Đó là trường hợp của bệnh nhân nam V.T.D, 46 tuổi, ngụ Đồng Nai bị nhiễm trùng đường tiểu tái phát nhiều lần, với triệu chứng tiểu đau, lắt nhắt kèm tiểu máu. Bệnh nhân điều trị trong suốt 7 năm nhưng không giảm bệnh, bị bệnh “đeo bám” kéo dài khiến chất lượng cuộc sống của bệnh nhân bị ảnh hưởng nhiều.
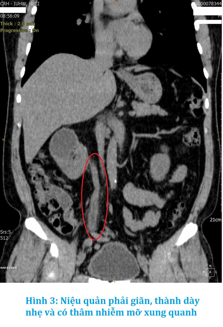
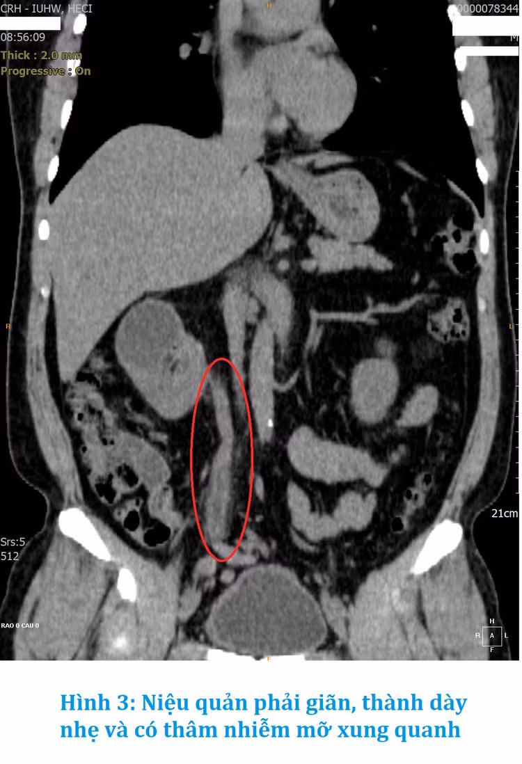
Vừa qua, đi khám sức khỏe tổng quát tại Trung tâm kiểm tra sức khỏe Chợ Rẫy Việt Nhật (HECI), với gói khám Gold, bệnh nhân được chụp CT-Scan toàn thân đã phát hiện thận phải bị ứ nước độ 1, dày đều nhẹ thành bể thận và niệu quản, thâm nhiễm mỡ nhẹ xung quanh, dày thành bàng quang.
Bệnh nhân đã được chuyên khoa Ngoại Tiết niệu bệnh viện Chợ Rẫy hội chẩn và nghi ngờ lao cho nhập viện, sinh thiết thành bàng quang. Các kết quả lâm sàng và cận lâm sàng cho thấy bệnh nhân đã bị nhiễm lao đường tiết niệu.
Sau đợt điều trị lao hơn 6 tháng, các triệu chứng về đường tiểu của bệnh nhân biến mất hoàn toàn.
![]() |
| 7 năm điều trị nhiễm trùng đường niệu không khỏi bất ngờ phát hiện lao |
ThS BS Đỗ Văn Công – khoa Ngoại Tiết niệu bệnh viện Chợ Rẫy cho biết: Lao tiết niệu là một bệnh lành tính, có thể chữa khỏi hoàn toàn, không để lại di chứng nếu phát hiện sớm. Tuy nhiên, việc chẩn đoán sớm thường khá khó khăn bởi những triệu chứng không đặc trưng và dễ nhầm lẫn với các bệnh đường sinh dục khác.
Nếu không phát hiện bệnh kịp thời sẽ dễ gây những biến chứng nặng ảnh hưởng sức khỏe người bệnh và còn có nguy cơ vô sinh.
