Người bệnh chớ nên chủ quan với các triệu chứng thông thường như đau thắt lưng, tiểu khó, mệt mỏi... vì đó có thể là dấu hiệu của những bệnh nguy hiểm.
Người dân không nên tự ý sử dụng lá lộc mại nói riêng, các loại lá cây nói chung để làm thuốc chữa bệnh khi chưa có chỉ định. Ngộ độc lá lộc mại rất dễ tử vong.
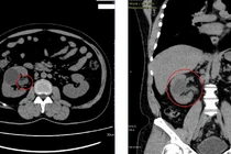
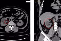
Bị tiểu máu 1 năm nhưng bệnh nhân không đi khám đến khi đái máu, sụt 10kg đi viện thì được chẩn đoán ung thư biểu mô đường niệu phải cắt bỏ thận, niệu quản và bàng quang. Đây là loại ung thư thường gặp, người dân cần chú ý.
Ung thư thận là loại bệnh đứng thứ ba trong ung thư tiết niệu, chiếm 2,8% trong tổng số các bệnh ung thư, lại không có dấu hiệu và triệu chứng rõ ràng ở giai đoạn sớm. Vì thế người dân cần chú ý.
Sau hơn 7 năm điều trị nhiễm trùng đường niệu nhiều nơi không khỏi, nam bệnh nhân 46 tuổi bất ngờ phát hiện lao đường niệu và khỏi bệnh sau 6 tháng điều trị lao. Việc chấn đoán lao tiết niệu thường khó và bệnh dễ gây biến chứng nặng.
Ung thư thận là kết quả của một số tế bào thận phát triển không kiểm soát, dẫn đến một khối ác tính. Đây là một căn bệnh nguy hiểm, cần được điều trị càng sớm càng tốt.
Bệnh sỏi thận có diễn biến âm thầm, người mắc bệnh sỏi thận có thể không nhận ra cho tới khi đi khám. Nếu không được phát hiện và điều trị kịp thời thì rất có thể sẽ dẫn tới biến chứng suy thận.
(khoahocdoisong.vn) - Tiểu ra máu (đái ra máu) là hiện tượng có thể gặp ở cả nam và nữ, có thể tiểu ra máu đại thể hoặc vi thể. Khi bị bệnh có thể sử dụng bài thuốc dựa theo biểu hiện bệnh hoặc dùng cây thuốc quanh nhà để chữa trị.
(khoahocdoisong.vn) - Tiểu ra máu (đái máu) có thể tự hết, nhưng người bệnh không nên chủ quan vì đến 95% trường hợp đái máu lại là dấu hiệu của một số bệnh lý nguy hiểm.
(khoahocdoisong.vn) - Có nhiều nguyên nhân gây ra đái máu đại thể và vi thể. Khi có hồng cầu trong nước tiểu cần phải đi kiểm tra xem có thực sự là bệnh lý của thận – tiết niệu hay là hậu quả của bệnh toàn thân, mặt khác cần xác định được cơ quan tổn thương, chỉ khi đó mới có cách điều trị đúng và kịp thời.