Sức khoẻ 360

Cháu bé 6 tuổi ở Quảng Trị bị đa chấn thương do nghịch súng hơi

Do sự bất cẩn của người lớn, cháu H.L (6 tuổi, Quảng Trị) đã lấy súng hơi ra nghịch, dẫn đến bị đa chấn thương.

Ngày 24/1, thông tin từ Bệnh viện Đa khoa tỉnh Quảng Trị cho biết, đơn vị tiếp nhận một bệnh nhi bị đa chấn thương nghiêm trọng do nghịch súng hơi.

Trước đó, ngày 22/1, cháu H.L (6 tuổi, trú tại thôn Long Thành, xã Lao Bảo) sang thăm người thân tại huyện Sê Pôn (Lào). Do sự bất cẩn của người lớn trong việc quản lý vũ khí tự chế, cháu H.L đã nghịch súng hơi dẫn đến tai nạn đáng tiếc.

07809aad-ca0d-456e-9489-e6a2a3395536.jpg
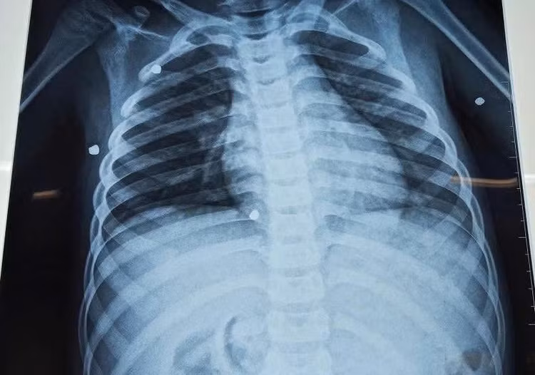
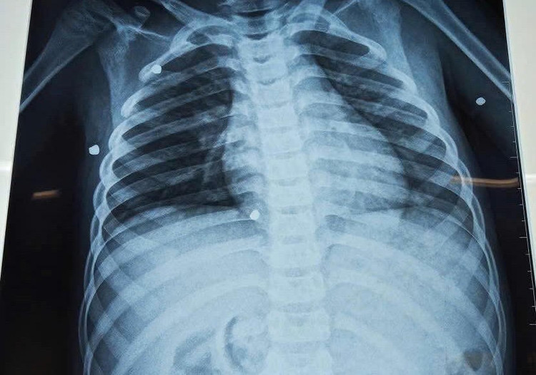
Kết quả chụp X-quang cho thấy có nhiều dị vật cản quang nằm rải rác ở nhiều vị trí trong cơ thể. Ảnh: Trần Tuyền

Ngay sau khi sự cố xảy ra, người nhà đã đưa cháu H.L đến Bệnh viện khu vực Hướng Hóa cấp cứu trong tình trạng tinh thần hoảng loạn.

Qua thăm khám, các bác sĩ phát hiện nhiều vết thương do hỏa khí tại vùng ngực và hai tay. Kết quả chụp X-quang cho thấy có nhiều dị vật cản quang nằm rải rác ở nhiều vị trí trong cơ thể.

Sau khi sơ cứu, nhận thấy tính chất phức tạp của các dị vật, bệnh viện đã làm thủ tục chuyển bệnh nhân lên Bệnh viện Đa khoa tỉnh Quảng Trị để tiếp tục điều trị chuyên sâu.

back to top