Sức khoẻ 360

Ca hóc xương cá hiếm gặp: Chữa mẹo dễ tử vong

Bệnh viện Tai Mũi họng T.Ư đã phẫu thuật ca hóc xương cá hiếm gặp sau 20 ngày xương cá nằm trong bó mạch cảnh. Các bác sĩ đã phải rất khó khăn tìm và lấy thành công chiếc xương dài 3cm này.

Bóc tách vùng cổ để truy tìm xương cá

Người bệnh là anh Đ.V.Đ. (51 tuổi, Chí Linh, Hải Dương) nhập viện trong tình trạng viêm tấy thành bên họng phải.

Qua khai thác bệnh sử, bác sĩ ghi nhận trước khi nhập viện 20 ngày, anh Đ. từng bị hóc xương cá, xuất hiện nuốt vướng nên đã đi khám và nội soi họng tại cơ sở y tế địa phương nhưng chưa phát hiện dị vật. Sau đó, bệnh nhân vẫn tiếp tục nuốt vướng, nuốt đau, ăn uống kém và sưng vùng cổ phải, nên đã đến Bệnh viện Tai Mũi Họng T.Ư thăm khám.

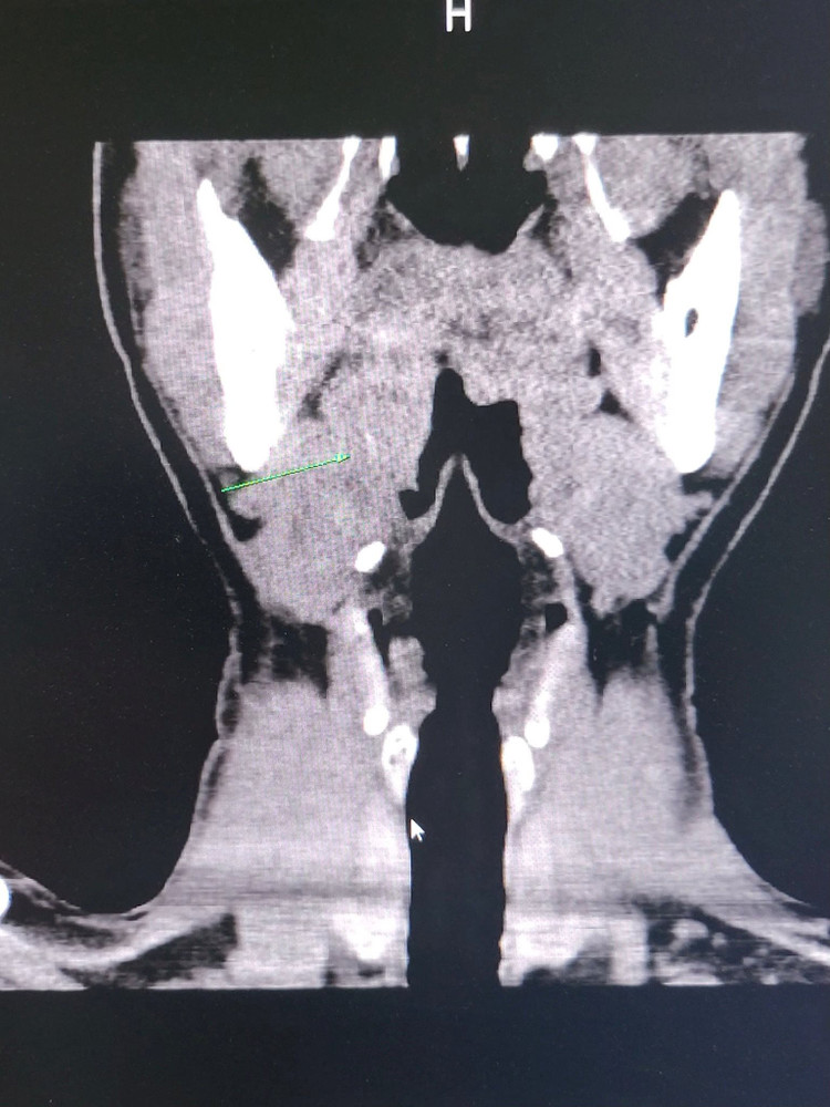
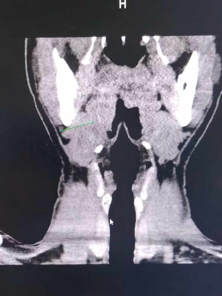
xuong-ca.jpg
Hình ảnh xương cá trên phim chụp của bệnh nhân.

