Ngày 24/5, Bệnh viện Phổi Quảng Ninh cho biết, bệnh viện vừa nội soi phế quản lấy dị vật (hạt lạc) trong phế quản phổi cho bệnh nhân 66 tuổi bị đau tức ngực và ho khạc đờm mủ. Đây là bệnh nhân nữ cao tuổi nhất được thực hiện nội soi phế quản lấy dị vật tại bệnh viện.
Bệnh nhân Nguyễn Thị.T, (66 tuổi) thường trú tại Cẩm Đông, thành phố Cẩm Phả, nhập viện trong tình trạng khoảng 03 tuần qua liên tục xuất hiện các triệu chứng đau tức ngực phải, ho khạc đờm mủ tăng dần… đã điều trị nhiều nơi không giảm.
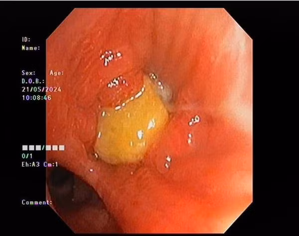
![]() |
| Hạt lạc trong phế quản bệnh nhân - Ảnh BVCC |
Diễn biến bệnh nhân liên tục sốt cao, khó thở, kèm theo cơn đau ngực dữ dội… bệnh nhân được gia đình chuyển đến Bệnh viện Phổi Quảng Ninh nơi chuyên sâu về các bệnh hô hấp - lồng ngực cấp cứu và điều trị.
Tại Bệnh viện Phổi, sau khi được thăm khám và chẩn đoán, bệnh nhân được chẩn đoán xác định mắc "Viêm phổi, có tràn dịch màng phổi phải". Bệnh nhân được điều trị bằng kháng sinh, chọc hút dịch màng phổi, giảm đau và các biện pháp điều trị triệu chứng.
Do bệnh nhân đáp ứng chậm với phác đồ điều trị viêm phổi có tràn dịch màng phổi phải nên ngày 21/5/2024 các bác sĩ quyết định nội soi phế quản bằng ống soi mềm để thám sát, chẩn đoán và lấy bệnh phẩm xét nghiệm tìm nguyên nhân bệnh.
Kết quả nội soi phế quản cho thấy có dị vật dạng thức ăn mềm, bề mặt nhẵn tại nhánh phế quản thế hệ thứ 4-5, phế quản phân thuỳ 8 phải. Dị vật gây bít tắc hoàn toàn khẩu kính, niêm mạc tăng sinh mạc máu kèm nhiều giả mạc mủ.
Xác định được nguyên nhân gây bệnh kíp thủ thuật tiến hành lấy dị vật cho bệnh nhân. Do đặc điểm trơn nhẵn, dễ mủn của dị vật, nằm sâu trong lòng phế quản nhỏ, cộng thêm thời gian tồn tại lâu khiến tổ chức phế quản phát triển bám chặt, việc gắp dị vật gặp nhiều khó khăn.
Sau 02 giờ nỗ lực cùng sự hỗ trợ của trang thiết bị hiện đại, Kíp thủ thuật do Bác sĩ Nguyễn Chí Viễn, Điều dưỡng Đoàn Văn Vinh và Nguyễn Khắc Sang thực hiện nội soi đã thành công lấy ra dị vật - một bên nguyên vẹn của hạt lạc.
![]() |
| Hạt lạc được lấy ra - Ảnh BVCC |
Sau 03 giờ theo dõi sau thủ thuật, hiện sức khỏe bệnh nhân ổn định, phổi thông khí tốt và sức khỏe đang dần hồi phục.
BS Nguyễn Chí Viễn cho biết: Dị vật phế quản có thể gây những biến chứng cấp tính như ngưng thở hay có thể gây nhiễm trùng phế quản phổi tái đi tái lại đe dọa nghiêm trọng đến tính mạng bệnh nhân.
Trường hợp bệnh nhân Nguyễn Thị.T, (66 tuổi) lớn tuổi không nhớ tiền sử sặc dị vật vào đường thở rất may đến Bệnh viện điều trị lấy dị vật kịp thời, nên không ảnh hưởng đến tính mạng.
Nội soi phế quản giúp chẩn đoán xác định vị trí dị vật, bản chất dị vật, tổn thương phối hợp. Đây là phương pháp điều trị tối ưu lấy dị vật ra khỏi đường thở.

