Vừa qua, Khoa Cấp cứu, Bệnh viện Trung ương quân đội 108 tiếp nhận bệnh nhân D.T.Đ (nam 29 tuổi, Hà Nội) nhập viện trong tình trạng nguy kịch do vết thương thấu ngực nghiêm trọng, kèm theo dị vật cắm sâu trong phổi.
Theo lời kể từ người nhà bệnh nhân, khoảng 1h sáng cùng ngày, bệnh nhân bị một người khác dùng dao nhọn đâm vào lưng từ phía sau, gây mất máu nhiều.
Sau khi được sơ cứu tại trung tâm y tế tuyến trước, bệnh nhân nhanh chóng chuyển đến Khoa Cấp cứu, Bệnh viện TWQĐ 108 giờ thứ 2 sau tai nạn trong tình trạng lơ mơ, da niêm mạc nhợt, khó thở và lưỡi dao còn cắm trong vết thương.
Ngay lập tức bệnh nhân được kíp cấp cứu đánh giá toàn diện, điều trị giảm đau, thở oxy, bù dịch. Sau đó chuyển ngay sang phòng chụp cắt lớp vi tính để đánh giá tổn thương.
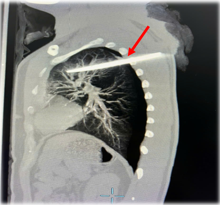
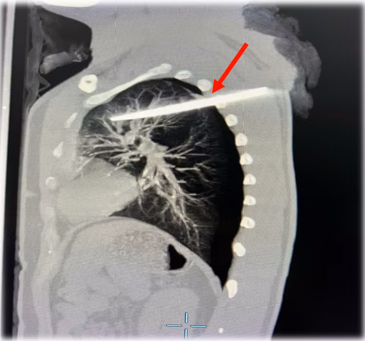
Qua chụp cắt lớp vi tính lồng ngực, các bác sĩ xác định: dị vật kim khí xuyên thấu cơ vùng lưng qua khoang gian sườn 3-4 vào nhu mô thùy trên phổi trái, xuất huyết phế nang xung quanh, tràn khí - tràn máu khoang màng phổi.
![]() |
| Hình ảnh chụp cắt lớp của bệnh nhân LVD ngày 29/12/2024 tại Bệnh viện TWQĐ 108 với dị vật kim khí xuyên thấu ngực (mũi tên màu đỏ) - Ảnh BVCC |
Xác định đây là tổn thương rất nguy hiểm, nguy cơ dẫn đến suy hô hấp, sốc mất máu, thậm chí tử vong nếu không được xử trí sớm. Bệnh nhân được kíp cấp cứu nhanh chóng chuyển lên phòng mổ, kíp phẫu thuật tiến hành rút dị vật, phẫu thuật khâu nhu mô phổi bị tổn thương, lau rửa - dẫn lưu khoang màng phổi, hút liên tục và khâu vết thương.
Sau mổ tình trạng bệnh nhân tạm ổn định, tỉnh táo, tự thở, không bị sốc. Bệnh nhân tiếp tục được điều trị tại khoa hồi sức ngoại khoa.
Vết thương ngực có thể xuất hiện dưới nhiều dạng, từ các vết đâm do dao hoặc vật sắc nhọn đến những tổn thương nặng nề hơn như tai nạn lao động với máy móc công nghiệp hoặc bị bánh xe đè qua trong tai nạn giao thông.
Trong đó, vết thương xuyên thấu do dao hoặc vật sắc nhọn thường để lại những hậu quả nghiêm trọng, bao gồm: Mất máu nghiêm trọng gây sốc; Tổn thương phổi với các biến chứng như thủng phổi, tràn khí, tràn máu khoang màng phổi; Chèn ép trung thất và phổi lành, dẫn đến suy hô hấp hoặc ngạt, nguy cơ tử vong cao nếu không được xử trí kịp thời.
Tuy nhiên nếu bệnh nhân được đưa đến cơ sở y tế kịp thời và can thiệp phẫu thuật đúng cách, tỷ lệ sống sót có thể tăng lên 80-90%, ngay cả trong các trường hợp nặng.
Nguyên tắc xử trí vết thương có dị vật
Để đảm bảo an toàn trước khi đến bệnh viện, cần tuân thủ một số nguyên tắc sau:
Với các trường hợp vết thương còn dị vật cắm sâu, tuyệt đối không tự ý rút dị vật ra ngoài, đặc biệt khi dị vật lớn, xuyên sâu hoặc nằm ở các khu vực nguy hiểm. Việc rút dị vật sai cách có thể khiến máu chảy ồ ạt, gây tổn thương thêm các mô xung quanh và làm tăng nguy cơ nhiễm trùng.
Hướng dẫn sơ cứu ban đầu
Băng kín vết thương: Dùng tay ép nhẹ mép vết thương sát với dị vật để hạn chế tổn thương lan rộng.
Đặt gạc hoặc vật liệu mềm xung quanh dị vật: Đảm bảo cố định tốt mà không làm dị vật xê dịch.
Dùng vành khăn cố định dị vật: Đặt vành khăn hoặc vật tương tự lên vùng vết thương, sau đó băng kín lại để bảo vệ dị vật.
Chuyển đến cơ sở y tế: Nhanh chóng đưa bệnh nhân đến bệnh viện gần nhất để được xử lý chuyên sâu.
Đây là những bước cơ bản giúp tăng cơ hội sống sót và giảm thiểu biến chứng cho bệnh nhân trước khi được cấp cứu tại bệnh viện.
BS Lê Kiều Trang (Khoa Cấp cứu, Bệnh viện TWQĐ 108)
