Đau đầu kéo dài phát hiện 'quả bom nổ chậm' phình mạch máu não
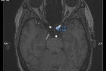
Túi phình mạch não là tình trạng thành động mạch não bị yếu và phồng lên tạo thành một túi nhỏ. Khi túi phình lớn dần, thành mạch trở nên mỏng và dễ vỡ.
Túi phình mạch não là tình trạng thành động mạch não bị yếu và phồng lên tạo thành một túi nhỏ. Khi túi phình lớn dần, thành mạch trở nên mỏng và dễ vỡ.