Kết quả khám nội soi thông thường không thấy có hình ảnh nghi ngờ dị vật, vùng hạ họng amidal bên phải tương đối bình thường nên các bác sĩ đã quyết định chụp phim cắt lớp vi tính vùng cổ, không tiêm thuốc cản quang. Trên phim CT Scanner vùng cổ chỉ thấy có một lát cắt Coronal và tái tạo dựng hình 3D có hình ảnh nghi ngờ có dị vật là một vệt mờ, khó xác định ở vùng amidal ở bên phải.

Theo ThS.BS Trần Hữu Thắng, Trưởng khoa Cấp Cứu, Bệnh viện Tai Mũi Họng T.Ư, sau khi hội chẩn, các chuyên gia đưa ra hai phương án phẫu thuật lấy dị vật: Thứ nhất là đi theo đường trong, các bác sĩ sẽ thực hiện cắt amidal, bóc tách đáy amidal ra ngoài thành bên họng, tuy nhiên sẽ nguy hiểm khi va chạm bó mạch cảnh, phẫu trường hẹp khó quan sát và xử trí chảy máu khó.

Thứ hai là đi theo đường ngoài, phương pháp này đảm bảo vấn đề chảy máu nhưng nếu dị vật nằm ở amidal thì vẫn phải kết hợp đường trong, sẽ có nguy cơ thông ống họng, hậu phẫu rất nặng nề, bệnh nhân sẽ phải chịu một vết sẹo lớn.

Được sự đồng thuận của bệnh nhân cùng gia đình, kíp mổ quyết định phẫu thuật theo đường trong, trước hết là cắt amidal, nếu xương không nằm trong amidal thì tiếp tục tìm vùng cổ bên. Tuy nhiên, rất khó khăn để xác định được vị trí chính xác của xương vì tư thế cổ của bệnh nhân khi chụp phim khác tư thế cổ của bệnh nhân khi phẫu thuật (kê vai, ngửa cổ, gối đầu tròn).

hoc-xuong-ca-1.jpg
Chiếc xương cá được các bác sĩ vất vả lấy ra.

Theo đó, kíp mổ đã tiến hành cắt amidan và kiểm tra nhưng may mắn đã không mỉm cười, dị vật không có ở amidal. Các phẫu thuật viên tiếp tục đi vào đáy hốc mổ, bóc tách và cầm máu từng chút một bằng meche adrenaline do không thể cầm máu bằng đông điện bởi sẽ gây nguy cơ bỏng những mạch lớn. Sau khoảng 30 phút không thấy dị vật, kíp mổ quyết định chụp lại phim để định vị chính xác dị vật bằng cách đặt một chiếc kim đã làm tù đầu vào trong hốc mổ của thành bên họng.

Sau khi chụp phim thấy rằng đầu trên của xương và đầu dưới kim tức là khu vực cực dưới amidal cách nhau khoảng 0,5cm, kim chạy dọc xuống dưới phía sau của xương móng, nằm chếch từ ngoài vào trong và cách xương móng khoảng 1,5cm, kíp mổ đã tiến hành bóc tách thành bên họng theo đáy của hốc amidan xuống dưới khoảng 1cm và tìm trong tổ chức cân cơ, vừa kiểm soát thành bên họng vừa kiểm soát các mạch máu lớn và cầm máu bằng meche adrenaline.

