Sức khoẻ 360

Đau đầu kéo dài phát hiện 'quả bom nổ chậm' phình mạch máu não

Túi phình mạch não là tình trạng thành động mạch não bị yếu và phồng lên tạo thành một túi nhỏ. Khi túi phình lớn dần, thành mạch trở nên mỏng và dễ vỡ.

Chủ quan đau đầu kéo dài nhiều ngày không ngờ bệnh nguy hiểm

Một bệnh nhân nữ 60 tuổi đến khám tại Trung tâm Y tế khu vực Đoan Hùng vì tình trạng đau đầu kéo dài nhiều ngày. Cơn đau xuất hiện âm ỉ vùng đầu, gây khó chịu, ảnh hưởng đến sinh hoạt hằng ngày và giấc ngủ.

Ban đầu, bệnh nhân cho rằng đây chỉ là biểu hiện thông thường do tuổi tác hoặc căng thẳng nên tự mua thuốc giảm đau uống tại nhà, tuy nhiên triệu chứng không thuyên giảm.

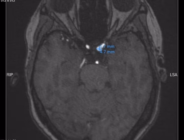
Qua thăm khám lâm sàng, các bác sĩ đã chỉ định chụp cộng hưởng từ mạch máu não. Kết quả ghi nhận bệnh nhân có túi phình mạch tại đoạn siphon của động mạch cảnh trong trái, kích thước khoảng 5 - 6 mm, thuộc nhóm túi phình mạch não kích thước trung bình.

phinh-mach-nao.jpg
Túi phình mạch máu não trên phim chụp - Ảnh BVCC

Nhờ được phát hiện kịp thời, bệnh nhân đã được các bác sĩ tư vấn theo dõi sát và xây dựng kế hoạch điều trị phù hợp, nhằm ngăn ngừa nguy cơ vỡ túi phình gây xuất huyết não - biến chứng có thể đe dọa nghiêm trọng đến tính mạng.

Túi phình mạch não - “quả bom nổ chậm” trong não

Túi phình mạch não là tình trạng thành động mạch não bị yếu và phồng lên tạo thành một túi nhỏ. Theo thời gian, khi túi phình lớn dần, thành mạch trở nên mỏng và dễ bị vỡ.

Nếu túi phình mạch não bị vỡ, người bệnh có thể xuất hiện các triệu chứng nguy hiểm như: Đau đầu dữ dội, đột ngột; Buồn nôn, nôn, cứng gáy; Rối loạn ý thức; Xuất huyết não nặng, có thể đe dọa tính mạng.

Điều đáng lưu ý là nhiều trường hợp túi phình mạch não không có biểu hiện rõ ràng, chỉ được phát hiện tình cờ khi người bệnh thực hiện các kỹ thuật chẩn đoán hình ảnh như CT mạch máu não hoặc cộng hưởng từ (MRI).

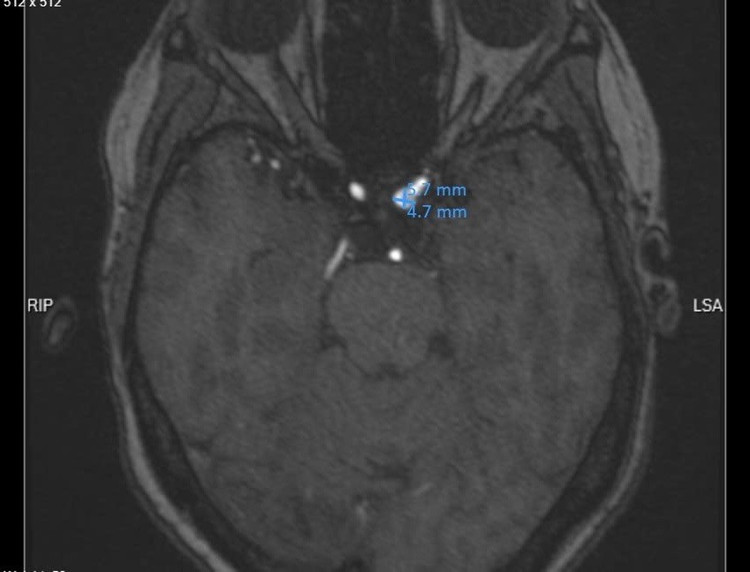
phinh-mach-nao-1.jpg
Mạch máu não bị phình - Ảnh BVCC

Các bác sĩ khuyến cáo, người dân nên chủ động kiểm tra mạch máu não khi có các yếu tố nguy cơ sau:

Đau đầu kéo dài hoặc đau đầu bất thường.

Người mắc tăng huyết áp.

Người hút thuốc lá.

Có tiền sử gia đình mắc bệnh mạch máu não.

Người trên 50 tuổi.

Việc tầm soát sớm bằng các phương pháp chẩn đoán hình ảnh hiện đại có ý nghĩa quan trọng trong phát hiện túi phình mạch não trước khi xảy ra biến chứng nguy hiểm, từ đó giúp bác sĩ có hướng theo dõi và điều trị kịp thời.

Khi xuất hiện tình trạng đau đầu kéo dài, bất thường hoặc ngày càng tăng, người dân không nên chủ quan mà cần đến cơ sở y tế để được thăm khám và tư vấn kịp thời. Phát hiện sớm chính là chìa khóa giúp bảo vệ sức khỏe và phòng tránh những biến chứng đáng tiếc.

>>> Mời quý độc giả theo dõi video: Thai phụ 39 tuần sốc phản vệ sau khi ăn ốc

back to top