Đi khám zona thần kinh ngực phát hiện u tim kích thước lớn
Người bệnh nữ (68 tuổi) ở Việt Trì, Phú Thọ, bị zona thần kinh vùng thành ngực và đau nhiều ở khu vực bị zona. Người bệnh đi khám thì phát hiện có khối bất thường kích thước lớn ở tim bên phải.
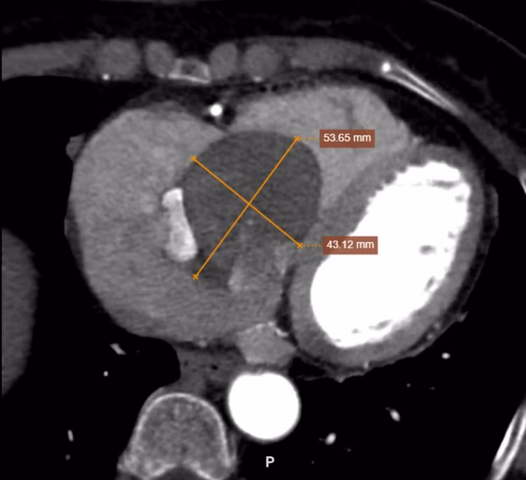
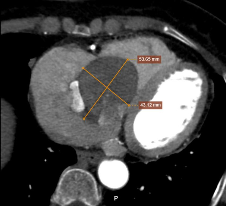
Tại Bệnh viện Đa khoa tỉnh Phú Thọ, sau khi thực hiện các xét nghiệm, siêu âm tim và chụp cắt lớp vi tính (CT), các bác sĩ xác định người bệnh có một khối u nhầy khổng lồ kích thước 53×43 mm nằm trong nhĩ phải, nguy cơ gây biến chứng nguy hiểm đến tính mạng.
Khối u khổng lồ qua phim chụp CT - Ảnh BVCC |
Trước tình trạng này, các bác sĩ đã chỉ định phẫu thuật để loại bỏ khối u, bảo vệ chức năng tim mạch cho người bệnh.
Trong hơn 2 giờ thực hiện, ê-kíp của khoa Phẫu thuật tim mạch – Lồng ngực đã thực hiện cắt bỏ khối u bằng phương pháp phẫu thuật nội soi. Đây là một kỹ thuật hiện đại, giúp người bệnh giảm thiểu đau đớn, hạn chế mất máu và rút ngắn thời gian hồi phục so với phương pháp mổ mở truyền thống.
![]() |
| Ekip phẫu thuật đang thực hiện lấy khối u khổng lồ trong tim người bệnh - Ảnh BVCC |
Dưới sự hỗ trợ của hệ thống nội soi tiên tiến, toàn bộ khối u nhầy đã được bóc tách, đảm bảo không để lại tổn thương trong buồng tim. Ngay sau ca phẫu thuật, người bệnh đã ổn định, các chỉ số tim mạch trở về mức bình thường.
Sau phẫu thuật 10 ngày, người bệnh hoàn toàn ổn định, có thể đi lại, ăn uống bình thường và được ra viện.
![]() |
| Hình ảnh khối u sau khi được lấy ra - Ảnh BVCC |
U nhầy nhĩ phải là một dạng u tim hiếm gặp. Do vị trí đặc biệt, u nhầy nhĩ phải có thể gây tắc nghẽn tuần hoàn tĩnh mạch, dẫn đến suy tim phải hoặc thuyên tắc phổi,…
Các triệu chứng có thể gặp bao gồm khó thở, đau ngực, mệt mỏi kéo dài, thậm chí là ngất xỉu. Bệnh thường đòi hỏi can thiệp phẫu thuật sớm để ngăn ngừa biến chứng nguy hiểm.
Áp dụng phương pháp phẫu thuật nội soi ít xâm lấn giúp người bệnh giảm thiểu đau đớn, phục hồi nhanh hơn và nâng cao chất lượng cuộc sống sau mổ.
![]() |
| Bác sĩ kiểm tra sức khỏe người bệnh sau phẫu thuật - Ảnh BVCC |
Người dân nên thực hiện kiểm tra sức khỏe định kỳ, đặc biệt là siêu âm tim khi có dấu hiệu nghi ngờ để phát hiện sớm các bất thường tim mạch và có hướng điều trị phù hợp.
BSNT Dương Xuân Phương (Trưởng khoa Phẫu thuật Tim mạch – Lồng ngực, Bệnh viện Đa khoa Phú Thọ)
Khối u khổng lồ qua phim chụp CT - Ảnh BVCC

