Sức khoẻ 360

Xử lý thành công ca mổ sỏi ống mật chủ nặng

Bệnh nhân 44 tuổi được điều trị thành công sỏi mật lớn, giảm tắc nghẽn, cải thiện chức năng gan mật nhờ phương pháp nội soi ERCP.

Bệnh viện Hữu nghị cho biết vừa can thiệp thành công cho một bệnh nhân nam 44 tuổi bị tắc mật nặng do sỏi ống mật chủ.

Trước đó, bệnh nhân đến khám trong tình trạng đau tức vùng thượng vị và hạ sườn phải, kèm vàng da, mệt mỏi kéo dài. Kết quả xét nghiệm cho thấy men gan tăng cao, tình trạng tắc mật rõ rệt với chỉ số Bilirubin hơn 300 µmol/l.

Sỏi ống mật chủ 'khủng' gây tắc mật nặng- Ảnh 4.

Viên sỏi lớn đường mật được các bác sĩ can thiệp thành công. Ảnh vietnam.vn

Hình ảnh chụp cộng hưởng từ đường mật cho thấy hệ thống đường mật giãn, nguyên nhân do sỏi nằm ở đoạn thấp ống mật chủ.

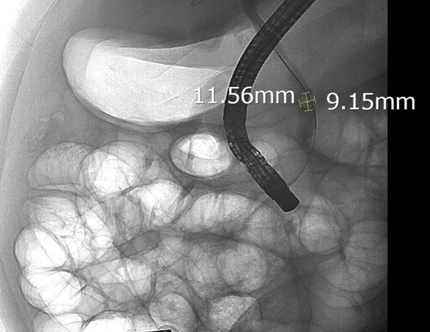
Sau khi hội chẩn, các bác sĩ Khoa Nội Tiêu hóa, Bệnh viện Hữu nghị đã chỉ định nội soi mật tụy ngược dòng (ERCP) dưới hướng dẫn của hệ thống chụp mạch số hóa xóa nền (DSA). Trong quá trình can thiệp, ê-kíp đã lấy thành công viên sỏi kích thước 11,5 x 9mm, giải phóng tình trạng tắc mật.

Sỏi ống mật chủ 'khủng' gây tắc mật nặng- Ảnh 2.

Hình ảnh sỏi ống mật chủ được lộ rõ dưới chụp DSA. Ảnh BVCC/Nguồn SKĐS

Sau thủ thuật, tình trạng vàng da và đau tức của người bệnh cải thiện rõ rệt, chức năng gan mật dần ổn định, thời gian điều trị được rút ngắn.

Theo BS.CKII Đinh Quý Minh, Trưởng khoa Nội Tiêu hóa, Bệnh viện Hữu nghị, những biểu hiện như đau tức bụng, vàng da, mệt mỏi kèm men gan tăng cao không đơn thuần là viêm dạ dày hay rối loạn tiêu hóa thông thường. Đây có thể là dấu hiệu của nhiều bệnh lý gan mật nguy hiểm như sỏi ống mật chủ, tắc mật, viêm đường mật hoặc các bệnh lý cần can thiệp sớm.

Các bác sĩ khuyến cáo, khi xuất hiện các triệu chứng bất thường, người bệnh không nên tự ý điều trị tại nhà. Việc khám sớm, chẩn đoán đúng và can thiệp kịp thời là yếu tố quyết định giúp phòng ngừa biến chứng nguy hiểm và bảo vệ chức năng gan mật.

Sỏi ống mật chủ là tình trạng sỏi (sắc tố mật hoặc cholesterol) xuất hiện và kẹt lại trong ống dẫn mật chính ngoài gan, cản trở dịch mật từ gan/túi mật xuống ruột non. Bệnh gây tắc nghẽn, đau bụng mật, sốt, vàng da và có thể dẫn đến nhiễm trùng đường mật, viêm tụy cấp nguy hiểm.

back to top