Bệnh hy hữu: Thoát vị đùi có chứa ruột thừa hoại tử

Bệnh viện E vừa phẫu thuật cấp cứu cho 1 trường hợp rất hy hữu: ruột thừa trong túi thoát vị đùi gây ra các triệu chứng và dấu hiệu phức tạp.

Bệnh nhân nam (72 tuổi, Hà Nội) đến cấp cứu vì sưng bẹn phải 5 ngày và đau cấp tính vùng đó 1 ngày. Bệnh nhân đã được phẫu thuật mở ổ bụng vào năm 1980 vì loét tá tràng có lỗ thủng. Bệnh nhân không có tiền sử bệnh tật hoặc phẫu thuật liên quan trước đó hoặc tiền sử chấn thương.

Khi thăm khám, vùng bẹn phải có khối sưng đau, chắc, không thể phục hồi có kích thước 3 x 6 cm mà không có thay đổi nào trên da. 

Siêu âm đầu dò tần số cao (5-12 MHz) cho thấy một khối dạng nang hình ống đường kính 0,8 cm được nhìn thấy thoát vị qua khiếm khuyết thành bụng dưới bên phải với một lớp mỡ của mạc nối bên cạnh (hình 1). 

thoat-vi-1.jpg
Hình 1

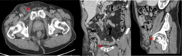
Chụp CT bụng có tiêm thuốc cản quang cho thấy ruột thừa phù nề thoát vị với các sợi mỡ liền kề. Túi thoát vị có kích thước 5,2 x 3,4 x 5cm. 

thoat-vi-dui-chua-ruot-thua-1.jpg
Hình 2

Bệnh nhân được chẩn đoán viêm ruột thừa cấp (thoát vị qua vòng đùi) với lớp mỡ mạc nối hoại tử.

Thoát vị đùi có chứa ruột thừa chỉ chiếm 0,9% trong tổng số các trường hợp thoát vị đùi, rất khó chẩn đoán nên gây nguy hiểm đến sức khỏe.

Bệnh xảy ra ở nữ nhiều hơn nam và tuổi trung bình là 70 tuổi. Biểu hiện bệnh nhân có khối mô mềm ở bẹn, không đau. Các triệu chứng khác bao gồm sốt, đau bụng và nôn, nhưng cũng có nhiều người không có triệu chứng như bệnh nhân trên.

Phương pháp điều trị dứt điểm là phẫu thuật cắt ruột thừa và sửa chữa thoát vị đùi được thực hiện cùng nhau. Ở bệnh nhân này; một đường rạch dưới dây chằng bẹn đã được thực hiện. Các bác sĩ đã tìm thấy khối thoát vị và bệnh nhân sau đó đã được mổ mở. Ruột thừa bị viêm tắc nghẽn trong túi thoát vị được giải phóng, sau đó phẫu thuật cắt ruột thừa được thực hiện và khối thoát vị đã được tái tạo thông qua tạo hình thoát vị.

thoat-vi-dui-chua-ruot-thua.jpg
Phẫu thuật ruột thừa trong thoát vị bẹn

Bệnh nhân được xuất viện sau 7 ngày và được theo dõi sau 4 tuần tại phòng khám ngoại.

Thoát vị đùi có chứa ruột thừa thường gây các biến chứng như vỡ thủng và hình thành ổ áp xe... nên người dân cần chú ý khi thấy khối thoát vị vùng bẹn cần đi khám ngay.

Phát biểu của Tổng Bí thư Tô Lâm tại Hội nghị quán triệt các Nghị quyết 79 và 80 của Bộ Chính trị

Phát biểu của Tổng Bí thư Tô Lâm tại Hội nghị quán triệt các Nghị quyết 79 và 80 của Bộ Chính trị

Báo Tri thức và Cuộc sống trân trọng giới thiệu toàn văn phát biểu của Tổng Bí thư Tô Lâm tại Hội nghị toàn quốc nghiên cứu, học tập, quán triệt và triển khai thực hiện Nghị quyết số 79 - NQ/TW về phát triển kinh tế Nhà nước và Nghị quyết số 80 - NQ/TW về phát triển văn hóa Việt Nam của Bộ Chính trị.
back to top