Giai đoạn này rất nguy hiểm, phẫu thuật viên phải thực hiện cẩn thận, tỉ mỉ, vừa bóc tách, vừa cầm máu vì có bó mạch cảnh đi sát phía thành ngoài, đặc biệt là động mạch cảnh trong nên khi cầm máu không dùng được dao điện bởi sẽ gây ra bỏng và tổn thương thành mạch máu.

Sau những cố gắng bóc tách qua một lớp cơ, phẫu thuật viên thấy xơ chắc dưới bay bóc tách, nhẹ nhàng kéo lên trên ra phía ngoài và đã may mắn thấy đầu trên của dị vật. Cuối cùng dị vật cũng được lấy ra là một cái xương dài khoảng 3cm với đường kính rất mỏng.

Sau phẫu thuật 5 ngày bệnh nhân đã hoàn toàn hồi phục, vết mổ lên giả mạc tốt như một ca cắt amidal thông thường nên bệnh nhân đã được xuất viện.

xuong-ca-3-1-.jpg
Bệnh nhân hồi phục sau phẫu thuật.

Không được xử lý đúng, kịp thời dễ tử vong

Theo ThS.BS Trần Hữu Thắng, thói quen vừa ăn vừa nói chuyện cùng với đặc thù của thức ăn như thịt sống, chặt miếng thịt lẫn xương, hoặc những đồ ăn khô… thì khả năng mắc dị vật đường ăn là khá cao. Tuy nhiên, khi bị mắc dị vật, người dân thường không đến ngay cơ sở y tế để kiểm tra và lấy dị vật mà áp dụng một số mẹo dân gian như cho tay vào móc họng, nuốt miếng thức ăn to để đẩy trôi dị vật… điều này có thể khiến dị vật đâm sâu vào tổ chức hoặc thậm chí đâm xuyên ra ngoài vùng cổ khiến cho tình trạng bệnh trở nên nghiêm trọng hơn.

hoc-xuong-ca.png
ThS.BS Trần Hữu Thắng, Trưởng khoa Cấp Cứu, Bệnh viện Tai Mũi Họng T.Ư thăm khám cho bệnh nhân.

Bệnh viện Tai Mũi Họng T.Ư đã gặp và xử lý khá nhiều trường hợp dị vật nằm trong thanh quản, nằm trong bó mạch cảnh hoặc trong bao thực quản… và thay vì chỉ cần một thủ thuật đơn giản để lấy dị vật thì bệnh nhân cần phải tiến hành những phẫu thuật phức tạp có thể ảnh hưởng đến tính mạng, chức năng và thẩm mỹ của bệnh nhân.

Đặc biệt, những dị vật này gây ra các biến chứng nguy hiểm như tắc đường thở do phù nề thanh quản, chảy máu những mạch lớn, thông khí quản thực quản, áp xe thành họng lan rộng gây áp xe trung thất và hậu quả nếu không được xử lý đúng, kịp thời thì thậm chí có thể dẫn tới tử vong.

"Tuy nhiên, trường hợp anh Đ. là khá hi hữu khi dị vật xuyên qua amidal ra ngoài vùng cổ trong một thời gian dài mà không gây nên áp xe vùng cổ, khi bệnh nhân nuốt có thể các cơ siết họng đã đẩy dị vật di chuyển”, ThS.BS Trần Hữu Thắng cho biết.

 “Người dân thay đổi thói quen ăn uống: Ăn chậm nhai kỹ, không vừa ăn vừa nói chuyện đặc biệt chú ý với trẻ em, người già hoặc những người mang răng giả. Mắc dị vật là một cấp cứu ngoại khoa nên khi nghi ngờ, người bệnh cần đến các cơ sở y tế gần nhất để được thăm khám và xử trí kịp thời, tránh để lâu có thể gây nên các biến chứng nguy hiểm ảnh hưởng đến chức năng và tính mạng”.

ThS.BS Trần Hữu Thắng

back to top