Sức khoẻ 360

Chủ quan hắt hơi, sổ mũi người bệnh nguy kịch vì tắc tĩnh mạch xoang hang

Không nặn mụn vùng mũi - môi trên, vì đây là “tam giác nguy hiểm” có mạch máu thông trực tiếp với xoang hang.

Một cơn hắt hơi, vài ngày sổ mũi hay một nốt mụn nhỏ ở vùng mũi/ môi trên tưởng chừng vô hại, nhưng đôi khi lại là khởi đầu cho một căn bệnh nguy hiểm viêm tắc tĩnh mạch xoang hang, có thể cướp đi sinh mạng chỉ trong vài ngày.

Căn bệnh hiếm gặp, nguy hiểm

Tại Trung tâm Cấp cứu A9, Bệnh viện Bạch Mai, các bác sĩ vừa tiếp nhận một nam bệnh nhân 25 tuổi nhập viện trong tình trạng mê man, sốt cao, không tự chủ tiểu tiện. Trước đó, hơn hai tuần, người bệnh chỉ bị ngạt mũi, sổ mũi, đau đầu nhẹ. Bệnh nhân có đi khám tại một cơ sở y tế được kê kháng sinh về uống.

Theo hồ sơ bệnh án, bệnh nhân khởi phát bằng viêm xoang cấp mủ, sau đó chuyển sang viêm tấy nửa mặt, rồi nhanh chóng xuất hiện rối loạn ý thức và co giật. Kết quả chụp cộng hưởng từ sọ não cho thấy: Phù nề lan tỏa, dấu hiệu điển hình của viêm tắc tĩnh mạch xoang hang - một tình trạng huyết khối nhiễm trùng ở nền sọ.

Dù được cấp cứu tích cực bằng kháng sinh mạnh, thuốc giảm phù não và hỗ trợ hô hấp, tiên lượng người bệnh vẫn rất nặng, nguy cơ tử vong cao do bệnh đã lan vào não, màng não, và mạch máu cảnh trong.

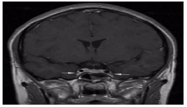
xoang-hang-1.jpg
Xoang hang - Ảnh BVCC

Bác sĩ Nguyễn Hữu Hồng Quân - Trung tâm Cấp cứu A9, Bệnh viện Bạch Mai cho biết: “Xoang hang là vùng tĩnh mạch nằm sâu trong nền sọ, chứa dây thần kinh và động mạch cảnh đi vào.

Viêm tắc tĩnh mạch xoang hang gây lồi mắt, mù lòa, có thể lan vào vùng lân cận gây viêm màng não mủ, nhồi máu não, thậm chí tử vong. Tỷ lệ tử vong của bệnh này dao động từ 15-30%, 1/3 bệnh nhân sống sót để lại di chứng nặng nề như mù, liệt mặt, song thị kéo dài.

Những dấu hiệu không thể bỏ qua

Theo các chuyên gia, đây là căn bệnh hiếm nhưng cực kỳ nguy hiểm, thường bắt đầu sau 5-10 ngày nhiễm trùng vùng mặt hoặc mũi xoang.

Người bệnh cần đến ngay bệnh viện khi có một hoặc nhiều dấu hiệu sau, triệu chứng kinh điển của viêm tắc xoang hang: Đau đầu dữ dội, sốt cao không rõ nguyên nhân; Sưng đỏ quanh mắt, mắt lồi, sụp mi, nhìn đôi; Sưng lan sang mắt còn lại chỉ trong 24-48 giờ; Giảm thị lực, cảm giác vùng trán, mũi hoặc má.

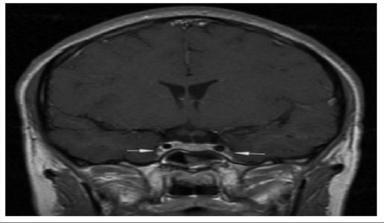
xoang-hang.jpg
Vị trí mũi tên là viêm và co thắt động mạch cảnh trong 2 bên - Ảnh BVCC

Các bác sĩ Bệnh viện Bạch Mai khuyến cáo: Không nặn mụn vùng mũi - môi trên, vì đây là “tam giác nguy hiểm” có mạch máu thông trực tiếp với xoang hang. Điều trị sớm các bệnh viêm xoang, viêm răng, áp xe ổ mắt. Không tự ý dùng thuốc khi đau đầu, sưng mặt hoặc sốt cao kéo dài. Kiểm soát tốt bệnh nền như tiểu đường, suy giảm miễn dịch.

“Căn bệnh này không quá ồn ào, nhưng cực kỳ tàn khốc. Một cơn đau đầu, một nốt mụn tưởng nhỏ, đôi khi lại là tín hiệu đầu tiên của cuộc đua sinh tử. Đến bệnh viện ngay khi có những triệu chứng như trên để được thăm khám, chẩn đoán và điều trị kịp thời”, bác sĩ Quân nhấn mạnh.

back to top