Sức khoẻ 360

Đau dữ dội chân, bé gái 7 tuổi bị u xương hiếm gặp

Bệnh nhi là một bé gái 7 tuổi vốn khỏe mạnh bình thường cho đến khi xuất hiện những cơn đau dữ dội vùng đùi phải. Đặc biệt cơn đau tăng nặng vào ban đêm.

Bệnh viện Đại học Y Hà Nội một ca can thiệp ít xâm lấn hiếm gặp vừa được thực hiện thành công, mang lại hy vọng và niềm vui cho một gia đình sau chuỗi ngày dài bệnh nhân phải sống trong đau đớn và lo âu.

“Sau 6 tháng, hôm nay cháu mới có một giấc ngủ ngon như vậy… Gia đình cảm ơn các bác sĩ rất nhiều… Đọc tin nhắn từ người mẹ trẻ, mình như trút được một gánh nặng trong lòng”, TS.BS Nguyễn Ngọc Cương (Trưởng khoa Can thiệp điện quang, Bệnh viện Đại học Y Hà Nội) chia sẻ.

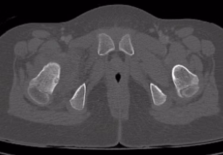
u-xuong.jpg
U xương ở vị trí hiếm gặp - Ảnh BSCC

Bất lực nhìn con vật lộn với cơn đau

TS.BS Nguyễn Ngọc Cương chia sẻ: "Mình đã từng đốt u dạng xương cho nhiều cháu, nhưng có lẽ lần này là ca khiến mình ấn tượng nhất. Ấn tượng vì hình ảnh một cháu bé, mệt mỏi, gầy gò, nước mắt giàn giụa, vừa ôm chân vừa nức nở trong tiếng khóc đến khàn cổ họng: “Con đau quá mẹ ơi…”.

Người mẹ chỉ biết ôm con, lặng lẽ khóc cùng, bất lực nhìn con vật lộn với cơn đau.

Bé gái 7 tuổi, nhà ở Nghệ An, bị u dạng xương (Osteoid Osteoma) ở cổ xương đùi – một loại u lành tính nhưng lại gây đau đớn khủng khiếp, nhất là về đêm. Hơn 6 tháng qua, ngày nào cháu cũng phải uống giảm đau nhiều lần. Mỗi viên thuốc chỉ giúp giảm được vài tiếng, rồi cơn đau lại kéo đến. Đêm nào cháu cũng tỉnh dậy, đau đớn trong nước mắt đợi bố mẹ cho uống thuốc để ngủ tiếp.

Sau khi thăm khám tại nhiều bệnh viện tuyến tỉnh và trung ương, các bác sĩ xác định nguyên nhân là do một u xương lành tính (osteoid osteoma). Kích thước khối u chỉ 5mm nhưng nằm sâu ở mặt sau và trong của cổ xương đùi , nằm trong bao khớp và sát với bề mặt của khớp háng – vị trí rất khó tiếp cận.

Khối u nằm ở một vị trí cực kỳ khó: mặt sau và trong của cổ xương đùi bên phải, hoàn toàn trong bao khớp. Phẫu thuật gần như không thể vì nếu mổ mở để lấy u, cháu bé có nguy cơ cao bị tổn thương mạch máu nuôi xương, dẫn tới hoại tử chỏm xương đùi, thậm chí phải thay khớp háng khi còn rất nhỏ tuổi.

Can thiệp đốt sóng cao tần là phương pháp được lựa chọn nhưng có hai nguy cơ chính: Chảy máu khớp (cổ xương đùi đầy các mạch máu xung quanh); Tổn thương thần kinh hông to khiến cháu mang dị tật suốt đời. Đặc biệt đáng sợ là không thể giảm đau cho trẻ.

u-xuong-2.jpg

Kỹ thuật cao mang lại cuộc sống bình thường cho trẻ nhỏ

Sau khi hội chẩn liên chuyên khoa, đội ngũ bác sĩ tại Trung tâm Điện quang can thiệp – Bệnh viện Đại học Y Hà Nội đã thống nhất lựa chọn phương pháp can thiệp ít xâm lấn đốt u bằng sóng cao tần (RFA) dưới hướng dẫn của hệ thống chụp mạch số hóa xóa nền (DSA) kết hợp với CT hình nón (Cone-Beam CT) để định vị chính xác khối u và đưa kim đốt đúng vị trí mà không làm tổn thương mạch máu quanh cổ xương đùi.

TS.BS Nguyễn Ngọc Cương (Trưởng khoa Can thiệp điện quang, Bệnh viện Đại học Y Hà Nội), người trực tiếp thực hiện ca can thiệp chia sẻ: "Đây là một trong những vị trí khó nhất do nằm sâu, sát các mạch máu nuôi xương và trong bao khớp. Việc tiếp cận đòi hỏi độ chính xác tuyệt đối. Nếu đi lệch chỉ vài mm, có thể gây chảy máu khớp hoặc tổn thương sụn khớp”.

Can thiệp tiến hành bằng mê nội khí quản, khoan xương qua cổ xương đùi để vào đến khối u xương dưới định vị bằng Siêu âm, Fluoscopy và Conbeam CT. Đốt sóng cao tần bằng kim có đầu đốt dài 0,7 cm.

u-xuong-3.jpg

Ca can thiệp diễn ra thành công trong khoảng 30 phút. Ngay sau can thiệp, bé gái chỉ cần một liều thuốc giảm đau duy nhất, và hôm sau đã có thể ra viện.

Quan trọng hơn, những cơn đau đã hoàn toàn biến mất. Người mẹ xúc động chia sẻ trong nước mắt: "Cảm ơn các bác sĩ, sau 6 tháng, cháu đã có một giấc ngủ yên bình đầu tiên mà không bị đánh thức bởi cơn đau".

Đây không chỉ là một thành công kỹ thuật mà còn là minh chứng cho nỗ lực của các bác sĩ trong việc ứng dụng công nghệ hiện đại, kỹ thuật cao để mang lại cuộc sống bình thường cho những bệnh nhân nhỏ tuổi.

back to top