Sức khoẻ 360

Đặt stent cứu cụ bà 85 tuổi mắc tăng huyết áp kháng trị uống thuốc không hạ

Hẹp động mạch thận là nguyên nhân phổ biến gây tăng huyết áp kháng trị. Can thiệp động mạch thận thoát khỏi những cơn tăng huyết áp kéo dài khó kiểm soát.

Tăng huyết áp là căn bệnh mạn tính phổ biến ở người cao tuổi, tiềm ẩn nhiều biến chứng nguy hiểm nếu không được kiểm soát tốt. Các bác sĩ Bệnh viện Đa khoa tỉnh Quảng Ninh vừa can thiệp đặt stent động mạch thận hai bên cho cụ bà 85 tuổi bị tăng huyết áp kháng trị, giúp người bệnh thoát khỏi những cơn tăng huyết áp kéo dài khó kiểm soát, cải thiện chất lượng cuộc sống.

Thường xuyên nhập viện vì huyết áp tăng vọt

Bệnh nhân là Đào Thị V. (85 tuổi) trú tại huyện Đầm Hà, tỉnh Quảng Ninh, có tiền sử tăng huyết áp nhiều năm nay. Dù tuân thủ điều trị và uống thuốc đều đặn, bệnh nhân vẫn thường xuyên nhập viện, chỉ số huyết áp nền dao động ở mức cao 160/90 - 170/90 mmHg.

Đợt này, bà V. đau đầu, chóng mặt nhiều, huyết áp tăng vọt lên 200/100 mmHg. Nhập viện dù được điều trị nội khoa tích cực bằng thuốc hạ áp phối hợp tối đa liều kết hợp với chế độ ăn uống, song huyết áp của người bệnh không được kiểm soát, luôn ở mức cao nguy hiểm.

stent-huyet-ap.jpg
Hình ảnh CLVT dựng hình 3D động mạch thận hai bên hẹp tắc nặng - Ảnh BVCC

Bệnh nhân được chỉ định siêu âm mạch thận và chụp cắt lớp vi tính mạch máu để tầm soát, kết quả cho thấy hình ảnh hẹp nặng gốc động mạch thận hai bên, mức độ hẹp trên 80%.

Các bác sĩ đánh giá đây chính là nguyên nhân khiến việc điều trị bằng thuốc không mang lại hiệu quả, dẫn đến tình trạng tăng huyết áp kháng trị. Sau khi hội chẩn, kíp bác sĩ chỉ định tiến hành can thiệp nong và đặt stent động mạch thận cho bệnh nhân để xử trí triệt để.

Kíp can thiệp do ThS.BS Ngô Văn Tuấn, Trưởng khoa Tim mạch trực tiếp thực hiện, được tiến hành theo chiến lược hai thì, mỗi thì xử lý một bên động mạch thận, cách nhau 10 ngày để đảm bảo an toàn cho người bệnh.

Với sự hỗ trợ của hệ thống chụp mạch số hóa xóa nền hai bình diện (DSA) hiện đại, bác sĩ đã luồn ống qua đường động mạch đùi đến vị trí tổn thương, nong bóng đoạn hẹp khít và đặt stent động mạch thận hai bên, tái thông dòng chảy nuôi thận. Toàn bộ quá trình can thiệp diễn ra an toàn, ít đau, giúp phục hồi lưu thông máu về thận một cách hiệu quả.

Bệnh nhân sau can thiệp ổn định, ít đau, huyết áp ổn định duy trì ở mức 130/70 mmHg, bệnh nhân hết đau đầu, chóng mặt, ăn uống và sinh hoạt bình thường. Kết quả theo dõi sau can thiệp, chức năng thận cải thiện và chỉ số huyết áp kiểm soát bằng thuốc dễ dàng.

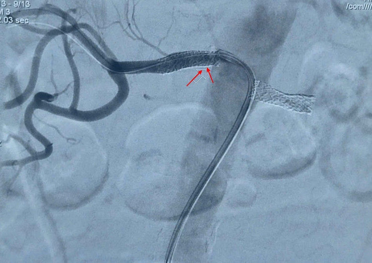
stent-ha.jpg
Hình ảnh can thiệp đặt stent động mạch thận 2 bên qua phim DSA - Ảnh BVCC

Hẹp động mạch thận gây tăng huyết áp ác tính hoặc kháng trị

ThS.BS Ngô Văn Tuấn cho biết. trên thực tế, chỉ khoảng 5% bệnh nhân tăng huyết áp có nguyên nhân cụ thể, song việc tầm soát nguyên nhân lại đóng vai trò rất quan trọng, nhất là trong những trường hợp điều trị nội khoa không mang lại hiệu quả.

Trong đó, hẹp động mạch thận được xem là một trong những nguyên nhân phổ biến gây tăng huyết áp kháng trị. Khi này kỹ thuật can thiệp động mạch thận sẽ được đặt ra ở nhóm bệnh nhân trên.

Theo ThS.BS Ngô Văn Tuấn, can thiệp động mạch thận là phương pháp nong bóng và đặt stent để khôi phục lòng mạch bị hẹp tắc, giúp máu lưu thông trở lại, từ đó cải thiện chức năng thận và kiểm soát huyết áp.

Các chỉ định can thiệp động mạch thận thường là khi bệnh nhân hẹp động mạch thận mức độ nặng có tăng huyết áp ác tính hoặc kháng trị; bệnh nhân hẹp động mạch thận chỉ có một thận.

ha-khang-tri-7122.jpg
ThS.Bs Ngô Văn Tuấn thăm khám cho bệnh nhân sau can thiệp - Ảnh BVCC

ThS.Bs Ngô Văn Tuấn, Trưởng khoa Nội Tim mạch, Bệnh viện Đa khoa tỉnh Quảng Ninh, cho biết: “Trường hợp bệnh nhân V. là ca điển hình của tăng huyết áp kháng trị, huyết áp luôn duy trì ở mức rất cao dù đã dùng thuốc tối ưu. Qua thăm khám và tầm soát kỹ lưỡng, chúng tôi xác định nguyên nhân do hẹp nặng động mạch thận hai bên khiến huyết áp khó kiểm soát.

Có nhiều phương pháp giải quyết nhưng chúng tôi thấy rằng lựa chọn can thiệp động mạch thận là phương pháp tối ưu, ít xâm lấn, người bệnh hồi phục nhanh, không đau đớn.

Với bệnh nhân lớn tuổi, nguy cơ biến chứng cao nếu thủ thuật kéo dài, nên chúng tôi lựa chọn chiến lược can thiệp hai thì, mỗi thì xử lý một bên, cách nhau 10 ngày để đảm bảo an toàn.

Sau can thiệp, huyết áp người bệnh dần ổn định, triệu chứng cải thiện rõ rệt. Đây là một kết quả tích cực, cho thấy việc tìm và giải quyết nguyên nhân gây tăng huyết áp kháng trị là một bước rất quan trọng trong điều trị, giúp người bệnh thoát khỏi nguy cơ biến chứng nặng nề, mang đến chất lượng cuộc sống tốt hơn.

Quá trình điều trị sau đó bệnh nhân vẫn được tiếp tục theo dõi huyết áp, chức năng thận, kết hợp điều chỉnh lối sống và duy trì thuốc hợp lý để bảo vệ thành quả điều trị”.

back to top