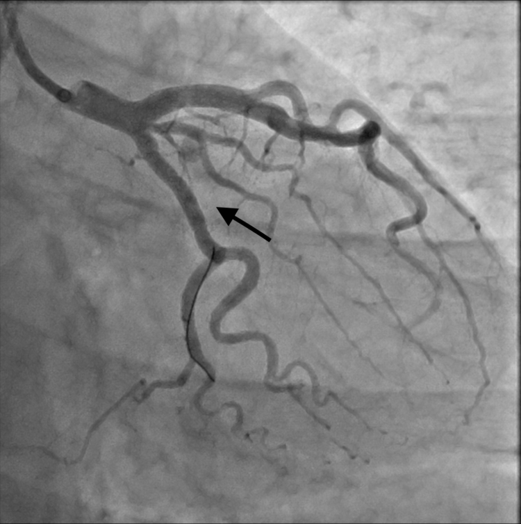
Chính vì thế, chúng tôi đã tư vấn gia đình bệnh nhân và quyết định đặt 01 covered stent đoạn gần nhánh mũ chặn lỗ vào khối giả phình, giúp làm giảm nguy cơ vỡ giả phình trong tương lai cho bệnh nhân.”
![]() |
| Ekip can thiệp mạch - Ảnh BVCC |
Ngay sau ca can thiệp, bệnh nhân đỡ đau ngực, không còn khó thở và đã trở lại sinh hoạt bình thường. Bệnh nhân sẽ được chỉ định sử dụng thuốc kháng kết tập tiểu cầu, kiểm soát huyết áp, kiểm soát mỡ máu cũng như tái khám định kỳ.
Các bác sĩ cũng tư vấn về chế độ ăn uống, đặc biệt là bỏ thuốc lá để giúp bảo vệ sức khoẻ tim mạch tốt hơn.
Nếu chủ quan với những triệu chứng bệnh và mang tư tưởng dùng thuốc điều trị tại nhà là ổn, thì có lẽ giờ đây anh T. sẽ không biết được bệnh tình của bản thân. Nhờ tình yêu thương và sự quyết đoán của người vợ, anh T. đã được thăm khám và phát hiện bệnh kịp thời.
![]() |
| Túi giả phình động mạch sau can thiệp - Ảnh BVCC |
Cùng với đó là nhờ kinh nghiệm cùng quyết tâm không bỏ sót bệnh của đội ngũ bác sĩ, chuyên gia của khoa Nội tim mạch, Can thiệp mạch, đã giúp đưa ra phương pháp điều trị phù hợp, giúp anh T. vượt qua bệnh tật, và cũng giúp chấm dứt nỗi ám ảnh về căn bệnh tim mạch đã cướp đi ba, anh trai và chị gái của anh.
“Giả phình động mạch vành là bệnh lý hiếm gặp, có nguy cơ gây tràn máu màng ngoài tim đe doạ tính mạng nếu vỡ túi giả phình.
Giả phình động mạch vành có thể phát hiện bằng các phương pháp như MSCT động mạch vành, chụp động mạch vành qua da dưới DSA…
Những bệnh nhân có nguy cơ tim mạch cao như đái tháo đường, tăng huyết áp, mỡ máu, hút thuốc lá thì nên tầm soát bệnh lý động mạch vành định kỳ, để sớm phát hiện cũng như can thiệp kịp thời hiệu quả.” - bác sĩ Việt khuyến cáo


