Nguy hiểm hơn, các khối u não có thể gây ra rất nhiều triệu chứng lâm sàng dữ dội nhưng cũng không ít trường hợp người bệnh không hề có triệu chứng đặc biệt nào.
Nữ bệnh nhân đến Bệnh viện Đa khoa Hùng Vương khám do bị sốt, đau đầu có lúc thành cơn, âm ỉ vùng trán lan lên đỉnh, không cảm thấy buồn nôn và không bị yếu liệt, người bệnh tự mua thuốc điều trị tại nhà nhưng không đỡ sau đó tình trạng đau lại tăng lên.
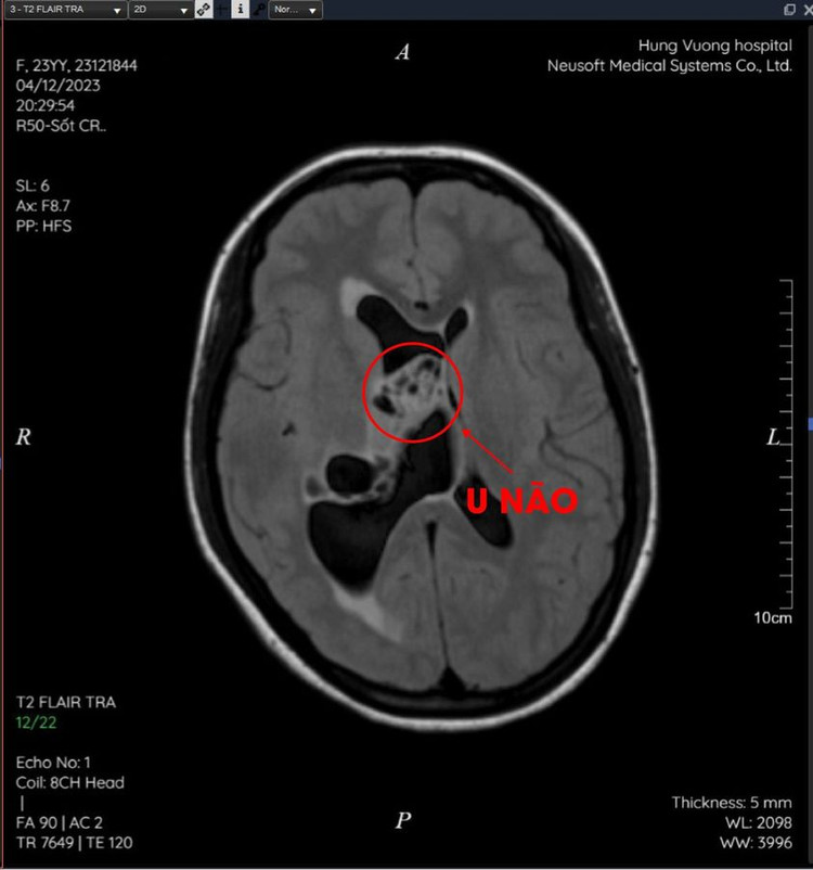
Sau khi được chụp cộng hưởng từ và tiến hành hội chẩn với ý kiến các chuyên gia đầu ngành, các bác sĩ tại Khoa Chẩn đoán hình ảnh - BVĐK Hùng Vương kết luận: U đám rối mạch mạc não thất bên bên phải xâm lấn hồi hải mã phải.
Bệnh nhân sau đó được tư vấn nhập viện để theo dõi và điều trị.
![]() |
| Khối u não trên phim chụp |
PGS.TS Đồng Văn Hệ, Phó Giám đốc Bệnh viện Hữu nghị Việt Đức, Giám đốc Trung tâm Phẫu thuật Thần kinh cho biết, u não là loại bệnh hay gặp trong các khoa như: khoa nội thần kinh, khoa ngoại thần kinh, khoa ung bướu, khoa xạ trị…
Mỗi năm có 190.000 bệnh nhân u não nguyên phát mới xuất hiện được chẩn đoán và điều trị tại Hoa Kỳ. Hiện nay hơn 688.000 người Mỹ đang sống với u não, trong số đó 130.000 u não ác tính và 550.000 u não lành tính.
Rất nhiều bệnh nhân ung thư di căn não. Khoảng 20-40% các loại ung thư có di căn não. Con số tương tự tại Canada là 10.000 bệnh nhân.
Tại Việt Nam, chúng ta không có số liệu chính thức chẩn đoán khối u não và tỷ lệ người bệnh mắc u não mỗi năm. Tính riêng Bệnh viện Hữu nghị Việt Đức, mỗi năm nhận khám và điều trị hơn 2.500 người bệnh u não.
"U não có thể điều trị được. Nhiều loại u não được điều trị sớm, kịp thời, đúng phác đồ và bệnh nhân có thể sống, lao động và làm việc bình thường. Điều trị u não có ba phương pháp chính gồm: phẫu thuật, xạ trị và hóa trị. Tùy từng trường hợp cụ thể, bác sĩ sẽ quyết định phương pháp điều trị nào hiệu quả nhất, hoặc có khi phải phối hợp nhiều phương pháp với nhau". PGS.TS Đống Văn Hệ cho biết.
Các bác sĩ khuyến cáo người dân cần có thói quen đi kiểm tra sức khỏe định kỳ hàng năm dù không có bất kỳ triệu chứng lâm sàng nào, bởi vì rất có thể đến khi bạn cảm thấy các dấu hiệu bất thường thì bệnh đã ở giai đoạn muộn, tiến triển nặng và rất khó để điều trị.
Kĩ thuật chụp cộng hưởng từ (MRI) là phương pháp được lựa chọn hàng đầu khi nghi ngờ mắc u não và các bệnh lý về thần kinh não.
