Sức khoẻ 360

Vôi hóa nhân tuyến giáp có phải ung thư?

Nhiều người khi đọc kết quả siêu âm tuyến giáp thấy có hình ảnh vôi hóa sẽ rất lo lắng bởi cho rằng mình đã bị ung thư tuyến giáp. 

Hỏi: Tôi đi siêu âm phát hiện nhân tuyến giáp vôi hóa nên rất lo lắng vì nghe nói bị vôi hóa sẽ ung thư. Xin hỏi, trường hợp nào nhân tuyến giáp vôi hóa thì ung thư?

Nguyễn Thị Hạnh (Hà Nội)

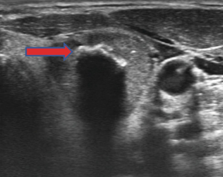
nhan-tuyen-giap-voi-hoa-1.jpg
Vôi hóa nhân tuyến giáp có phải ung thư?

Trả lời: Nhân tuyến giáp là bệnh lý rất phổ biến, ước tính có thể gặp ở 20% số người đi khám bệnh. Tuy nhiên chỉ có khoảng 5% các nhân giáp là ác tính. Nhiệm vụ của các bác sĩ là phải xác định nhân nào có nguy cơ ác tính để chỉ định chọc tế bào, nhân nào chỉ cần theo dõi định kỳ.

May mắn, siêu âm có thể cho biết một số dấu hiệu gợi ý như nhân giảm âm, chiều cao lớn hơn chiều rộng (vuông góc với mặt da), bờ không đều, nhất là dấu hiệu vi vôi hóa trong nhân giáp.

Chính vì vậy, nhiều người khi đọc kết quả siêu âm tuyến giáp thấy có hình ảnh vôi hóa sẽ rất lo lắng bởi cho rằng mình đã bị ung thư tuyến giáp.

Cần phân biệt kết quả siêu âm phát hiện các vi vôi hóa hay là vôi hóa lớn? Một trong những đặc điểm siêu âm quan trọng nhất gợi ý ung thư là sự hiện diện của các vi vôi hóa, được nhìn thấy dưới dạng các điểm sáng nhỏ có kích thước ≤ 1 mm, xuất hiện trên ảnh siêu âm tuyến giáp.

Sự hiện diện của các vi vôi hóa được cho là tương ứng với các thể cát (Psammoma bodies) tròn, có vôi hóa mà chúng ta quan sát được dưới kính hiển vi khi quan sát mô tuyến giáp ung thư thể nhú sau phẫu thuật.

Do đó, khi có mặt trên siêu âm, vi vôi hóa đại diện cho vùng ung thư tuyến giáp thể nhú. Ngược lại, vôi hóa lớn là những mảng canxi lớn, với kích thước > 1 mm (có thể đến 5-10 mm) có thể xuất hiện bên trong nhân giáp hoặc ở ngoại vi của nhân (gọi là vôi hóa dạng vỏ trứng/ vành), thường được nhìn thấy dưới dạng các điểm sáng lớn trên siêu âm.

Vôi hóa lớn không có liên quan với ung thư tuyến giáp.

Tuy nhiên, vì vôi hóa cũng có thể gặp ở các nhân tuyến giáp lành tính, nên nó chỉ là một trong các dấu hiệu gợi ý ác tính. Để chắc chắn, bắt buộc phải chọc tế bào nhân giáp để xét nghiệm.

TS.BS Nguyễn Văn Bảy (Trưởng khoa Nội tiết – Đái tháo đường, Bệnh viện Bạch Mai)

back to top