BSCKII. Bùi Thị Thu Hà - Giám đốc Trung tâm Đột quỵ, Bệnh viện đa khoa tỉnh Phú Thọ cho biết, Trung tâm Đột quỵ đã khám và gặp rất nhiều bệnh nhân chủ quan với triệu chứng chóng mặt. Nhưng mọi người không biết rằng, chóng mặt cũng là 1 triệu chứng của đột quỵ
Gần đây, Trung tâm tiếp nhận 1 bệnh nhân nam 85 tuổi, vào viện với lý do: Chóng mặt ngày thứ 2. Bệnh nhân ở nhà đã tiêm truyền và uống thuốc tại nhà nhưng không đỡ. Đến ngày thứ 2 gia đình gọi hỏi bệnh nhân không trả lời nên đã vào viện.
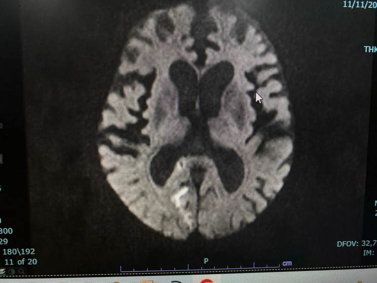
Bệnh nhân đã được khám và tư vấn chụp cộng hưởng từ sọ não: có hình ảnh tổn thương tiểu não, thân não do tắc thân nền nhưng quá giờ can thiệp. Bệnh nhân và gia đình đã bỏ qua thời gian vàng để cứu sống bệnh nhân.
Hiện tại bệnh nhân hôn mê, G: 3 điểm, thở máy, tiên lượng nặng nề.
![]() |
Theo thống kê trên 50% đột quỵ não sống nền không có triệu chứng thần kinh khu trú, bệnh nhân chỉ biểu hiện cơn chóng mặt, bệnh nhân vào viện được chụp cộng hưởng từ sọ não hoặc CT sọ não: Hình ảnh có tổn thương vùng thân não hay tiểu não dưới. Đột quỵ não do tắc thân nền không được can thiệp kịp thời sẽ để lại di chứng nặng nề hoặc tử vong.
Chóng mặt là một triệu chứng thường gặp ở mọi lứa tuổi do nhiều nguyên nhân khác nhau gây nên. Biểu hiện của chóng mặt : người bệnh cảm giác người bồng bềnh, chòng chành, lâng lâng, có người thì biểu hiện thấy các vật quay xung quanh mình, có trường hợp thấy nhà cửa đổ, các đồ vật chuyển động dữ dội ...
Các triệu chứng kèm theo hay gặp cùng với chóng mặt: Đau đầu, buồn nôn, nôn, ù tai, đi lại không vững, thăng bằng ...
![]() |
| Hình ảnh tổn thương trên phim chụp |
Nguyên nhân gây ra chóng mặt rất nhiều:
- Do thay đổi huyết áp: quá cao hoặc tụt ...
- Do co thắt mạch máu não ...
- Do tổn thương não, tiểu não: như nhồi máu tiểu não.
- Do thiếu máu não mạn tính hay gặp hẹp mạch thân nền.
- Do thiếu máu cấp hoặc mạn tính.
- Do tổn thương vùng tai trong : tiền đình , ống bán khuyên ...như viêm thần kinh tiền đình.
- Do tổn thương dây thần kinh số VIII như, u dây thần kinh số VIII, zona thần kinh số VIII
Trong các nguyên nhân trên, có các nguyên nhân mang tính chất lành tính, không nguy hiểm, nhưng có những nguyên nhân có thể gây ảnh hưởng đến tính mạng như: đột quỵ não, tụt hoặc tăng huyết áp, do mất máu ...chính vì vậy khi bị triệu chứng này không nên chủ quan tự điều trị tại nhà hay điều trị ở những nơi không đủ phương tiện chẩn đoán .
Vì vậy đừng bao giờ chủ quan với chóng mặt. Khi có biểu hiện chóng mặt nên khám tại chuyên khoa thần kinh để tìm nguyên nhân và điều trị trúng đích.

