Sức khoẻ 360

Viêm phần phụ cẩn thận biến chứng viêm quanh gan

Viêm quanh gan thường xảy ra ở thanh thiếu niên và phụ nữ trong độ tuổi sinh đẻ do biến chứng của viêm phần phụ.

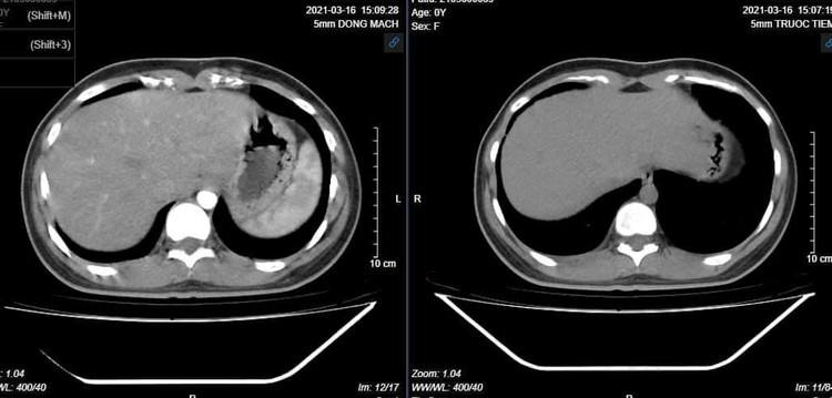
Bệnh nhân nữ (19 tuổi, Hà Nội) vào viện vì đau bụng vùng hố chậu phải ngày thứ 3, đau tăng khi vận động, thở mạnh. Bệnh nhân ra ít dịch âm đạo mùi hôi. Kết quả CT cho thấy, bao gan dày ngấm thuốc mạnh thì động mạch, phần phụ phải tăng kích thước, thâm nhiễm mỡ xung quanh, vài hạch mạc treo, phúc mạc dày và ngấm thuốc sau tiêm. Bệnh nhân được chẩn đoán Hội chứng Fitz-Hugh-Curtis – FHCS (PID + perihepatits) và được điều trị nội khoa.

viem-quanh-gan.jpg
Bao gan dày, ngấm thuốc mạnh thì động mạch.

BS Nguyễn Thị Hằng, Khoa Chẩn đoán hình ảnh, Bệnh viện E T.Ư cho biết, hội chứng FHCS viêm quanh gan, là tình trạng viêm của bao gan và lớp phúc mạc bên ngoài kèm theo dày dính bao gan với phúc mạc. Đây là một biến chứng mạn tính của bệnh viêm phần phụ (viêm vùng chậu). Nguyên nhân chủ yếu là do nhiễm khuẩn hoặc do bệnh lao sinh dục. Cơ chế bệnh sinh của hội chứng Fitz-Hugh-Curtis chưa được hiểu rõ, chủ yếu là lây nhiễm trực tiếp ngược dòng.

Bệnh khởi phát đau đột ngột vùng hạ sườn phải, đau tăng khi có sự gia tăng áp lực ổ bụng: Hít sâu, ho, cười, hắt hơi; hoặc khi thay đổi tư thế. Tình trạng đau có thể lan lên vai phải, mặt trong cánh tay phải, và đau tăng khi vận động. Một số trường hợp có thể có sốt, rét run, ra mồ hôi trộm, buồn nôn và nôn; hoặc đau đầu, nấc và khó chịu. Các triệu chứng chủ yếu do viêm bao gan gây nên, trong khi các triệu chứng do viêm nhiễm vùng tiểu khung thường mờ nhạt, một số trường hợp có thể có ra khí hư.

BS Nguyễn Thị Hằng cảnh báo, viêm phần phụ là một căn bệnh phụ khoa khá phổ biến ở phụ nữ. Viêm phần phụ thường khởi phát ở vòi trứng sau đó lan ra xung quanh. Viêm phần phụ là hậu quả của việc quan hệ tình dục không an toàn, giữ vệ sinh vùng kín không sạch sẽ, những biến chứng sinh đẻ như: Nạo phá thai không an toàn, nạo sót rau, bóc rau sau đẻ... Bên cạnh đó, viêm phần phụ thường xảy ra thứ phát sau các bệnh viêm nhiễm phụ khoa như viêm nhiễm âm đạo, âm hộ, tử cung, cổ tử cung hay niêm mạc tử cung.

Viêm phần phụ có hai thể là cấp tính và mạn tính. Viêm phần phụ sẽ tạo ra các cơn đau âm ỉ ở phần bụng dưới và nằm trong khả năng có thể chịu đựng được của chị em nên thường xuyên bị bỏ qua. Bệnh gây ra nhiều biến chứng trong đó nguy hiểm là viêm quanh gan. Viêm quanh gan nếu không được phát hiện và điều trị không kịp thời có thể để lại di chứng như đau mạn tính, tắc ruột do dính, vô sinh khi có viêm vòi trứng…

Vì vậy, theo BS Nguyễn Thị Hằng, khi chị em thấy có biểu hiện: Đau hạ vị, mạn sườn phải và hạ sườn phải, đau tăng khi thay đổi tư thế, sốt nhẹ, rét run, đau đầu, mệt mỏi, nấc... kèm theo ra khí hư (hoặc có thể bình thường) cần phải đi khám ngay. Viêm quanh gan dễ chẩn đoán nhầm với viêm ruột thừa cấp, viêm túi mật cấp, loét dạ dày...nên cần thiết phải:

Xét nghiệm vi sinh bệnh phẩm từ dịch cổ tử cung, âm đạo, dịch quanh gan; cấy hoặc làm PCR có thể tìm thấy sự hiện diện của lậu cầu, Chlamydia trachomatis...

Siêu âm: có thể thấy một số hình ảnh viêm phần phụ như ứ dịch, ứ mủ vòi trứng, áp xe vòi trứng...

Chụp cắt lớp vi tính ổ bụng có tiêm thuốc cản quang là một phương pháp có giá trị cao trong chẩn đoán với các biểu hiện dày bao gan, dày phúc mạc khu trú...

back to top